Anatomie – Larynx

 

Source : http://www.palli-science.com/imageries-cou-orl

Source : http://www.palli-science.com/imageries-cou-orl

Source : http://www.palli-science.com/imageries-cou-orl

Source : http://www.palli-science.com/imageries-cou-orl

Source : http://www.palli-science.com/imageries-cou-orl

Source : http://www.palli-science.com/imageries-cou-orl

Source : http://www.palli-science.com/imageries-cou-orl

Source : http://www.palli-science.com/imageries-cou-orl

Source : http://www.palli-science.com/imageries-cou-orl

Source : http://www.palli-science.com/imageries-cou-orl

Source : http://www.palli-science.com/imageries-cou-orl

Source : http://www.palli-science.com/imageries-cou-orl

TNM – Larynx

 

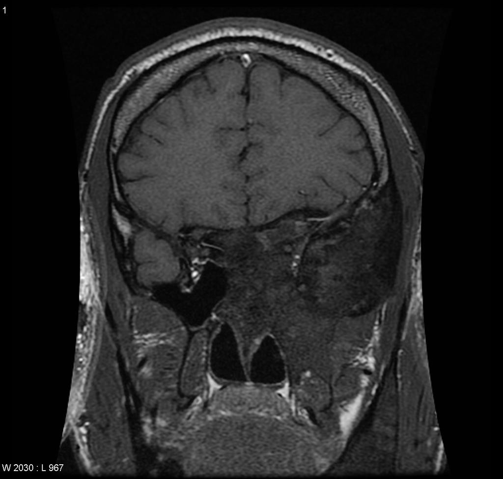
[IRM] Hypophyse

IRM HYPOPHYSAIRE

CONTEXTE
Bilan

TECHNIQUE
IRM   Tesla
– Séquences avant injection de produit de contraste : coronales T1, T2, sagittale T1 sur la région hypophysaire
– Séquences après injection de produit de contraste : coronale T1 (dynamiques et tardives)

RÉSULTATS
Antéhypophyse de taille et de morphologie normales, de signal homogène
Pas d’anomalie focale après injection de gadolinium
Post-hypophyse en hypersignal spontané T1, d’aspect normal
Respect du diaphragme et du plancher sellaire
Pas d’anomalie des loges caverneuses
Intégrité des citernes supra-sellaires et opto-chiasmatiques
Bonne aération du sinus sphénoïdal
Chiasma optique d’aspect normal

CONCLUSION
IRM hypophysaire normale

 

Fiches connexes

Hypophyse

Kyste de l’ovaire

Type 1 – Kyste liquidien pur

  • Anéchogène
  • Parois fines
  • 3 à 10 cm voire plus. En dessous c’est un follicule
  • S’assurer qu’il est liquidien pur
  • Pas de vascularisation au doppler
  • Très souvent kyste folliculaireT1
  • Parfois,
    • Cystadénome séreux uniloculaire sans végétation
    • Cystadénome mucineux uniloculaire
  • DD
    • Hydrosalpinx ancien
    • Kyste paratubaire (pas de cône de parenchyme ovarien associé !)
    • Pseudo-kyste péritonéal (triangulaire)
  • CAT
    • > 3 cm & < 6 cm : surveillance à 3 cycles
    • > 6 cm : chir
    • > 3 cm & ménopausée : chir

 

Syndrome des ovaires polykystiques

  • 2 parmi les 3 critères suivants :
    • Troubles du cycle menstruel : aménorrhée ou spanioménorrhée (moins de 8 cycles par an)
    • Hyper androgénie clinique (hirsutisme, acné, alopécie) et/ou biologique (↑ testostérone)
    • Échographie ≥ 24 follicules de 2-9 mm de diamètre
  • Autre définition
    • Surface de l’ovaire : > 5,5 cm²
    • Volume de l’ovaire : > 7 cm3
    • ≥ 12 foll. de 2 à 9 mm
    • Hypertrophie du stroma
    • Hyperéchogène

 

Type 2 – Kyste multiloculaire

  • Parois fines
  • Cloisons fines
  • Pas de nodule solide
  • Pas de végétation sur les parois
  • Parfois des échos dans le contenu
  • Doppler : flux dans les parois
  • DD
    • Cystadénome mucineuxT2
    • Cystadénome séreux multiloculaire
    • Kyste lutéal hémorragique avec des cloisons de fibrine, aspect en filet de pêche
    • Kyste lutéal
    • Paroi hypervascularisée (type basse résistance)
    • Contenu mixte AVASCULAIRE
    • Caillots + cloisons de fibrine + sang lysé
    • Grande variabilité dans le temps
    • CAT
    • Mucineux et séreux : chir
    • Kyste lutéal hémorragique : contrôle à 2-3 mois à J6-J10

 

Type 3 – Kyste endométriosique (endométriome)

Échographiet3
  • Aspect évolue dans le temps
  • Début : nodule à contenu finement échogène, fin piqueté, paroi fine, renforcement postérieur, pas de codage doppler
  • Ensuite : contours anguleux, kystes attirés et
    déformés, paroi devient mesurable
  • Possible dépôts cruoriques en hyper-écho, déclives dans le kyste, sédimentant (pathognomonique d’endométriome)
  • Aspect festonné des parois, micronodules hyperéchogènesEndométriome
  • Organe voisins / ovaire, immobiles, fixés,
    « kissing ovaries» (les ovaires se rapprochent)
  • Signes négatifs : pas de cloison, végétation ou nodule. Pas de flux doppler
  • Compter les follicules adjacents
  • Aller chercher de l’endométriose à distance
IRM
  • Endométriome typique
    • Hyper T1 ≥ à celui de la graisse
    • Persistant sur les séquences FSEndométriome
    • Hypo signal T2 « shading »
  • Niveaux
  • Caillots intra kystiques (NON vascularisés)
  • Paroi épaisse fibreuse
  • Forme non arrondie par adhérence
  • Décidualisation
  • DD
    • Kyste hémorragique du corps jaune, mais évolution d’aspect en maille et
    • Kyste dermoïde à composante sébacée importante, rechercher Ca++ et phanères
    • kyste de Tarlov…
    • Méningocèle
    • Cystadénome séreux ou mucineux

 

 Type 4 – Kyste contenant des végétations

  • Végétations
  • Bénin vs borderline
  • Codage Doppler
  • Signe du croissant :
    • Parenchyme ovarien normal avec ses follicules (élimine souvent une tumeur primitive qui atteint l’ensemble du parenchyme ovarien)
  • Étiologie
    • Cystadénome séreux uniloculaire avec végétationst4
    • Cystadénome séreux uniloculaire Border Line (avec végétations)
    • Cystadénocarcinome séreux
  • DD
    • Caillot (pas de flux en doppler énergie)
  • CAT
    • Borderline : annexectomie (et souvent bilatérale…)
    • Chir

 

Type 5 – le kyste à parois / cloisons épaisses ou nodule solide

  • Épaississement pariétal très vascularisé
  • Nodule
  • Contenu hétérogène
  • Très vascularisé en Doppler
  • Jamais bénint5
  • Souvent séreux borderline, adénocarcinome endométrioïde
  • DD
    • Kyste lutéal hémorragique (pas de codage Doppler)
    • Kyste dermoïde = tératome matures kystique
      • Kyste
      • Nodule de Rokitansky
      • Cheveux (stries linéaires)

 

Type 6 – Tumeur ovarienne solide pure

  • Syndrome de masse
  • Mobile ou pas ? (utilité de la palpation abdominale per opératoire)
  • Doppler intra-tumoral
  • Compléter par une IRM
  • Étiologie
    • Tératome mature kystique (dermoïde)t6
    • Fibrome
    • Tumeur de la granulosa
    • Cancer primitif de l’ovaire
    • Métastase ovarienne
  • DD
    • Myome sous séreux pédiculé
  • CAT
    • Chir
Score O-RADS-IRM
Le score O-RADS-IRM classe en 5 catégories de risque de malignité les masses annexielles considérées complexes ou indéterminées en échographie.
Le score O-RADS IRM 1 correspond à l’absence de lésion annexielle (disparition de la lésion en IRM ou présence d’une lésion non annexielle).
Le score O-RADS IRM 2 correspond à des lésions bénignes avec un faible risque de malignité (VPP < 2%). Il s’agit soit de lésion liquidienne pure (cystadénome séreux bénin, kyste folliculaire), graisseuse majoritaire (tératome mature) ou endométriosique (endométriome) (Figure 1) ou bien de lésion avec une portion tissulaire en hyposignal T2 et hyposignal diffusion. Pour rappel, une portion tissulaire est définie en IRM comme des cloisons irrégulières, un nodule mural, des végétations ou une masse solide (>80% de portion tissulaire) se rehaussant après injection de gadolinium. Ces lésions O-RADS IRM 2 ne nécessitent pas de suivi particulier.
Le score O-RADS IRM 3 correspond à des lésions probablement bénignes (VPP<5%). Il s’agit soit de lésions liquidiennes dont le contenu n’est pas strictement liquidien pur, graisseux majoritaire ou endométriosique, soit de lésions liquidiennes multiloculaires ou bien de lésions avec une portion tissulaire se rehaussant selon une courbe de type 1 (rehaussement initial moins important que le myomètre avec une augmentation progressive et faible sans plateau) (Figure 2). Les lésions O-RADS 3 nécessitent une surveillance rapprochée par échographie ou IRM afin de vérifier la stabilité de la taille sur 2 ans. 
Le score O-RADS IRM 4 correspond à des lésions indéterminées en IRM (VPP de 5 à 95 %).  Il s’agit de masses avec portion tissulaire et une courbe de rehaussement de type 2 (rehaussement initial non pré décalé par rapport au  myomètre avec une augmentation progressive et modérée avec plateau). Pour le score O-RADS IRM 4, il est primordial de donner des orientations anatomopathologiques car il peut s’agir de lésions bénignes, malignes ou borderline débouchant sur une prise en charge différente. Ces lésions O-RADS IRM 4 nécessitent une prise en charge chirurgicale dans un centre de référence.
Le score O-RADS IRM 5 correspond à des lésions de risque de malignité très élevé (VPP >95%). Le score 5 est lié soit à la présence d’implants péritonéaux soit à la présence d’une portion tissulaire avec une courbe de type 3 (rehaussement initial pré décalé par rapport au  myomètre avec augmentation importante et plateau) (Figure 3). Ces lésions nécessitent de réaliser un bilan d’extension par un TDM thoraco abdomino pelvienne et une prise en charge chirurgicale dans un centre de référence avec indication théorique de cyto-réduction d’emblée.

Tumeurs pelvis – Cancer du col utérin

Cancer du col utérin

  • Anatomie
    • Endocol : épithélium glandulaire
    • Exocol : épithélium malpighien
  • Histopathologie
    • Carcinomes épidermoïdes
  • Épidémiologie
    • Pic à 40 ans
    • Facteurs de risque : infection HPV, tabagisme, infection VIH
  • IRM
    • Indication
      • Bilan initial des tumeurs > FIGO I
      • Evaluation post-thérapeutique
      • Suspicion de récidive
      • Suspicion de complication thérapeutique (fistule, hydronéphrose, adhérences)
    • Protocole
      • Vessie semi-remplie +/- opacification vaginale et rectale
      • Axiales T2 TSE jusqu’aux veines rénales
      • Sagittales T2 TSE
      • Axiales obliques T2 TSE coupes fines perpendiculaire à l’axe du col
      • 3D T1 EG dynamiques gadolinium (si non visible en T2 ou post-thérapeutique ou fistule ou extension rectale/ vésicale)
      • Axiales Diffusion
    • Signal
      • Hypersignal T2 par rapport au stroma cervical
      • Prise de contraste précoce puis isosignal puis lavage
      • Hypersignal diffusion et restriction de l’ADC
    • Préciser
      • Taille +/- 4 cm
      • Stade FIGO
      • Extension en hauteur par rapport à l’isthme, rétention
      • Extension aux paramètres (proximal – distal) (IIB / IIIB): perte du liseré en hyposignal du stroma, tumeur bombant dans les paramètres, interface irrégulière tumeur/paramètre
      • Extension au vagin : 2/3 sup (IIA) – 1/3 inf (IIIA)
      • Extension à la vessie, au rectum (IV)
      • Extension ganglionnaireIRM
      • Variante anatomique veineuse (veine rénale gauche retro-aortique)
  • TEP-TDM 18FDG : bilan d’extension ganglionnaire
    • Si négatif : curage
  • Récidive (30%) centrale ou latérale
    • IRM à 6-12 semaines après fin de la curithérapie
      • Axiales T2 TSE jusqu’aux veines rénales
      • Sagittales T2 TSE
      • Axiales obliques T2 TSE coupes fines perpendiculaire à l’axe du col
      • 3D T1 EG dynamiques gadolinium
      • Diffusion
    • Bonne réponse
      • Disparition de la lésion
      • Restitution de l’hyposignal normal du col et de l’anatomie zonale
      • Atrophie utérine
      • Pas de prise de contraste ou rehaussement retardé du col
      • ADC élevé
    • Suspicion de reliquat
      • Masse en hypersignal T2
      • Absence de restitution de l’hyposignal du col
      • Prise de contraste précoce hétérogène, homogène au temps tardifs
      • Hypersignal diffusion et ADC bas
    • Suspicion de récidive
      • Douleur, hydronéphrose, TV suspect
      • IRM
        • Masse en hypersignal T2
        • Prise de contraste hétérogène
        • Dilatation urétérale
        • Fistule
        • Adénopathies
      • Si IRM négative : TEP

 

Compte rendu normalisé de la SFR

Endométriose pelvienne

Endométriose pelvienne

échographie

  • Endométriose pariétale
    • Nodule hypo-échogène
    • Mal limité
    • Cerné par une réaction inflammatoire
    • Contient de petites cavités
    • Contient des petits points hyperéchogènes (pigments d’hémosidérine)

      Endométriose

      Case courtesy of Dr Frank Gaillard, Radiopaedia.org. From the case rID: 9395

    • Endométriose péritonéale superficielle
    • Cœlioscopie +++
    • Signes directs
      • Nodules si > 10 mm
      • Lésions fibreuses planes
    • Signes indirects
      • Anomalie de position des OGE : « kissing ovaries » (les ovaires se rapprochent)
      • Accolements et adhérences (aspect en « bec d’oiseau » du sigmoïde, correspondant à une petite languette de fixation)
      • Modification des contours des parois digestives
      • Endométriose sous péritonéale profonde
    • Espace sous péritonéal antérieur
      • Cul de sac ant et vessie
    • Espace péritonéal post à partir du Douglas
      • Espace recto vaginal
      • Ligaments utéro sacrés
      • Tube digestif

IRM

  • Protocole
    • Jeûne relatif / Vessie en semi réplétion / Contention (antenne) / Bandes de pré saturation / Antipéristaltiques systématiques ++++ (Glucagen SC/IM/IV / Spasfon IV/PO / +/- Préparation digestive / Opacification vaginale et digestive
  • Séquences nécessaires (souvent suffisantes) endométriose
    • Sag T2 / Ax T2
    • Sag T1 / Sag T1 FS
    • Ax T2 plan des ligaments US
  • Séquences optionnelles
    • Coro T2
    • Sag T1 FS + gado
    • AX T1 FS
    • Coro truffi sur les reins

Lésions élémentaires

  • Lésions hémorragiques (glandes endométriales)Endométriome
    • Endométriome (Cf.)
    • Inclusion endométriosique
    • Spots hémorragiques
      • Hyper T1 / Hyper T1 FS / Shading T2 / Présence possible de niveaux
      • DD HT1 : tératome, remaniements hémorragiques
    • Fibrose +/- inflammation (stroma péri glandulaire)
      • Ligament US / Torus
      • Infiltration tissulaire digestive et vésicale
      • Cul de sac de Douglas
      • Superficielle
      • Trajets de cicatrice
      • Hypo T1 / Hypo T2 / +/- rehaussement

 

coelioscopie

 

Grossesse : échographie de datation

BHCG

  • > 1000 : embryon tjs visible par voie endovaginale
  • > 2500 : visible par voie sus pubienne
  • > 7000 : toujours visible. Et vésicule vitelline visible

Embryon

  • Embryon > 4 mm doit avoir activité cardiaque
  • Sac > 10 mm : vésicule doit être vue
  • Sac > 16mm : embryon doit être vu
  • Sac > 20mm sans embryon : œuf clair
  • Critères non évolutivité : embryon > 5 mm sans activité cardique, sac > 20 mm sans embryon, embryon non visible ou < 5 mm sans croissance sur 2 écho à 8j d’intervalle

Mesure de la longueur cranio caudal (LCC) avant 14 semaines d’aménorrhée ( SA)

/!\ Ces valeurs sont une estimation /!\
(Cf. SAlomon LJ. Comment déterminer la date de début de grossesse ? Recommandations pour la pratique clinique J Gynecol Obstet Biol Reprod, 2011.40:726-33)

LCC (mm) Age gestationnel
(Robinson)
6 6 SA + 1
7 6 SA + 3
8 6 SA + 5
9 6 SA + 6
10 7 SA + 0
11 7 SA + 1
12 7 SA + 3
13 7 SA + 4
14 7 SA + 5
15 7 SA + 6
16 8 SA + 0
17 8 SA + 1
18 8 SA + 2
19 8 SA + 3
20 8 SA + 4
21 8 SA + 5
22 8 SA + 5
23 8 SA + 6
24 9 SA + 0
25 9 SA + 1
26 9 SA + 2
27 9 SA + 3
28 9 SA + 3
29 9 SA + 4
30 9 SA + 5
31 9 SA + 6
32 9 SA + 6
33 10 SA + 0
34 10 SA + 1
35 10 SA + 1
36 10 SA + 2
37 10 SA + 3
38 10 SA + 3
39 10 SA + 4
40 10 SA + 5
41 10 SA + 5
42 10 SA + 6
43 10 SA + 7
44 11 SA + 0
45 11 SA + 1
46 11 SA + 1
47 11 SA + 2
48 11 SA + 3
49 11 SA + 3
50 11 SA + 4
51 11 SA + 4
52 11 SA + 5
53 11 SA + 5
54 11 SA + 6
55 11 SA + 6
56 12 SA + 0
57 12 SA + 1
58 12 SA + 1
59 12 SA + 2
60 12 SA + 2
61 12 SA + 3
62 12 SA + 3
63 12 SA + 4
64 12 SA + 4
65 12 SA + 5
66 12 SA + 5
67 12 SA + 6
68 12 SA + 6
69 13 SA + 0
70 13 SA + 0
71 13 SA + 1
72 13 SA + 1
73 13 SA + 2
74 13 SA + 2
75 13 SA + 2
76 13 SA + 3
77 13 SA + 3
78 13 SA + 4
79 13 SA + 4
80 13 SA + 5
81 13 SA + 5
82 13 SA + 6
83 13 SA + 6
84 14 SA + 0
85 14 SA + 0

RECIST

RECIST 1.0RECIST 1.1
Lésions cibles10 / patient
5 / organe
5 / patient
2 / organeTaille > 10 mm
Préciser n° image
Lésions non ciblesSoit mesurables mais non cibles
Soit évaluables mais non mesurables
Soit mesurables mais non cibles
Soit évaluables mais non mesurables
Lésions non évaluables et non mesurablesEpanchement, lymphangite , métastases osseuses rachidiennesEpanchement, lymphangite , métastases osseuses rachidiennes
GanglionsGrand axe ≥ 10 mmPetit axe ≥ 15 mm
Réponse complète
[par rapport à basebline]
SPGD = 0 mmSPGD = 0 mm (disparition)
Ganglions ≤ 10 mm
Réponse partielle
[par rapport à basebline]
↘SPGD ≥ 30 %
Diminution des lésions non cibles
Progression tumorale des lésions cibles
[par rapport au nadir]
↗SPGD ≥ 20 %↗SPGD ≥ 20 % &↗SPGD ≥ 5 mm
Augmentation des lésions non cibles
Stabilité tumorale
[par rapport à basebline]
↘SPGD < 30 %
ou↗SPGD < 20 %
Stabilité des lésions non cibles
SPGD : Somme des Plus Grands Diamètres

Hyperplasie de l’endomètre

Clinique de l’hyperplasie de l’endomètre

  • Métrorragies post-ménopausique
  • Métrorragie en péri-ménopause

 

 

Classification de l’hyperplasie de l’endomètre

  1. L’hyperplasie de l’endomètre simple (sans atypie)
  2. L’hyperplasie complexe (sans atypie)
  3. L’hyperplasie atypique simple
  4. L’hyperplasie complexe atypique

 

Echographie

  • Ménopause sans THS : 4 mm
    • Patho si > = 5 mm
  • Ménopause avec THS : 7 mm
    • Patho si > = 8 mm
  • Période d’activité génitale
    • Patho si > = 14 mm
  • Hyper vascularisation au Doppler

Pneumopathie infiltrante diffuse idiopathique

  IPF NSIP COP AIP RB-ILD DIP LIP
Rayon de miel +++          
Verre dépoli +++   + ++ + +++
Bronchectasies par traction + ++   +      
Epaississements bronchiques         +    
Opacités réticulées + ++         +
Gradient apico-basal ++ + + +   +  
Gradient baso-apical         ++    
Prédominence sous pleurale + + +   + +  
Opacités linéaires   + +        
Symétrique         +    
Micronodules flous     +   ++ + +
Emphysème centro-lobulaire       + +    
Condensations     +        
Distorsions parenchymateuses       +      
Kystes       +   + +

 

IPF [> 50%] (Idopathic Pulmonary Fibrosis = UIP – Usual Interstitial Pneumonia = PIC – Pneumopathie Interstitielle Commune) Case courtesy of Dr David Cuete, Radiopaedia.org. From the case rID: 27858 Case courtesy of Dr David Cuete, Radiopaedia.org. From the case rID: 27858
NSIP (Non Specific Interstitial Pneumonia = PINS – Pneumopathie Interstitielle Non Spécifique)

Case courtesy of Rogério Augusto Lima Guarneri, Radiopaedia.org. From the case rID: 31651

Case courtesy of Rogério Augusto Lima Guarneri, Radiopaedia.org. From the case rID: 31651

COP (Cryptogenic Organizing Pneumonia = PO – Pneumopathie Organisée, ancienne BOOP)

Case courtesy of Dr Mohammad Taghi Niknejad, Radiopaedia.org. From the case rID: 21347

Case courtesy of Dr Mohammad Taghi Niknejad, Radiopaedia.org. From the case rID: 21347

AIP (Acute interstitial pneumonitis, correspondant en histologie au DAD – Diffuse Alveolar Damage)
RB-ILD (Respiratory Bronchiolitis Interstitial Lung Disease)

Case courtesy of A.Prof Frank Gaillard, Radiopaedia.org. From the case rID: 6535

Case courtesy of A.Prof Frank Gaillard, Radiopaedia.org. From the case rID: 6535

DIP (Desquamative Interstitial Pneumonia)
LIP (Lymphoid Interstitial Pneumonia)

Voir aussi

Lésions élémentaires – Nodules pulmonaires

Définitions

  • Micro nodules  : nodules < 6 mm. Plus ils sont nombreux, plus l’éventualité de granulomes ou de métastase devient élevée
  • Nodules : nodules entre 6 et 30 mm
  • Masses : nodules > 30 mm

 

Sémiologie

  • Limites
    • Nettes
    • Floues
  • Densité
    • Élevée (effaçant les interfaces avec les opacités vasculaires à leur contact)
    • Très faible (n’effaçant pas les interfaces)
  • Distribution
    • Direction verticale (supérieure, moyenne, inférieure)
    • Axiale (antérieure ou postérieure, corticale ou médullaire)
    • Distribution au sein du lobule pulmonaire secondaire (péri ou centrolobulaire)

 

DÉMARCHE DIAGNOSTIQUE

  • Présence de micronodules de topographie sous-pleurale et/ou scissurale ?
    • Si oui, alors distribution :
      • soit périlymphatique
      • soit hématogène
    • Si non, alors distribution centrolobulaire
      • Aspect d’arbre en bougeon ?
        • Si oui : atteinte bronchiolaire +/-bronchectasies, hétérogénéité du parenchyme pulmonaire réalisant un aspect en mosaïque.
  • Type d’atteinte
    • Diffuse = distribution aléatoire = hématomgène
    • Focalisée, notamment au niveau de l’interstitium axial.

 

Les syndromes micronodulaires

Présence de micronodules pulmonaires multiples.

Distribution centro-lobulaire

  • Pathologie alvéolo-bronchique (bronchiolite avec comblement alvéolo-bronchique a minima).
  • Sémiologie
    • micronodules ± denses, à contours flous, confluents
    • ± « branchés »
    • à distance de la plèvre et des scissures
  • Étiologie
    • Infectieuse +++ (ex : tuberculose pulmonaire)
    • inflammatoire (ex : pneumopathie d’hypersensibilité )
    •  tumorale (ex : carcinome bronchiolo-alvéolaire)
    • métastases endovasculaires pulmonaires (micronodules branchés) au cours de cancers avancés
Case courtesy of Dr Juan Jose Urquiza, Radiopaedia.org. From the case rID: 25554
Case courtesy of Dr Juan Jose Urquiza, Radiopaedia.org. From the case rID: 25554

Distribution lymphatique

  • Sémiologie
    • siège au niveau de la plèvre, des scissures et des espaces péri-broncho-vasculaires
    • association à des adénopathies, un épaississement global des espaces péri-broncho-vasculaires
    • lignes septales (de morphologie polygonale soulignant l’unité fondamentale du poumon entourée de plèvre (et donc de lymphatiques), le lobule secondaire de Miller).
  • Étiologie
    • Sarcoïdose, la bérylliose
    • Lymphangite carcinomateuse
    • Silicose
    • Maladies rares (ex : lymphangiectasies)

Case courtesy of Dr Mahomed A. Osman, Radiopaedia.org. From the case rID: 22081

Case courtesy of Dr Mahomed A. Osman, Radiopaedia.org. From the case rID: 22081

Distribution hématogène

  • Sémiologie
    • Miliaire
    • Distribution au hasard.
    • Prédominance basale
    • Feeding vessel sign
      • Nodule appendu à une opacité vasculaire (nodule angio-centré)
  • Étiologie
    • Infectieuse
      • Bactérienne (tuberculose)
      • fungique (candida, histoplasmose)
      • virale (CMV, herpès, varicelle)
    • Tumorale (métastases hématogènes de cancer digestif)
    • Si feeding vessel sign
      • Lymphangite carcinomateuse
      • Wegener
      • Emboles septiques
      • Infections angio-invasives (aspergillose, candidose, mucormycose, P. aeruginosa).
Case courtesy of Dr Prashant Mudgal, Radiopaedia.org. From the case rID: 41197

Case courtesy of Dr Prashant Mudgal, Radiopaedia.org. From the case rID: 41197

Case courtesy of Dr Ahmed Abd Rabou, Radiopaedia.org. From the case rID: 23250

Feeding vessel sign. Case courtesy of Dr Ahmed Abd Rabou, Radiopaedia.org. From the case rID: 23250

IRM du pelvis féminin [Technique]

Contre indications à l’IRM

 

Protocole

  • Jeûne de 3 heures
  • Vessie semi-réplétion
  • Contention abdominale par sangle élastique
  • +/- préparation digestive (Normacol®)
  • Antipéristaltiques (1 mL de Glucagen IV)
  • Opacification rectale et vaginale par gel aqueux

 

Séquences

  • Bandes de présaturation de graisse sous-cutanée antérieure et postérieure
  • T2, axial et sagittal +/- coronal, anatomique
    • FSE
    • Ax : abdomino-pelviennes (au moins jusqu’au hile rénal)
  • T1, axial, caractérisation des liquides
  • +/- T1 FatSat, axial, si besoin
    • Kyste dermoïde
    • Endométriome
  • Diffusion b1000
    • Absence d’hypersignal : forte VPN (bénignité)
  • +/- In & Out phase
  • Injection standard
    • T1
    • T1 FatSat
  • +/- Séquence dynamique cancéro
    • Bilan d’extension d’un cancer utérin
    • Permet d’étudier le rehaussement par rapport au myomètre / endomètre adjacent
    • Acquisition sagittale ou perpendiculaire à l’axe de la structure touchée
  • Séquence dynamique de masse annexielle suspecte
    • Doit passer par la portion charnue de la tumeur et par le corps utérin
    • Résolution temporelle élevée
    • Courbes de rehaussement
    • Type I : < 100% de rehaussement, bénin
    • Type II : +/- 200 % de rehaussement, borderline
    • Type III : 400 % de rehaussement, malin
  • Séquence d’angio-MR
    • Séquence vasculaire

Tumeurs pelvis – Cancer de l’ovaire

Bilan d’extension du cancer de l’ovaire

Technique
  • Échographie
  • TDM
  • IRM
    • Si doute diagnostic, extension aux organes de voisinage pelviens
Dissémination
  • Stades FIGO
  • Par infiltration directe
    • Organes de voisinages
    • Utérus > recto-sigmoïde > grêle > vessie
  • Par voie péritonéale
  • Lymphatique : lombo-aortique, ilio-obturatrice, inguinale
  • Hématogène (tardive) : foie, poumons , cerveau
  • Espace sus-mésocolique
  • Ligament phrénico-colique
  • Espace sous-mésocolique : communication par la gouttière pariéto colique droite
  • 4 sites préférentiels de stagnation :
    • Cul de sac de Douglas
    • Mésentère du grêle
    • Mesocolon sigmoïde
    • Gouttière pariéto-colique droite
Traitements
  • Stades I à IIa
    • Hystérectomie
    • Annexectomie bilatérale
    • Curage
    • Stadification
    • +/- chimio adjuvante
  • Stades IIb à IV
    • Laparoscopie exploratrice
    • +/- chimio néo adj
    • Réduction tumorale maximale
    • Chimiothérapie adjuvante

Accident ischémique constitué [ AVC ]

Protocole IRM d’exploration des AVC

 

Critères sémiologiques : signes précoces d’AVC au scanner

  • Trop belle artère sylvienne
  • Perte du ruban cortical
  • Effacement des sillons corticaux
  • Effacement du noyau lenticulaire
  • Dedifférenciation gris-blanc

 

CRITÈRES SÉMIOLOGIQUES : SIGNES PRÉCOCES D’AVC EN IRM

  • Hypersignal de diffusion systématisé à un territoire vasculaire
  • Restriction du coefficient apparent de diffusion (ADC)
  • Signes de ralentissement sur la séquence FLAIR
  • Hypersignal FLAIR
  • Hyposignal T2* correspondant au thrombus artériel

 

 

 

TERRITOIRES VASCULAIRES (SCHÉMATIQUE)

AVC - territoires vasculaires
Pour en savoir plus : fmritools (en anglais)

 

évolution temporelle du signal dans l’ischémie cérébrale

T1 FLAIR b0 b1000 ADC
< 6 heures Iso Iso Iso Hyper Diminué
[6 – 48] heures Iso Hyper Hyper Hyper Diminué
48 heures – 10 jours Hypo Hyper Hyper Hyper / Iso Variable
> 10 jours Hypo Hyper Hyper Hyper / Iso Augmenté

 

SYNDROME DE SUZAC

Microangiopathie cochléo-encéphalo-rétinienne

  • Hypersignal T2 et FLAIR du corps calleux
  • Petite taille
  • Bien délimités
  • De localisation centrale, non callosofuges
  • Pas d’atrophie calleuse
  • Prises de contraste rares
  • Diffusion restreinte
  • Orpha.net

 

 

 

CADASIL

  • Cerebral Autosomal Dominant Arteriopathy with Subcortical Infarcts and Leukoencephalopathy
  • Artériopathie cérébrale autosomique dominante avec infarctus sous-corticaux et leucoencéphalopathie
  • Démence vasculaire héréditaire
  • Atteinte de la substance blanche des lobes temporaux et des capsules externes en plus du reste de la SB déjà atteinte dans la leucoaraiose

 

 

 

Accident ischémique médullaire

  • Infarctus du territoire spinal antérieur
    • Myélopathie aiguë transverse
      • survenue rapide (<72h)
      • para- ou quadriparésie
      • troubles sphinctériens
      • niveau sensitif
      • dissociation sensitive sous-lésionnelle inconstante: déficit sensitif global dans 15/25 cas d’infarctus centraux
  • Infarctus du territoire périphérique
  • Association infarctus médullaire / infarctus vertébral
  • Artère spinale antérieure : 3 territoires :
    • cervical (C0-T3) : artères vertébrales
    • thoracique (T4-T9) : artères intercostales
    • thoraco-lombaire : art. d’Adamkiewicz
  • IRM
    • Normale 24-48 h, IRM de diffusion +++
    • Hypersignal intramédullaire : 2/3 ant. (Œil de chouette) ou 1/3 post à contours flous
    • Cône > cervical > thoracique
    • +/- PDC
    • +/- atteinte vertébrale et/ou musculaire ischémique

 

[IRM] AVC

 

Cathéters

Couleur Diamètre Débit max théorique
Cathéter jaune 24 G = 0.55 mm 0,4 cc/s
Cathéter bleu 22 G = 0.70 mm 0,6 cc/s
Cathéter rose 20 G = 0.90 mm 1 cc/s
Cathéter vert 18 G = 1.20-1.30 mm 1,6 cc/s
Cathéter gris 16 G = 1.60 mm 3,5 cc/s
Cathéter orange 14 G = 2.00-2.10 mm 5,5 cc/s

/!\ Les débits max théoriques peuvent varier d’un fabriquant à l’autre. Se référer aux indications données sur les emballages /!\

Cathéters

Foie – Segmentation hépatique

  • Foie droit : 5, 6, 7 et 8
  • Foie gauche : 2, 3 et 4
  • Lobe droit : 4, 5, 6, 7 et 8
  • Lobe gauche : 2 et 3

Foie sup

Foie inf

Foie 3D

  • Hépatomégalie : > 11 cm sur la ligne médioclaviculaire
  • Stéatose hépatique : densité hépatique inférieure de 5 UH densité splénique

 

Liens

Orbitopathie dysthyroïdienne aigue

Plan d’analyse d’une orbitopathie dysthyroïdienne aigue

1.EXOPHTALMIE BILATÉRALE (80% DES CAS)

  • Axile
  • Symétrique ou non
  • Grade variable
  • Luxation antérieure des glandes lacrymales
  • Étirement du nerf optique

2. HYPERTROPHIE DES MUSCLES OCULOMOTEURS

  • Muscles droits inf, médial, sup et releveur, oblique supérieur
  • Plus rarement oblique inférieur, droit latéral
  • Atteinte unique rare
  • Respect du tendon d’insertion antérieur, atteinte du corps du muscle : muscle en fuseau

3. MODIFICATION DE DENSITÉ DES MUSCLES OCULOMOTEURS

  • Infiltration avec dépôts de mucopolysacharides
  • Cellules inflammatoires
  • Graisse
  • Fibrose
  • Densité variable

4. HYPERTROPHIE DE LA GRAISSE ORBITAIRE

  • Graisse intra et extra-cônique graisse du coussinet du sourcil, parfois seule responsable de l’exophtalmie
  • Empreinte à la partie antérieure de la lame papyracée

5. SINUS ADJACENTS

  • Description indispensable dans le CR si une corticothérapie ou intervention chirurgicale sont envisagées

 

A rechercher dans une orbitopathie dysthyroïdienne aigue

Forme compliquée

  • Baisse visuelle
    • Étirement du II
    • Encombrement apical par muscles hypertrophiés
    • Compression directe du II
    • Ischémie artérielle (compression)
    • Ischémie gène au retour veineux
  • Diplopie ; atteinte asymétrique, fibrose
  • Inflammation : nécessite une corticothérapie en bolus

Forme atypique

  • Atteinte du DL
  • Atteinte très inflammatoire
  • Atteinte d’un seul muscle

Formes post thérapeutiques

  • Post opératoire fracture 1 paroi
  • Forme évoluée guérie EXOPHTALMIE = GRAISSE
  • Post opératoire fracture 3 parois

Forme compliquée è IRM

  • Coupes orbitaires fines (2 à 3 mm)
  • Axiales T2 (exophtalmie, muscles droit lat et med)
  • Coronales T1, T2 et T2 FATSAT
  • Injection inutile sauf si lésion du N optique (T1 Gd sup graisse)

EXOPHTALMIE, MORPHOLOGIE (IDEM TDM)

Analyse du signal des muscles

  • Graisse
    • Hypersignal T1
    • Hypersignal T2
    • Hyposignal T2 FATSAT
  • Inflammation
    • Iso ou discret hyposignal T1
    • Hypersignal T2
    • Hypersignal T2 sup graisse
  • Fibrose
    • Hyposignal T1
    • Hyposignal T2 intense
    • Sup graisse inutile

Analyse du nerf optique

  • Souffrance majorée si facteur de risque de neuropathie optique (alcool, tabac)
  • HS T2, PC
  • Atrophie optique

Rein [échographie]

Morphologie normale du rein

  • Le parenchyme rénal est moins échogène que le foie et la rate
  • La largeur normale du parenchyme rénal varie de 1,3 cm à 2,5 cm
  • La rapport parenchyme / bassinet varie de 1,6 / 1 ((adulte jeune) à 1 / 1 (adulte agé)
  • Dimensions  normales :
    • Longueur : 9-11 cm
    • Largeur : 4-7 cm
    • Épaisseur : 3-5 cm
Kidney_ultrasound_110315132820_1329070

Hydronéphrose

Stadification de l’hydronéphrose

  • Grade I : dilatation du bassinet sans dilatation calicielle et épaisseur parenchymateuse normale
  • Grade II : dilatation du bassinet et des calices avec amincissement du parenchyme
  • Grade III : dilatation kystique du bassinet avec fin anneau de parenchyme
  • Grade IV : plus de parenchyme visible

Kyste rénal

type1 Type I [kyste simple]

  • Densité hydrique. Homogène [-10 – 20 ] UH
  • Pas de prise de contraste
  • Pas de Ca++
  • Limites régulières sans paroi visible.
 Aucune surveillance
Type2 Type II [kyste discrètement remanié]

    • 1 à 2 fines cloisons (< 1mm)
    • Minimes calcifications. Homogènes
    • Kyste < 3cm
    • Peut être dense et homogène
    • Limites régulières sans paroi visible
    • Pas de prise de contraste
Aucune surveillance
Type2f Type IIF [follow up]

  • Lésion intermédiaire II-III
  • 3 cloisons
  • Minime prise de contraste
  • Cloisons calcifiées.
Surveillance annuelle pendant 5 ans
Type3 Type III [kyste remanié ou multiloculaire ou tumeur kystique]

  • Cloisons nombreuses et ou épaisses
  • Paroi épaisse uniforme
  • Discrètes irrégularités pariétales
  • Calcifications épaisses ou irrégulières
  • Kyste dense et hétérogène ou > 3cm
  • Rehaussement de la paroi ou des cloisons
Exérèse chirurgicale
Type4 Type IV [carcinome kystique uni ou multiloculaire ou carcinome massivement nécrosé]

  • Paroi épaisse et très irrégulière
  • Végétations ou nodules muraux
  • Cloisons épaisses et irrégulières
  • Rehaussement de la composante solide
Exérèse chirurgicale

 

Exemples

Kyste Bosniak 3

 

Kyste Bosniak 4

 

Références

 

[IRM] Reins

Anatomie – Aires ganglionnaires cervicales

Aires ganglionnaires cervicales et lymphatiques

  • Aire IA (sub-mentale) : limitée en dehors par les muscles digastriques. Limitée en bas par l’os hyoïde.
  • Aire IB (rétro / sous -mandibullaire) : en dedans de la branche horizontale de la mandibule.
  • Aire II (jugulo-carotidienne supérieure) : sous le SCM de la base du crane à l’os hyoïde
  • Aire III (jugulo-carotidienne moyenne) : sous le SCM depuis l’os hyoïde jusqu’au cartilage cricoïde
  • Aire IV (jugulo-carotidienne inférieure) : sous le SCM depuis le cartilage cricoïde jusqu’à la clavicule
  • Aire Va (triangle postéro-supérieur) : derrière le SCM, en avant du trapèze, au dessus de la clavicule, au dessus du plan passant par le cricoïde
  • Aire Vb (triangle postéro-inférieur) : derrière le SCM, en avant du trapèze, au dessus de la clavicule, au dessous du plan passant par le cricoïde
  • Aire VI (cervicale antérieure) : face antéro-médiane du cou entre l’os hyoïde et le creux sus-sternal

 

Schéma de l’anatomie lymphatique cervicale

anatomie lymphatique cervicale
Anatomie lymphatique cervicale

 

Modalités de dissémination

Site Premier échelon ganglionnaire
Cavité buccale I, II, III
Larynx, Pharynx II, III, IV
Thyroïde IV, VI, médiatin supérieur VII puis III et II
Parotide II, III, pré-auriculaire, spinal sup
Sous maxillaire I, II, III

 

Curages

Fonctionnel : II + III + IV + V haut
Non conservateur : II + III + IV + V haut + veine jug int
Radical : II + III + IV + V haut + veine jug int + SCM

 

https://www.pinkybone.com/adenopathie/

 

Nouvelle classification anatomie lymphatique cervicale

1-s2.0-S0167814013005148-gr1

 

Source : http://www.palli-science.com/imageries-cou-orl

Source : http://www.palli-science.com/imageries-cou-orl

Source : http://www.palli-science.com/imageries-cou-orl

Source : http://www.palli-science.com/imageries-cou-orl

Embolie pulmonaire

Présentation clinique

  • Chez les patients ambulatoires, l’examen n’est justifié que si la probabilité clinique est forte (calculer le score) ou les D-dimères supérieurs à 500 μg/L.
  • Si la probabilité clinique est forte, doser les d-dimères est inutile car même normaux, ils n’excluent pas le diagnostic

 

Score de genève

Age > 65 ans 1
Antécédent de TVP ou d’EP 3
Chirurgie (sous anesthésie générale) ou fracture m.inf, dans le mois 2
Affection maligne, solide ou hématologique, active ou guérie depuis moins d’un an 2
Douleur unilatérale d’un membre inférieur  3
Hémoptysie  2
Douleur à la palpation veineuse profonde du m. inf. et œdème unilatéral  4
Hz cardiaque [75-94]  3
Hz cardiaque > 95  5
0-3 : faible 4-10 : moyenne [4-10] ≥ 11 : forte

 

Technique

  • Rehaussement artériel pulmonaire de bonne qualité / sous optimale / médiocre
  • Critères de qualité :
    • Mesure de l’atténuation dans le tronc pulmonaire > 250UH
    • Rehaussement des cavités droites > aux cavités gauches

 

Critères sémiologiques d’embolie pulmonaire

  • Lacunes artérielles pulmonaires
  • Uni ou bilatérale
  • Tronculaires / lobaires / segmentaires ou sous segmentaires
  • Retentissement sur le ventricule droit : mesure du rapport VD/VG (surmortalité si > 0,9)
  • Complication : infarctus pulminaire
    1. Condensation périphérique juxta pleurale ou juxta scissurale
    2. Clartés aériques centrales
    3. Pas de bronchogramme aérique

 

Références

OsiriX

Nom OsiriX
Plateforme(s) MacOs
Page de téléchargement OsiriX
Tarifs
  • Gratuit pour la version de base
  • 665€ pour la version MD

Fonctionnement d’OsiriX

Vous téléchargez une version gratuite sur le site (Cf. Lien au dessus). Ensuite l’installation est classique. Je passe.

Nous allons nous focaliser sur le fonctionnement.

Fonctions de base

Lancez OsiriX en cliquant sur l’icône.  Vous devriez avoir ce type de fenêtre qui s’ouvre.

 

Capture d’écran 2015-09-29 à 16.22.43

C’est la base de données patients.

Si vous ne voyez pas la colonne de gauche, cliquez sur ce bouton en bas à gauche.

Capture d’écran 2015-09-29 à 16.25.35

Ou sur celui-là en haut.

Capture d’écran 2015-09-29 à 16.27.01

Pour ouvrir un examen il suffit de double cliquer dessus

Capture d’écran 2015-09-29 à 16.35.51

Pour ouvrir une seconde série, il faut faire un clic droit sur la vignette de la colonne de gauche.

Capture d’écran 2015-09-29 à 16.38.21

Normalement les séries sont synchronisées. Si ce n’est pas le cas, cliquez sur cette icone en haut.

Capture d’écran 2015-09-29 à 16.40.03

Soustraction

Affichez deux séries similaires sans et avec injection de produit de contraste.

Capture d’écran 2015-09-29 à 16.41.57

Cliquez sur l’icone en haut de l’image sans injection.

Capture d’écran 2015-09-29 à 16.42.27

Maintenez la souris appuyée et « jetez » l’icone dans la fenêtre avec injection de produit de contraste.

Capture d’écran 2015-09-29 à 16.43.52

Un menu s’ouvre.

Capture d’écran 2015-09-29 à 16.46.04

Cliquez sur l’opération que vous souhaitez, soustraction, ici en l’occurence.

Capture d’écran 2015-09-29 à 16.49.21

Liste des revues de radiologie

Abdominal imaging

Resource Type: Journal
Publisher: Springer

AJNR, American journal of neuroradiology

Resource Type: Journal
Publisher: American Society of Neuroradiology

AJR, American Journal of Roentgenology

Resource Type: Journal
Publisher: American Roentgen Ray Society

American Journal of Nuclear Medicine and Molecular Imaging

Resource Type: Journal
Publisher: e-Century Publishing Corporation

Annals of nuclear medicine

  • Geneva Foundation Free Medical Journals 1999 to present
Resource Type: Journal
Publisher: Springer Verlag

Annals of the ICRP-ICRP Publication

Resource Type: Journal
Publisher: Pergamon

Australasian Radiology

Resource Type: Journal
Publisher: Wiley

BMC medical imaging

Resource Type: Journal
Publisher: BioMed Central

BMC Medical Physics

Resource Type: Journal
Publisher: BioMed Central

BMC nuclear medicine

Resource Type: Journal
Publisher: BioMed Central

The British Journal of Radiology

Resource Type: Journal
Publisher: British Institute of Radiology

Cancer Imaging

Resource Type: Journal
Publisher: BioMed Central

Cancer – Radiotherapie

Resource Type: Journal
Publisher: Elsevier Masson SAS

Cardiovascular Ultrasound

Resource Type: Journal
Publisher: BioMed Central

Case Reports in Radiology

Resource Type: Journal
Publisher: Hindawi Publishing Corporation

Clinical Radiology

Resource Type: Journal
Publisher: Elsevier Health Sciences

Computerized tomography

Resource Type: Journal
Publisher: Pergamon

Current Problems in Diagnostic Radiology

Resource Type: Journal
Publisher: Mosby

Decisions in imaging economics

Resource Type: Journal
Publisher: Allied Healthcare Group

Diagnostic and Interventional Imaging

Resource Type: Journal
Publisher: Elsevier Masson SAS

Diagnostic and Interventional Radiology: Official Journal of the Turkish Society of Radiology

Resource Type: Journal
Publisher: Turkish Society of Radiology

Diagnostic And Therapeutic Endoscopy

Resource Type: Journal
Publisher: Hindawi Publishing Corporation

EJNMMI Research

Resource Type: Journal
Publisher: Springer Verlag

EMC – Radiologie

Resource Type: Journal
Publisher: Elsevier Masson SAS

Endoscopic Ultrasound

Resource Type: Journal
Publisher: Medknow Publications

European Journal of Radiology

Resource Type: Journal
Publisher: Elsevier Science Ireland Limited

European journal of radiology extra

Resource Type: Journal
Publisher: Elsevier Science Limited

Imaging Decisions MRI

Resource Type: Journal
Publisher: Wiley-Blackwell

The Indian Journal of Radiology & Imaging

Resource Type: Journal
Publisher: Medknow Publications

Insights into Imaging

Resource Type: Journal
Publisher: Springer

International journal of biomedical imaging

Resource Type: Journal
Publisher: Hindawi Publishing Corporation

International Journal of Molecular Imaging

Resource Type: Journal
Publisher: Hindawi Publishing Corporation

International Journal of Nuclear Medicine and Biology

Resource Type: Journal
Publisher: Elsevier

International Journal of Orthodontia, Oral Surgery and Radiography

Resource Type: Journal
Publisher: Mosby

International Journal of Radiation Applications and Instrumentation. Part B. Nuclear Medicine and Biology

Resource Type: Journal
Publisher: Elsevier Science Limited

Internet Journal of Nuclear Medicine

Resource Type: Journal
Publisher: Internet Scientific Publications

Internet Journal of Radiology

Resource Type: Journal
Publisher: Internet Scientific Publications

Interventional Neuroradiology (Centauro)

Resource Type: Journal
Publisher: Centauro S.r.l.

Iranian journal of radiology

Resource Type: Journal
Publisher: Tehran University of Medical Sciences

ISRN Radiology

Resource Type: Journal
Publisher: Hindawi Publishing Corporation

Journal of applied clinical medical physics

Resource Type: Journal
Publisher: American Institute of Physics

Journal of Cardiovascular Computed Tomography

Resource Type: Journal
Publisher: Elsevier

Journal of Cardiovascular Magnetic Resonance

Resource Type: Journal
Publisher: BioMed Central

Journal of Clinical Imaging Science

Resource Type: Journal
Publisher: Medknow Publications

Journal of Contemporary Brachytherapy

Resource Type: Journal
Publisher: Termedia

Journal of Digital Imaging

Resource Type: Journal
Publisher: Springer Verlag New York Inc

Journal of Magnetic Resonance

Resource Type: Journal
Publisher: Elsevier Science

Journal of Medical Imaging & Radiation Oncology

Journal of Medical Physics / Association of Medical Physicists of India

Resource Type: Journal
Publisher: Medknow Publications

Journal of Medical Radiation Sciences

Resource Type: Journal
Publisher: Wiley

Journal of minimal access surgery

Resource Type: Journal
Publisher: Medknow Publications

Journal of Nuclear Cardiology (Elsevier)

Resource Type: Journal
Publisher: Elsevier Health Sciences

The Journal of Nuclear Medicine: JNM

Resource Type: Journal
Publisher: Society of Nuclear Medicine

Journal of Nuclear Medicine Technology

Resource Type: Journal
Publisher: Society of Nuclear Medicine

Journal of radiation research (Maruzen)

  • Geneva Foundation Free Medical Journals 1999 to present
Resource Type: Journal
Publisher: Oxford University Press

Journal of radiology case reports

Resource Type: Journal
Publisher: EduRad Publishing

Journal of Radiology Nursing

Resource Type: Journal
Publisher: Elsevier

Journal of X Ray Science and Technology (Elsevier)

Resource Type: Journal
Publisher: Elsevier Science Limited

Korean journal of radiology

Resource Type: Journal
Publisher: Korean Radiological Society

Médecine Nucléaire

Resource Type: Journal
Publisher: Elsevier

Medical Dosimetry

Resource Type: Journal
Publisher: Elsevier Health Sciences

Medical Engineering & Physics

Resource Type: Journal
Publisher: Elsevier

Nuclear Medicine and Biology

Resource Type: Journal
Publisher: Elsevier

Nuclear Medicine and Molecular Imaging

Resource Type: Journal
Publisher: Springer Berlin Heidelberg

Open Neuroimaging Journal

Resource Type: Journal
Publisher: Bentham Science Publishers

Oral Surgery, Oral Medicine, Oral Pathology, Oral Radiology, and Endodontology

Resource Type: Journal
Publisher: Mosby

Organic Magnetic Resonance

Resource Type: Journal
Publisher: Wiley

Polish Journal of Radiology

Resource Type: Journal
Publisher: International Scientific Literature, Inc.

Quantitative Imaging in Medicine and Surgery

Resource Type: Journal
Publisher: AME Publications

Radiation oncology

Resource Type: Journal
Publisher: BioMed Central

Radiation Oncology Journal

Resource Type: Journal
Publisher: Korean Society for Therapeutic Radiology and Oncology

Radiation Protection Dosimetry

Resource Type: Journal
Publisher: Oxford University Press

Radiographics : a review publication of the Radiological Society of North America, Inc

Resource Type: Journal
Publisher: Radiological Society of North America

Radiography

Resource Type: Journal
Publisher: Elsevier

Radiologia Brasileira

Resource Type: Journal
Publisher: Colegio Brasileiro de Radiologia

Radiology

Resource Type: Journal
Publisher: Radiological Society of North America

Radiology and oncology

Resource Type: Journal
Publisher: De Gruyter Open

Radiology Research and Practice

Resource Type: Journal
Publisher: Hindawi Publishing Corporation

Revista argentina de radiología

Resource Type: Journal
Publisher: Sociedad Argentina de Radiología

Revista Chilena de radiología

Resource Type: Journal
Publisher: Publimpacto

Revista Española de Medicina Nuclear

  • Geneva Foundation Free Medical Journals 2001 to present (Embargo: 1 year)
Resource Type: Journal
Publisher: Ediciones Doyma, S. L.

Revista Española de Medicina Nuclear e Imagen Molecular (English Edition)

Resource Type: Journal
Publisher: Elsevier Espana SL

Revista Española de Medicina Nuclear (English Edition)

Resource Type: Journal
Publisher: Ediciones Doyma, S. L.

SA Journal of Radiology

Resource Type: Journal
Publisher: Health and Medical Publishing Group (HMPG)

Skeletal Radiology

Resource Type: Journal
Publisher: Springer Berlin Heidelberg

Surgical and Radiologic Anatomy

Resource Type: Journal
Publisher: Springer Verlag France

Techniques in vascular and interventional radiology

Resource Type: Journal
Publisher: Elsevier Science

World Journal of Nuclear Medicine

Resource Type: Journal
Publisher: World Federation of Nuclear Medicine & Biology

World journal of radiology

Resource Type: Journal
Publisher: Baishideng Publishing Group

 

 

[IRM] Crane +

IRM ENCÉPHALIQUE

CONTEXTE
Bilan
 
TECHNIQUE
– Séquences avant injection de produit de contraste gadoliné : axiale FLAIR, T2*, diffusion, T1
– Séquences après injection de produit de contraste gadoliné : axiale T1, 3DT1
 
RÉSULTATS
Structures médianes en place.
 
Pas d’anomalie du signal FLAIR du parenchyme cérébral sus ou sous tentoriel.
Quelques hypersignaux FLAIR de la substance blanche péri-ventriculaire, non confluents, aspécifiques.
 
Pas de stigmates hémorragiques intra ou extra axiaux en pondération T2*.
Pas d’hypersignal de diffusion du parenchyme cérébral.
Absence de prise de contraste cérébrale sus ou sous tentorielle suspecte.
Les structures veineuses sont perméables
 
CONCLUSION
Absence d’anomalie décelée
 
Iconographie mise à disposition sous forme de planche papier et conservée localement sur le PACS.
 
 

Neuroradio

Pathologies tubaires

Pathologies tubaires

Hydro-salpinx
  • Signe de la roue dentée (franges tubaires)
  • Dilatation kystique du contenu de la trompe
  • Anéchogène homogène
Case courtesy of Dr Roberto Schubert, Radiopaedia.org. From the case rID: 17761
Pyosalpinx
  • Signes d’infection
  • Utérus augmenté de volume
  • Liquide intra-cavitaire utérin
  • Liquide dans les trompes
  • Collection finement échogène (pus)
  • Signe de la roue dentée (cogwheel sign)
  • Parois épaisses, franges tubaires épaissies
  • Épaississement de la paroi des trompes (salpingite)
  • Hypervascularisation en doppler couleur
  • Contenu de la trompe plus échogène que dans l’hydrosalpinx
  • Chercher épanchement pelvien
  • Peut être variable dans le temps
  • Signe du septa incomplet (au niveau de la plicature)
Case courtesy of Dr Mohammad A. ElBeialy, Radiopaedia.org. From the case rID: 23820
Kyste para-tubaire
Cancer de la trompe
Case courtesy of Radiopaedia.org. From the case rID: 11817 Case courtesy of Radiopaedia.org. From the case rID: 11817

Infarctus osseux

Infarctus osseux

  • Localisation
    • Métaphyso-épiphysaire ou diaphysaire, parfois bilatéral et symétrique
  • Spontané : moelle jaune
  • Secondaire : maladie de Gaucher / drépanocytose de la moelle rouge
  • Rx
    • Calcifications plus épaisses et plus périphériques (liseré) et centre peu dense
    • Pas de scalloping sur l’endoste
  • IRM
    • Séquestre osseux
    • Aigu : avec œdème périphérique sans liseré
    • Chronique : liseré de bas signal, séquestre graisseux
    • Calcification périphériques, rehaussement périphérique
    • Peut se compliquer d’une fracture
  • DDx
    • Enchondrôme: à faire en IRM

Tube digestif – Occlusion digestive / Syndrome occlusif

Raisonnement devant une occlusion

  • Confirmer le diagnostic d’occlusion mécanique
  • Niveau de l’obstacle
  • Obstruction du grêle de bas ou haut* grade
    *Différence de diamètre entre anse d’amont et d’aval > à 50 %

 

 

Occlusion grelique

  • Distention des anses > 25-30 mm

  • Chercher jonction anse dilatée – anse plate

Occlusion colique

  • Critère de gravité

    • Caecum diastatique > 10-12 cm
    • Pneumatose pariétale colique
    • Aéromésentérie
    • Aéroportie
    • Défect de rehaussement pariétal
    • Pneumopéritoine

 

 

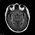
[IRM] Conduits auditifs internes

IRM ENCEPHALIQUE ET DES CONDUITS AUDITIFS INTERNES

CONTEXTE
Bilan

TECHNIQUE
– Séquences axiales sur l’encéphale : FLAIR, T1, diffusion
– Séquence 3D : T2  centrée sur les angles ponto-cérebelleux.
– Séquences après injection de gadolinium : 3DT1 (en écho de gradient), T1

RESULTATS
Présences de quatre nerfs dans les conduits auditifs internes.
Angles ponto-cérebelleux libres.
Pas d’anomalie de signal ou de morphologie endolabyrinthique.

Structures médianes en place.
Pas d’anomalie du signal FLAIR du parenchyme cérébral sus ou sous tentoriel.
Quelques hypersignaux FLAIR de la substance blanche péri-ventriculaire, non confluents, aspécifiques.
Pas d’hypersignal de diffusion du parenchyme cérébral.
Pas de prise de contraste suspecte
Pas d’hydrocéphalie.

CONCLUSION
Absence d’anomalie décelée

Iconographie mise à disposition sous forme de planche papier et conservée localement sur le PACS.

MatLab pour les radiologues et les étudiants

Bases de programmation et algorithmique avec MatLab

Travailler ses images médicales grâce à MatLab

Introduction

  • MatLab = Matrix Laboratory
  • Langage de programmation simple, non compilable, rapide, universel
  • Multiplateforme (Mac, PC, Linux)
  • Importante communauté d’utilisateurs
  • Apprentissage rapide
  • Pourquoi MatLab et pas un autre langage ?? => nous ne sommes pas programmateurs !

Présentation générale

matlab

  • Le menu du haut est similaire à la plupart des programmes
  • Le dossier de travail, est le dossier où sont contenus vos fichiers DICOM, images, données, etc.
  • La fenêtre de commande est l’espace où l’on tape les lignes de commande qui exécutent des actions
  • La fenêtre de mémoire de travail affiche le nom des constantes contenant les valeurs générées par le programme, leur taille et leur type de contenu
  • La fenêtre d’historique répertorie toutes vos dernières actions

Pour bien commencer avec MatLab

  • Il faut d’abord se placer dans son dossier de travail dans la fenêtre de gauche en cliquant sur la double flèche <<
  • Celui-ci contient les fichiers que vous souhaitez traiter
  • Nous allons ensuite demander à MatLab d’effectuer quelques petits calculs pour se familiariser avec son utilisation

Opérations numériques classiques

  • Commençons par la base de la base. Faire une addition. Rien de plus simple. Il faut considérer que MatLab n’est rien de plus qu’une supercalculette.
  • Dans la fenêtre de commandes nous allons lui demander de résoudre 36 + 44 (je sais que vous avez déjà trouvé la réponse !)
  • Pour cela il suffit de taper 36 + 44 dans la fenêtre de commande

>> 36 + 44

ans =

   80

  • Quand je disais que c’est facile de programmer, maintenant vous me croyez
  • Vous pouvez aussi soustraire, multiplier ou diviser
  • Deux remarques à ce niveau :
    • MatLab est un logiciel anglo-saxon, les virgules sont remplacées par des points
    • Le signe de la multiplication est l’étoile *

>> 34-52

ans =

   -18

>> 1.5 * 4

ans =

     6

>> 12 / 4

ans =

     3

  • Combinons les opérations
  • xemple :

>> 1 - (2 + 5.2)*10 / (5^3)

ans =

   0.4240

 

Stocker une variable de travail

  • Bon, c’est intéressant de pouvoir faire des opérations numériques, mais il faut bien ranger les résultats quelque part si on veut pouvoir les réutiliser après (à moins d’avoir une mémoire d’ordinateur, ce qui n’est généralement pas le cas)
  • Nous allons donc stocker les résultats dans ce qu’on appelle des « variables »
  • Pour comprendre la suite, il faut assimiler trois notions très simples. Considérons qu’une variable soit un pot, rangé sur une étagère de cuisine.
    • Une variable a un nom unique sensible à la casse, c’est l ’étiquette qui est collée sur le pot (les majuscules sont prises en compte, Sel n’est pas sel)
    • Une variable à un type, c’est la forme du pot, qui du coup ne peut pas contenir n’importe quel contenu (en fait on indique si la variable contiendra des nombres entiers, des nombres réels, du texte ou autre chose, ceci conditionnera la quantité de mémoire utilisée par votre ordinateur pour stocker votre variable)
    • Une variable à un contenu dont vous pouvez récupérer la valeur à n’importe quel moment. Je peux décider d’ouvrir mon pot et de prendre du Sel
  • Tout ça n’est qu’une question de gout
  • Par exemple nous allons stocker dans la variable nommée A la valeur de l’opération à droite du signe =
  • Notez que ^ correspond à la mise en puissance. Ici 5 à la puissance 3
  • La variable A contient la valeur 0.4240
  • Pour interroger MatLab et connaitre la valeur de A, il suffit de taper A
  • On peut ensuite combiner les opérations comme avec B

>> A = 1 - (2 + 5.2)*10 / (5^3)

A =

   0.4240

>> A

A =

   0.4240

>> B = 2 * A

B =

   0.8480

 

Lire une image DICOM avec MatLab

  • Bon, tout ça c’est très bien me direz vous, mais quel rapport avec la radiologie ?
  • J’y viens
  • En imagerie médicale, les images générées par les modalités sont dans un format particulier nommé DICOM
  • Chaque fichier image a pour particularité de contenir systématiquement 2 informations
    • Le header, une partie textuelle qui contient le nom du patient, son age, la modalité, etc
    • L’image en elle-même, généralement en noir et blanc, non compressée
  • Pour lire une image DICOM entièrement, il faut donc lire ces 2 informations
  • Arrivé ici, vous savez faires quelques opérations simples avec MatLab et stocker vos résultats en mémoire. Je vous conseille de bien vous familiariser avec ces notions avant de passer à ce qui suit.
  • Nous allons apprendre à lire un fichier DICOM. Si vous ne savez pas ce qu’est un fichier DICOM, disons que c’est le fichier qui contient votre image médicale. Il est constitué de 2 parties. La première appelée header contient les informations concernant votre patient et l’examen (NOM, AGE, MODALITE, DATE DE L’EXAMEN, etc.).
  • La seconde contient l’image en elle-même. Elle est stockée sous la forme d’une matrice et chaque pixel est codé sous la forme d’un nombre.
  • Placez vous dans le dossier contenant votre fichier. Tapez la commande suivante. Votre image est alors décodée.

>> dicomread(’image_528.dcm')

   17     12     18     16     14     19     19     13     13     13     16     10     16     15

     17     17     20     12     14     16     15     14     17     15     21     20     12     16

     12     14     19     19     14     17     18     10     16     16     17     23     15     20

     11     16     13     20     16     13     13     13     13     21     15     18     18     16

     14     15     14     15     13     21     15     15     21     10     16     15     10     16

     15     20     14     13     13     20     14     11     11     17     14     17     19     19

     13     15     19     12     14     15     12     16     17     17     13     19     17     19

     15     20     14     18     17     13     17     17     15     16     17     10     15     13

     12     19     14     19     11     16     14     15     14     17     14     16     21     8

     10     23     15     18     15     14     15     13     14     16     16     18     17     10

     19     11     15     19     16     13     18    

 

  • Si vous rajoutez « ; » à la fin, l’image est lue mais MatLab n’affiche pas les valeurs de tous les pixels

>> dicomread(’image_528.dcm');

>>

  • L’image est lue mais pas stockée

>> A = dicomread('image_528.dcm');

>>

  • La variable A contient l’image lue
  • Bravo ! Vous venez de lire votre première image DICOM
  • Peaufinons un peu la technique
  • Commençons par la ranger dans une variable pour pouvoir la réutiliser

>> image1 = dicomread(’image_528.dcm’)

  • Ensuite, pas besoin d’afficher le contenu sous forme de chiffres. Nous pouvons cacher le résultat de la lecture en terminant les commandes par ;

>> image1 = dicomread(’image_528.dcm’);

  • Regardez dans le la mémoire de travail en haut à droite, vous devez voir apparaître votre image. On peut y lire son nombre, la taille de la matrice et le type (Cf. Stocker une variable)

Afficher une image

>> imshow(image1,’DisplayRange’,[])

>>

  • hop

matlab2

>> imagesc(A)

>>

  • matlab2

A suivre…

Prochaine étape : réaliser une soustraction

Si vous avez des questions ajoutez un commentaire à cet article

 

Statique du bassin

  • Radiographie du bassin de face en chargeStatique du bassin
  • Droite passant par la partie inférieure des 2 articulations sacro-iliaques
  • Si la ligne est horizontale : normal
  • Si angulation : tangente horizontale à chacune des tête fémorale
  • Inégalité significative si > 1cm

ESSURE ®

Contrôle du bon positionnement des dispositifs Essure ®
essureRéaliser un ASP de face stricte et éventuelle rotation pour être dans le plan de l’utérus.

  • Demander à la patiente si elle présente des douleurs
  • Repérer les deux implants
  • Repérer les 4 marqueurs de chaque implant
  • Les 2 implants doivent avoir une courbure harmonieuse
  • Distance entre les marqueurs proximaux < 40 mm Image2
  • Implants symétriques
  • L’axe linéaire des implants décrit une forme anatomique
  • L’écart entre les 2 marqueurs proximaux n’est pas supérieur à la taille d’un implant
  • Le 4ème marqueur est aligné sur les 3 autres

essure

Rachis – Malformation de Chiari

  • Ligne occipito-palatine (ligne de Chamberlain)
  • Ligne occipito-clivale (ligne de McRae)
  • Variante normale
    • Hernie tonsiles cérebelleux < 3 mm
  • Ectopie celebelleuse
    • Hernie tonsiles cérebelleux [3-5] mm

Chiari Type 1

  • Hernie tonsiles cérebelleux > 5 mm
  • Asymétrique
  • Elongation des amygdales et de la partie médiane des lobes inférieurs du cervelet

Chiari type 2

  • Ptose du vermis inférieur
  • Ptose de la protubérance
  • Ptose de la moelle allongée dans le canal cervical
  • Foramen Magnum allongé
  • Myéloméningocèle associée

Chiari type 3

  • Type 2 +
  • Hernie du cervelet dans un spina bifida occipito vertébral
  • Méningo-encéphalocèle

Chiari type 4

  • Hypoplasie cervelet
  • Ectopie bulbaire

Myélopathies

Définition des myélopathies

  • Toutes affections médullaires
  • Partielles : une ou plusieurs voies de passages
  • Totales ou transverses : « section médullaire »

 

  • Myélopathies aigues : < 4 semaines
  • Myélopathies chroniques : > 4 semaines
  • Myélite : myélopathie inflammatoire

 

Protocole d’exploration des myélopathies

IRM

  • Sag. T1, T2
  • +/- sag. T2 STIR : patho. Inflam. 
  • Injection 0,1 mmol/kg gadolinium 
  • Ax. T2 SE ou T2 EG 
  • Sag. et ax. T1 après injection
  • Sag. T2 +/- T1 gado. sur le segment non exploré
  • Si lésion : compléter par IRM cérébrale

 

Myélopathies aiguës

MYÉLOPATHIES CHRONIQUES

  • Éliminer cause chirurgicale : cause extrinsèque
  • SEP +++
  • ADEM
  • Maladie de Devic (NMOD)
  • Autres
    • Maladies de système : maladies auto-immunes (LED, Behcet, Gougerot Sjögren, Sd APL), sarcoïdose
    • Infectieuses : virales +++, maladie de Lyme 
    • Paranéoplasiques : très rares 
    • Toxiques : méthotrexate intrathécal, post-radique (involution graisseuse des vertèbres aux mêmes étages)
    • Ischémiques

Position de l’utérus

Position de l’utérus

  • Version de l’utérus
    • Regarder angle entre le corps de l’utérus et la ligne ombilico-coccygienne (angle violet)
  • Flexion de l’utérus
    • Regarder angle entre le corps de l’utérus et le col de l’utérus (angle vert)
 version flexion
Antéversion
Antéflexion
version flexion 1
Rétroversion
Antéflexion
version flexion 2
Antéversion
Rétroflexion
version flexion 3
Rétroversion
Rétroflextion
version flexion 4

 

FIGO – Cancer de l’ovaire

FIGO (2009) TNM (2009) Description
Stade I T1 Tumeur limitée aux ovaires
IA T1a Un ovaire, capsule intacte, cytologie péritonéale négative
IB T1b Deux ovaires, capsules intactes, cytologie péritonéale négative
IC T1c Un ou deux ovaires ou rupture capsulaire ou cytologie péritonéale positive
Stade II T2 Tumeur limitée au pelvis
IIA T2a Extension à l’utérus ou aux trompes, cytologie péritonéale négative
IIB T2b Extension aux autres organes du pelvis (vessie, colon, rectum), cytologie péritonéale négative
IIC T2c IIA ou IIB + cytologie péritonéale positive
Stade III T3 et/ou N1 Tumeur limitée à l’abdomen
IIIA T3a Extension péritonéale microscopique
IIIB T3b Extension péritonéale ≤ 2cm
IIIC T3c Extension péritonéal > 2cm
N1 Atteinte des ganglions lymphatiques régionaux
Stade IV T4 et/ou M1 Métastases à distance

Source : HAS 2010

FIGO 2018 – Cancer du col utérin

Stade I – Cancer strictement limité au col
Stade IA
Cancer invasif identifié seulement au microscope et envahissement du stroma :
profondeur maximum de 5 mm
IA1profondeur ≤ 3 mm, largeur ≤ 7 mm
IA23 mm < profondeur ≤ 5 mm et largeur ≤ 7 mm
Stade IB – Cancer clinique limité au col visible en macroscopie ou cancer microscopique de dimension supérieure au IAIB1T <2 cm
IB22 ≤ T <4 cm
IB3T ≥ 4 cm
Stade II – Cancer étendu au-delà du col mais n’atteignant pas la paroi pelvienne ni le tiers inférieur du vagin

Stade IIA –  jusqu’aux deux tiers supérieurs du vagin


IIA1Taille T ≤ 4 cm
IIA2 Taille T >4 cm

Stade IIB paramètres (proximaux)
Stade III – Cancer étendu jusqu’à la paroi pelvienne et/ou au tiers inférieur du vagin (y compris hydronéphrose)


Stade IIIA

 Atteinte vaginale jusqu’au tiers inférieur

 Stade IIB
Fixation à la paroi pelvienne
(ou hydronéphrose ou rein muet)
Stade IIIC
IIIC1
 Atteinte ganglionnaire pelvienne *

IIIC2
Atteinte ganglionnaire lombo-aortique *
Stade IV – Cancer étendu au-delà du petit bassin ou à la muqueuse vésicale et/ou rectale

Stade IVA
 Organe adjacent (vessie, rectum)

Stade IVB
 A distance

FIGO et TNM – Cancer de l’endomètre

FIGO (2009) TNM (2009) Description
Stade I T1 Tumeur limitée au corps utérin
IA T1a Tumeur limitée à l’endomètre ou ne dépassant pas la moitié du myomètre
IB T1b Tumeur envahissant la moitié du myomètre ou plus de la moitié du myomètre
Stade II T2 Tumeur envahissant le stroma cervical mais ne s’étendant pas au-delà de l’utérus
Stade III T3 et/ou N1 Extensions locales et/ou régionales comme suit :
IIIA T3a Séreuse et/ou annexes
IIIB T3b Envahissement vaginal et/ou paramétrial
IIIC N1 Atteinte des ganglions lymphatiques régionaux
IIIC1 Ganglions pelviens
IIIC2 Ganglions lomboaortiques ± ganglions pelviens
Stade IV T4 et/ou M1 Extension à la muqueuse vésicale et/ou intestinale et/ou métastases à distance
IVA T4 Extension à la muqueuse vésicale et/ou intestinale
IVB M1 Métastases à distance incluant les métastases intra-abdominales et/ou ganglions inguinaux

Source : HAS 2010

FIGO 2023Description
Stade ILimité au corps utérin et à l’ovaire
IADisease limited to the endometrium OR non-aggressive histological type, i.e. low-grade endometroid, with invasion of less than half of myometrium with no or focal lymphovascular space involvement (LVSI) OR good prognosis disease
IA1 Non-aggressive histological type limited to an endometrial polyp OR confined to the endometrium
IA2 Non-aggressive histological types involving less than half of the myometrium with no or focal LVSI
IA3 Low-grade endometrioid carcinomas limited to the uterus and ovary
IBNon-aggressive histological types with invasion of half or more of the myometrium, and with no or focal LVSI
ICAggressive histological types limited to a polyp or confined to the endometrium
Stade IIInvasion of cervical stroma without extrauterine extension OR with substantial LVSI OR aggressive histological types with myometrial invasion
IIAInvasion of the cervical stroma of non-aggressive histological types
IIBSubstantial LVSI of non-aggressive histological types
IICAggressive histological types with any myometrial involvement
Stade IIILocal and/or regional spread of the tumor of any histological subtype
IIIAInvasion of uterine serosa, adnexa, or both by direct extension or metastasis
IIIA1 Spread to ovary or fallopian tube (except when meeting stage IA3 criteria) IIIA2 Involvement of uterine subserosa or spread through the uterine serosa
IIIBMetastasis or direct spread to the vagina and/or to the parametria or pelvic peritoneum
IIIB1 Metastasis or direct spread to the vagina and/or the parametriaIIIB2 Metastasis to the pelvic peritoneum
IIICMetastasis to the pelvic or para-aortic lymph nodes or both
IIIC1 Metastasis to the pelvic lymph nodesIIIC1i MicrometastasisIIIC1ii MacrometastasisIIIC2 Metastasis to para-aortic lymph nodes up to the renal vessels, with or without metastasis to the pelvic lymph nodesIIIC2i MicrometastasisIIIC2ii Macrometastasis
Stade IVSpread to the bladder mucosa and/or intestinal mucosa and/or distance metastasis
IVAInvasion of the bladder mucosa and/or the intestinal/bowel mucosa
IVBAbdominal peritoneal metastasis beyond the pelvis
IVCDistant metastasis, including metastasis to any extra- or intra-abdominal lymph nodes above the renal vessels, lungs, liver, brain, or bone

Pied

Angles et mesures du pied

Angle d’ouverture de l’avant pied

  • Angle mesuré entre l’axe de M1 et de M5
  • Normale 15 à 20°
  • Pied plat : ouverture > 30°
  • Pied creux : fermeture
Pied face
Angle de Dijan-Annonier d’ouverture de l’avant pied

  • Angle mesuré entrela droite passant par le point le plus antérieur du calcanéus, le point le plus inférieur du calcanéus et le rebord inférieur du sésamoïde de l’hallux
  • Normale : 120° à 130°
  • Pied plat : > 130°
  • Pied creux : < 120°
Pied profil
Hallux Valgus

  • Angle entre les diaphyses de P1 et de M1 > 15°

Hallux Valgus

Hallux Valgus

 


 

 

Compte-rendus types

http://www.pinkybone.com/rx-pied/

Chiari

Grades des malformations d’Arnold Chiari

  • Grade I
    • Hernie des tonsilles cérébelleux à travers le foramen magnum de plus de 5 mm sous la ligne de McRae
    • V4 reste en place
    • Chercher cavité syringomyélique associée
    • Impression basilaire si odontoïde remonte au dessus au dessus de la ligne de McRae
  • Grade II
    • Ptose du vermis inférieur
    • Ptose du pont
    • Ptose de la moëlle allongée
    • Association avec une méningocèle
  • Grade III
    • Rare
    • Hernie du cervelet dans une spina bifida occipitale
  • Grade IV
    • Généralement non viable
    • Hypoplasie du cervelet
    • Ectopie de la möelle allongée

Ligne de McRae : du bord inférieur du clivus au bord inférieur de l’écaille occipitale

Liens

Excel pour les statistiques médicales

excelVous ne le savez peut être pas encore, mais sur Excel vous avez la possibilité de faire toutes vos statistiques. Et ça, c’est bien pratique quand on rédige une thèse, un mémoire ou un article scientifique. (Je n’ai aucun conflit d’intérêt à déclarer avec la société Microsoft®)

 

Présentation d’excel

C’est quoi, Excel ?

Excel est un tableur créé par la société Microsoft®. Il a été conçu sous forme de cellules repérées grâce à l’adressage (Cf. « adressage »).
Il est très pratique pour faire des calculs, des tableaux, et des graphiques.

La sémAntique Excel

Un document Excel est appelé classeur.

Chaque classeur possède trois feuilles de calcul par défaut, on peut les voir en bas à gauche du classeur. On peut ajouter des feuilles à sa guise en cliquant sur ce bouton :

247855

L’adressage

C’est simplement le nom d’une cellule définie par la lettre de sa colonne puis le chiffre de sa ligne.

Sur l’image ci-après la cellule F7.

excel1

Lorsque vous êtes dans une cellule, ses coordonnées (par exemple, F7) se colorient en orange dans les barres (en haut et à gauche).

Astuce Excel

excel2

Imaginons que vous vouliez remplir rapidement une colonne avec une succession de chiffres (ou de dates). Rentrez les deux ou trois premiers.

excel3

Sélectionnez les cases à répéter. Cliquez sur la petite croix (le petit +) en bas à droite des cases sélectionnées. Tirez vers le bas. Relâchez.

excel4

Vos cellules sont remplies automatiquement.

Cette astuces marche avec de multiples combinaisons. A vous de tester.

Les formules Excel

Excel permet de simplifier les calculs et de les modifier facilement. Nous allons commencer par du super simple avec de complexifier les choses. Dans ce tutoriel vous allez créer une feuille de calcul qui contient des données issues de l’analyse de vos patients. Imaginons que vous avez placé des ROI dans 6 zones chez 7 patients différents. Vous avez ensuite entré les valeurs de ces ROI dans un tableau comme suit.

Capture d’écran 2015-09-29 à 14.46.14

Moyenne

Nous allons extraire un maximum d’informations de ces données grâce aux formules proposées par Excel. Et vous allez voir que vous n’avez pas besoin d’un logiciel de statistiques plus complexe. Commençons par calculer la moyenne des valeurs obtenues par les ROI. Créer une nouvelle colonne que vous appelez moyenne.
Capture d’écran 2015-09-29 à 14.46.24

Vous cliquez ensuite dans la première case de la colonne. Vous tapez « =MOYENNE« . Les parenthèses s’ajoutent toutes seules.

Capture d’écran 2015-09-29 à 14.46.42

Ensuite vous sélectionnez toutes les cellules qui doivent être prise en compte pour le calcul de la moyenne. Et surtout vous appuyez sur ENTREE lorsque c’est fini.

Capture d’écran 2015-09-29 à 14.46.53

Ensuite vous cliquez dans le coin en bas à droite de la première case calculée et vous tirez vers le bas. Excel calcule toutes les autres moyennes des autres lignes. Rapide, efficace. Tout ce qu’on aime

Capture d’écran 2015-09-29 à 14.47.16

Somme

On peut décliner le principe avec la somme : « =SOMME() »

Capture d’écran 2015-09-29 à 14.59.09

Ecart-type

Ou encore le calcul de l’écart-type aussi appelé déviation standard : « =ECARTYPE() »

Capture d’écran 2015-09-29 à 15.01.18

Plus « compliqué » : t-test

Imaginons que l’on souhaite réaliser un test apparié pour comparer deux méthodes d’imagerie. On va réaliser un t-test. Pour cela il faut faire deux colonnes contenant les deux méthodes à comparer entre elles. Chaque ligne est une observation réalisée pour chaque méthode.

Capture d’écran 2015-09-29 à 15.09.23

Comme pour les formules précédentes, on tape « =T.TEST« . Il faut indiquer 4 argumentsà Excel. Le premier la méthode 1, le deuxième la méthode 2,  1 pour unilatéral et 2 pour bilatéral puis 1 car les observations sont pairées.

Capture d’écran 2015-09-29 à 15.09.40

Dans cet exemple, la différence n’est pas significative.

Capture d’écran 2015-09-29 à 15.09.33

Dans cet exemple, la différence est significative.

Capture d’écran 2015-09-29 à 15.26.53

Conclusion

C’est relativement simple de faire ses statistiques sur Excel car le logiciel contient la plupart des fonctions de base pour l’écriture d’un papier. Par ailleurs on le trouve plus facilement que des logiciels plus complexes. Enfin, des milliers de tutoriaux sont disponibles sur internet donc un coup de main est plus rapide à trouver.

Comme je suis très sympa, voici en téléchargement un fichier d’exemples.

Si vous avez des questions envoyez les en commentaire de l’article.

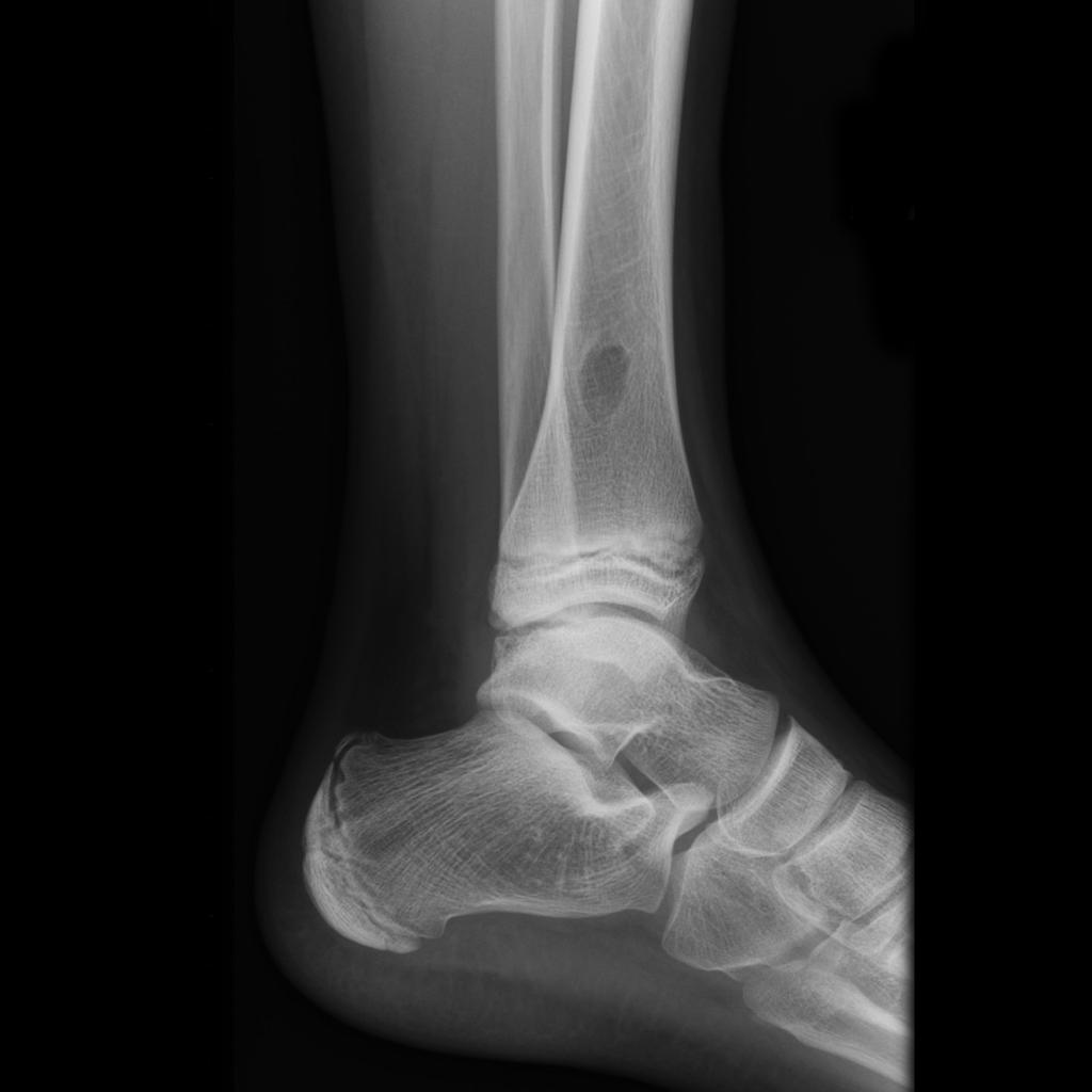
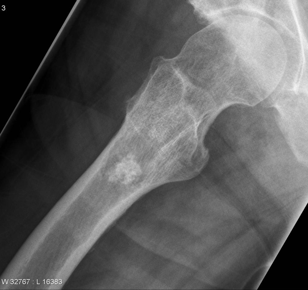
Tumeurs os – Fibrome non ossifiant

Fibrome non ossifiant

  1. Terrain
    • 95%  < 20 ans
  2. Localisation
    • 95% métaphyse des os longs
    • 75% monostotique
    • 25% polyostotique
    • 80% membre inférieur
    • Tibia > Fémur
    • Migre de la métaphyse vers diaphyse
  3. Analyse radiologique
  4. Divers
    • < 2 cm : cortical defect (uniquement cortical)
    • > 2cm : fibrome non ossifiant (cortical et medullaire)
    • Grand axe parallèle à la diaphyse
    • Aspect lobulé
    • Corticale respectée qui peut être soufflée
    • Corticale peut s’épaissir lors de la résorption
    • Découverte fortuite, fracture pathologique
    • Arrêt de croissance à la puberté
    • Puis ossification progressive
      • Syndrôme de Jaffé-Campanacci
    • Scinti : hyperfixation modérée
    • DDx :
      • Dysplasie fibreuse

 

Tumeurs os – Dysplasie fibreuse

Dysplasie fibreuse

  1. Terrain
    • 85% < 30 ans (monostotique)
    • 2/3 < 10 ans (polyostotique)
  2. Localisation
    • Monostotique
      • Fémur > Tibia > Côtes > Face
      • Diaphyso-métaphysaire
      • Os longs : jamais épiphysaire
    • Polyostotique 
      • Crâne > Face > Fémur > Tibia
      • 90% unilatéral
      • Syndrôme de Mac Cune Albright
      • Arrêt à l’âge adulte
      • 0,5% de dégénérescence sarcomateuse
      • Diaphysaire
      • Centro-medullaire
  3. Analyse radiologique
  4. Divers
    • Rare
    • Bénin
    • 70 – 80% monostotique
    • 20-30% polyostotique
    • Aspect en verre dépoli
    • Aspect multiloculé
    • Corticales nettes
    • IRM
      • Liseré périphérique hypoT1 hypoT2
      • Possible inflammation
    • Scinti : hyperfixation aspécifique

 

Tumeurs os – Fibrome chondromixoïde

Fibrome chondromixoïde

  1. Terrain
    • Garçon
    • Age : 10 et 30 ans
  2. Localisation
    • Genou
  3. Analyse radiologique
  4. Divers
    • Tumeur à composition mixte cartilagineuse et myxoïde
    • Aspect radiologique :
      • Ostéolyse géographique cernée d’un liséré dense et contenant des cloisons osseuses épaisses
      • Peut être excentrée et soufflante
      • Calcifications rares

 

Tumeurs os – Ostéome ostéoïde

Ostéome ostéoïde

  1. Terrain
    • Adulte jeune
  2. Localisation
    • Os longs
    • Rachis arc postérieur
    • Cortical ou para-ostéal ou intra-medullaire
  3. Analyse radiologique
  4. Divers
    • Lignée ostéogénique
    • < 15 mm
    • Purement bénin
    • Douleur nocturne insomniante sensible à l’aspirine
    • Si proche d’une articulation : arthrose focale chez jeune (rachis+++)
    • Nidus calcifié
    • IRM
      • Nidus en hyperT2, hypoT1, Pdc, œdème périlésionnel os et mou
      • Rehaussement du nidus artériel puis lavage (dynamique)
    • TTT
      • Résection percutané par forage guidage TDM
      • Destruction percutanée : laser, alcool, radiofréquence

 

Tumeurs os – Exostose / ecchondrome / ostéochondrome

Exostose / ecchondrome / ostéochondrome

  1. Terrain
    • Age < 20 ans
  2. Localisation
    • Os longs
    • A partir de la métaphyse cartilagineuse, puis migre vers diaphyse
  3. Analyse radiologique
  4. Divers
    • Lignée cartilagineuse
    • Tumeur osseuse bénigne la plus fréquente,
    • Risque de dégénérescence faible après 30 ans
    • Solitaire : exostose ostéogénique solitaire (ecchondrome)
      • Découverte fortuite ou compression, en période de croissance < 20 ans
    • Multiple : exostose ostéogénique multiple (maladie de Bessel-Hagen)
      • Héréditaire, autosomique dominante, avec autres anomalies de croissance
    • Excroissance pédiculée ou sessile
    • +/- coiffe cartilagineuse
    • +/- calcifiée
    • +/- graisse
    • Continuité corticale et spongieuse à plein canal
    • Scinti : fixe en période de croissance ou de dégénérescence
    • TDM : bilan préchirurgical
    • IRM : appréciation coiffe cartilagineuse
      • jusque 3 cm en phase de croissance
      • < 1 cm chez adulte
      • Pdc de la coiffe cartilagineuse
    • TTT : chirurgie si symptomatique ou doute, en fin de croissance
    • Risque : dégénérescence en chondrosarcome
      • Croissance rapide
      • Lacunes et lyse de la base
      • Irrégularité des calcifications
      • Coiffe cartilagineuse épaisse > 1 cm chez adulte, > 3 cm chez l’enfant

Tumeurs os – Kyste osseux essentiel

Kyste osseux essentiel

  1. Terrain
    • 90% < 20ans
    • 3H /1F
    • La plus fréquente des tumeurs bénignes de l’enfant
  2. Localisation
    • Centré
    • Métaphysaire
    • Os longs (humérus)
    • Calcaneum, aile iliaque
  3. Analyse radiologique
  4. Divers
    • Dystrophie osseuse
    • Asymptomatique sauf complication
    • Rempli de liquide
    • Ostéolyse régulière avec pôle inférieur en fond de coquetier
    • Parfois calcifications coraliformes ou mutiloculées
    • Possible saignements (dépôts)
    • Amincissement cortical mais pas d’apposition périostée
    • Evolution bénigne
    • Complication : fracture (signe du fragment tombé)
    • Peut être secondaire à une lésion sous-jacente
    • Caractère actif : contact avec métaphyse
    • Caractère inactif : migration vers diaphyse avec comblement
    • Surveillance par radio si non compliqué pour évolution
    • TTT
      • Possible curetage, greffe, injection corticoïde
    • DDx
      • Fibrome chondromixoïde (plus rare, type 1a, plus excentré, contenu tissulaire solide calcifié, 3/4 membre inférieur)
      • Kyste osseux anévrysmal (excentré, plus agressif, niveaux IRM)

Tumeurs os – Kyste osseux anévrysmal

Kyste osseux anévrysmal

  1. Terrain
    • < 25 ans
    • H = F
  2. Localisation
    • Membre inférieur
    • Ale iliaque
    • Arc postérieur rachis
    • Métaphysaire
    • Excentrée
  3. Analyse radiologique
  4. Divers
    • Dystrophie osseuse + sang
    • Secondaire dans 1/3 des cas (avec lésion bénigne/maligne)
    • Clinique
      • Asymptomatique
      • Syndrome tumoral
      • Fracture rare
      • Scoliose
    • Possible extension parties molles
    • Souffle la corticale
    • Logettes
    • Agressivité possible sur corticale avec appositions +/- éperon
    • IRM
      • Rehaussement possible des cloisons
      • Niveaux liquide-liquide (saignement), non spécifique
    • Scinti os
      • Hyperfixation avec zone centrale « froide »
    • TTT 
      • Curetage, greffe, résection complète, embolisation, sclérose

 

Tumeurs os – Tumeur à cellules géantes

Tumeur à cellules géantes

  1. Terrain
    • 20 – 40 ans
  2. Localisation
    • Excentrée
    • Métaphyse
    • Evolution métaphyso-épiphysaire
  3. Analyse radiologique
  4. Divers
    • Lignée cartilgineuse
    • 5-10% des tumeurs osseuses
    • Touches les membres
    • Tumeur bénigne à potentiel agressif
    • Après fermeture du cartilage de croissance
    • > 5 cm
    • Souffle la corticale
    • Trabéculations, soudure du cartilage dans la lésion
    • Pas d’ostéoformation
    • Pas de Ca++
    • Pas d’apposition
    • Très vascularisé
    • Expansion dans les parties molles
    • IRM possible niveaux liquide-liquide
    • Oedème péritumoral
    • Sur le rachis : corps vertébral

 

Tumeurs os – Chondrome / enchondrome

Chondrome

  1. Terrain
    • 20 – 40 ans
  2. Localisation
    • Métaphysaire (cartilage de croissance)
    • Extension métaphyso-diaphysaire
  3. Analyse radiologique
  4. Divers
    • Chondrome = enchondrome (centrale) ou juxtacortical (périphérique/périosté)
    • Lignée cartilagineuse
    • Tumeur bénigne à potentiel malin (surtout au niveau des ceintures
    • Enchondromatose : syndrome de Maffucci, maladie de Ollier (risque plus important de dégénérescence)
    • Signes d’atypie
      • Douleurs
      • Atteinte du squelette axial
      • Atteinte épiphysaire
      • Taille > 6 cm
      • Disparition des Ca++ (si suivi)
      • Erosion corticale
      • Réaction périostée
    • Rx
      • Taille < 5cm
      • Hyperclarté avec nombreuses calcifications
      • Respect corticales avec scalloping possible, sans encoche endostéale
    • TDM
      • Précision, bilan pré-opératoire
    • IRM
      • Matrice cartilagineuse
      • hypoT1, hyperT2, lobulée, septa hyposignal, Ca++ centrales (hypoT1, hypoT2)
      • Septa/ilôts résiduels de moelle jaune (en faveur béningnité)
      • Pdc périphérique et des septa
      • Scinti : hyperfixation modérée sauf si fracture pathologique
    • DDx
      1. Infarctus osseux (calcifications plus épaisses et plus périphériques et centre peu dense). Faire IRM
      2. Chondrosarcome de bas grade
        1. H, 50 ans, ceinture
        2. Douleur +++, masse palpable, taille > 6 cm
        3. Résorption : rareté/disparition Ca++ et ilôt graisseux
        4. Résorption endostéale profonde (2/3 épaisseur)+++
        5. Appositions périostées / envahissement de parties molles
        6. Extension diaphysaire medullaire
        7. Scinti : fixation plus importante de la crête iliaque antérieure
        8. Cinétique de réhaussement précoce, HS STIR périph)
    • TTT : exérèse en bloc ou surveillance rapprochée

 

Tumeurs os – Chondrosarcome conventionnel

Chondrosarcome

  1. Terrain
    • 35 – 45 ans
    • H > F
  2. Localisation
    • Ceintures (bassin, fémur proximal, humérus proximal)
    • Cartilage chondro-costal
    • Métaphyse avec extension diaphysaire
  3. Analyse radiologique
  4. Divers
    • Lignée cartilagineuse (90%)
    • 10 à 25% des tumeurs osseuses malignes
      • Primitif puor 90%
      • Secondaire : enchondrome (2 contingents) unique ou maladie Ollier/Maffuci, ecchondrome, Paget, post-radioT
    • Douleurs +++
    • Masse palpable
    • Souvent taille > 6 cm
    • Scinti : importante fixation > enchondrome
    • TDM : précisions sur l’extension
    • IRM : bilan d’extension
      • Envahissement parties molles
      • Hypersignal STIR périphérique
      • Cinétique de rehaussement précoce
    • Métastases pulmonaires
    • TTT : chirurgie
      • Absence efficacité chimiothérapie ou radiothérapie

Tumeurs os – Tumeur d’Ewing

Tumeur d’Ewing

  1. Terrain
    • 2ème tumeur osseuse maligne (après ostéosarcome) chez l’enfant
    • 90% [5 – 30 ans]
    • Rare avant 5 ans et après 25 ans
  2. Localisation
    • Ubiquitaire os longs et os plats
    • Diaphysaire +/- métaphysaire
    • Jamais épiphysaire
  3. Analyse radiologique
  4. Divers
    • Origine neuroectodermique
    • Métastases pulmonaires les plus fréquentes
    • Scinti : fixation
    • IRM : bilan d’extension
    • Facteurs de mauvais pronostic
      • Métastases au diagnostic (20%)
      • Volume tumoral > 200 ml
      • Réponse histologique à la chimiothérapie initiale
      • Localisation au bassin
    • TTT : polychimiothérapie, chirurgie, radiothérapie

 

Tumeurs os – Ostéosarcome

Ostéosarcome

  1. Terrain
    • H > F
    • 80% < 30 ans
  2. Localisation
    • Os long > os plats
    • Métaphysaire
    • Médullaire
    • Proche du genou
  3. Analyse radiologique
  4. Divers
    • Lignée ostéogénique
    • Scinti : fixation
    • IRM : bilan d’extension
    • TTT : chimiothérapie préchirurgicale
    • Bilan d’extension : 90% des métastases sont pulmonaires
    • Facteurs de mauvais pronostic
      • Absence de sensibilité de la chimio
      • Chirurgie non satisfaisante
      • Taille > 10 cm
      • Envahissement des structures adjacentes
      • « Skip metastases »

Tumeurs os – [sémio] Matrice tumorale

MATRICE TUMORALE

Matrice ostéo-formatrice

  • En verre dépoli
  • Nuageuse
  • Eburnante

 Tumeurs bénignes

Tumeurs malignes

Pseudo-tumeurs

Matrice cartilagineuse

Matrice cartilagineuse

Matrice cartilagineuse

  • Calcifications floconneuses
  • Calcifications arciformes
  • Calcifications annulaires
Tumeurs bénignes

Tumeurs malignes

 

Matrice graisseuse

  • Densité UH < 50
Tumeurs bénignes

Tumeurs malignes

Pseudo-tumeurs

Matrice fibreuse

  • Absence de matrice
Pseudo-tumeurs

   

Tumeurs os – [sémio] Ostéolyse (Lodwick)

CLASSIFICATION DE LODWICK des lésions ostéolytiques

Type 1 : OSTéOLYSE EN CARTE DE GéOGRAPHIE
Type 1a : ostéolyse géographique avec sclérose marginale

  • Kyste osseux essentiel
  • Lipome
  • Chondroblastome
  • Fibrome chondromyxoïde
  • Fibrome non ossifiant, cortical défect
  • Dysplasie fibreuse
  • Abcès de Brodie
  • Kyste anévrysmal
  • Kyste synovial
  • Ostéome ostéoïde
  • Ostéomyélite
  • Infarctus osseux
  • Tumeur à cellules géantes
  • Ostéoblastome
  • Adamantinome
  • Dysplasie fibreuse
Lodwick (2)
Type 1b : ostéolyse géographique sans sclérose marginale (lacune à l’emporte-pièce)

  • Myélome
  • Enchondrome
  • Granulome éosinophile
  • Métastases
  • Tumeur à cellules géantes
  • Lipome
  • Plasmocytome
  • Infarctus osseux
  • Dysplasie fibreuse
  • Tumeurs brunes de l’hyperparathyroïdie
  • Abcès de Brodie
  • Ostéomyélite
  • Kyste osseux essentiel
  • Kyste synovial
  • Fibrome non ossifiant, cortical défect
Lodwick (3)
Type 1c : ostéolyse géographique à contours mal définis

  • Sarcomes (ostéosarcome, chondrosarcome, fibrosarcome, angiosarcome, liposarcome)
  • Sarcome d’Ewing
  • Lymphome
  • Histiocytome fibreux malin
  • Ostéomyélite, abcès de Brodie
  • Métastases
  • Kyste anévrysmal
Lodwick (4)
Type 2 : OSTEOLYSE MITéE

Confluence de multiples lésions laculaires

  • Sarcomes (ostéosarcome, chondrosarcome, fibrosarcome, angiosarcome, liposarcome)
  • Sarcome d’Ewing
  • Lymphome
  • Histiocytome fibreux malin
  • Ostéomyélite
  • Métastases
Lodwick (5)
Type 3 : OSTEOLYSE PERMEATIVE

Multiples lésions (infra millimétriques) rompant la corticale

  • Sarcomes (ostéosarcome, chondrosarcome, fibrosarcome, angiosarcome, liposarcome)
  • Sarcome d’Ewing
  • Lymphome
  • Histiocytome fibreux malin
  • Ostéomyélite
  • Métastases
Lodwick

 

Tumeurs osseuses [algorithme]

Analyse sémiologique des tumeurs osseuses

1. Terrain

2. Localisation

  • Os longs / courts / plats
  • Squelette axial / rachis
  • Diaphyse / métaphyse / épiphyse
  • Central / périphérique

3. Analyse radiologique

  • Ostéolyse vs ostéocondensation
  • Nombre de lésions
    • Unique
    • Multiples
      • Enfant : métastases de neuroblastome, histiocytose X, hémopathie
      • Adulte : métastases, myélome
  • Matrice tumorale
  • Réaction périostée
    • Épaississement (bénin)
    • Lamellaire (agressif)
    • Spiculée (très agressif)
    • Éperon de Codman
  • Vitesse de croissance
  • Parties molles
    • Extension locale : IRM (tout l’os, 2 plans, champs large)
    • général: scinti os + scan thoracique
    • TEP et IRM corps entier à voir
    • Toujours penser qu’une infection est possible

 

Tumeurs osseuses : lyse / condensation vs âge

Age Lésion ostéolytique bien définie Lésion ostéolytique mal définie Lésion ostéocondensante
0-10
  • Granulome éosinophile
10-20
  • Granulome éosinophile
 20-40
  • Sarcome parosteal
> 40
  • Géode
  • Ilôt condensant
  • Métastase
  • Myélome
  • Métastase

 

Tumeurs osseuses : localisation vs âge

Age Diaphyse Métaphyse Épiphyse
< 30
> 30
  • Métastase
  • Myélome
  • Lymphome

 

Tumeurs osseuses : orientation par site anatomique

Humérus : tout, kyste osseux essentielBassin : ostéosarcome, chondrosarcome, kyste osseux essentiel, lymphome, Ewing, granulome éosinophile, chordome

Radius distal : tumeur à cellules géantes, granulome éosinophile

Genou : tout, ostéosarcome, Ewing

Tibia : fibrome non ossifiant, dysplasie fibreuse, ostéome ostéoïde

anatomie
Calcanéum : kyste osseux essentiel, Ewing, ostéoblastome, chondroblastome
Crane : granulome éosinophile, métas, myélomeCôtes : métas, enchondrome, chondrosarcome, Ewing

Rachis : métas, myélome, ostéoblastome, chordome, hémangiome, kyste osseux anévrismal, ostéome ostéoïde

Main : enchondrome

Fémur proximal : kyste osseux essentiel, dysplasie fibreuse, enchondrome, Ewing, granulome éosinophile

 

[IRM] Démence

IRM ENCÉPHALIQUE

CONTEXTE
Bilan de déclin cognitif.

TECHNIQUE
– Séquences axiales : diffusion, FLAIR, T2*
– Séquences 3D : T1-IR (en écho de gradient)

RÉSULTATS
Structures médianes en place.

Pas d’anomalie du signal FLAIR du parenchyme cérébral sus ou sous tentoriel.
Quelques hypersignaux FLAIR de la substance blanche péri-ventriculaire, non confluents, aspécifiques.
Fazekas modifié :  0

Pas d’anomalie de trophicité cérébrale.
Atrophie cortico-sous-corticale diffuse, homogène, modérée, sans prédominance lobaire.
Trophicité hippocampique :

  • Scheltens 0 à droite
  • Scheltens 0 à gauche

Pas de stigmates hémorragiques intra ou extra axiaux en pondération T2*.
Pas d’hypersignal de diffusion du parenchyme cérébral.
Pas d’hydrocéphalie.

CONCLUSION
Examen normal.

Pas de leucopathie vasculaire.
Pas d’atrophie cérébrale notable.

Iconographie mise à disposition sous forme de planche papier et conservée localement sur le PACS.

 

Démence & Imagerie du cerveau âgé

[TDM] Aorte Minf

ANGIOSCANNER DE L’AORTE ET DES MEMBRES INFERIEURS

INDICATION
Bilan

TECHNIQUE
Injection de produit de contraste iodé et acquisition au temps artériel sur l’aorte et les membres inférieurs.
DLP :  mGy.cm

RESULTATS
Injection de qualité satisfaisante jusqu’en distalité.

  • Aorte cœliaque : calibre normal et régulier ( mm), pas de variation anatomique du tronc cœliaque, pas de sténose ostiale.
  • Artère mésentérique supérieure : perméable, pas de sténose significative.
  • Artère rénale droite : perméable, pas de sténose significative.
  • Artère rénale gauche : perméable, pas de sténose significative.
  • Aorte sous rénale : calibre normal et régulier ( mm).
  • Artère mésentérique inférieure : visible, perméable, pas de sténose significative.

Axe ilio-fémoral droit,

  • Artère iliaque primitive : perméable, calibre à  mm.
  • Artère iliaque interne : perméable.
  • Artère iliaque externe : perméable, calibre à  mm.
  • Artère fémorale commune : perméable
  • Artère fémorale superficielle : perméable
  • Artère poplitée : perméable
  • Artère tibiale antérieure : perméable
  • Artère tibiale postérieure : perméable
  • Artère fibulaire : perméable

Axe ilio-fémoral gauche,

  • Artère iliaque primitive : perméable, calibre à  mm.
  • Artère iliaque interne : perméable.
  • Artère iliaque externe : perméable, calibre à  mm.
  • Artère fémorale commune : perméable
  • Artère fémorale superficielle : perméable
  • Artère poplitée : perméable
  • Artère tibiale antérieure : perméable
  • Artère tibiale postérieure : perméable
  • Artère fibulaire : perméable

Etage abdomino-pelvien,
Absence de lésion focale d’allure suspecte décelée.

CONCLUSION
Absence d’anomalie décelée.

[TDM] ORL thorax

SCANNER CERVICO-THORACIQUE

INDICATION
Bilan

TECHNIQUE
Injection biphasique de produit de contraste et acquisition sur la région cervicale.
Réalisation d’une manœuvre de Vasalva.
Réalisation d’une manœuvre de phonation.
Acquisition à l’étage thoracique.
DLP :   mGy.cm

RESULTATS
Etage cervical,
Absence de syndrome de masse de la filière pharyngo laryngée décelé.
Déplissement satisfaisant des sinus piriformes après manœuvre de Vasalva.
Absence d’adénopathie jugulo-carotidienne, sous angulo-maxillaire, pharyngée ou spinale décelée.
Espaces para-pharyngé, rétro-pharyngé et précervical libres.
Structures sinusiennes libres.
Absence de lésion osseuse évidente.
Pas d’anomalie notable de la thyroïde.

Etage thoracique,
Pas d’adénopathie axillaire ou médiastinale visible.
Pas d’épanchement pleuro-péricardique.
Pas d’anomalie de la paroi thoracique.
Pas d’anomalie des gros vaisseaux.
Quelques calcifications vasculaires.
Pas d’anomalie évidente du cadre osseux.
Sur les coupes passant par l’abdomen, absence d’anomalie notable.
Pas de foyer parenchymateux organisé ni nodule suspect visualisé.
Pas d’anomalie du calibre des bronches.

CONCLUSION
Absence d’anomalie décelée.

[TDM] Larynx

SCANNER DU LARYNX

INDICATION
Trouble de la déglutition
 
TECHNIQUE
Injection bi-phasique de produit de contraste iodé : 30 cc de produit de  contraste à 1 cc/s – imprégnation de 120 sec – 60 cc de produit de  contraste à 3 cc/s – acquisition en fin d’injection
Puis acquisition en respiration libre et après manœuvre de Vasalva sur la région cervicale.
Réalisation d’une manœuvre de phonation.
DLP :   mGy.cm
Pas de complication au décours immédiat.
 
RESULTATS
Absence de syndrome de masse de la filière pharyngo laryngée décelé.
Déplissement satisfaisant des sinus piriformes après manœuvre de Vasalva.
Absence d’adénopathie jugulo-carotidienne, sous angulo-maxillaire, pharyngée ou spinale décelée.
Espaces para-pharyngé, rétro-pharyngé et précervical libres.
Structures sinusiennes libres.
Respect de la loge HTE
Absence de lésion osseuse évidente.
Pas d’anomalie notable de la thyroïde.
Axes jugulo-carotidiens perméables.
 
CONCLUSION
Absence d’anomalie significative décelée
 

Anatomie – Larynx

Anatomie – Pharyngo larynx

TNM – Larynx

Anatomie – Aires ganglionnaires cervicales

https://www.pinkybone.com/anatomie-regions-cervicales/

Anatomie – Régions lymphatiques cervicales

Calcul de la clairance de la créatinine

Calcul de la clairance de la créatinine selon Cockroft & Gault (< 65 ans)
Calcul de la clairance de la créatinine selon MDRD (> 65 ans)

Cet outil de calcul de la clairance de la créatinine est proposé à titre indicatif.
Il s’adresse aux professionnels de santé formés.
Le site www.pinkybone.com ne peut être tenu pour responsable en cas de conséquences indésirables.

Résultats du calcul de la Clairance de la créatinine

[0 – 30] mL/min
Insuffisance rénale sévère

⇒ pas d’injection sauf nécessité absolue et avis spécialisé
[30-60] mL/minInsuffisance rénale modérée

⇒ chercher alternative à l’injection
[60-80] mL/min
Insuffisance rénale légère

⇒ a priori pas de risquede néphropathie induite
> 80 mL/min
Normale

⇒ A PRIORI PAS DE RISQUEDE NÉPHROPATHIE INDUITE

 

Formules du calcul de la clairance de la créatinine

Calcul de la clairance de la créatinine selon Cockroft et Gault

  • Chez l’homme =  \frac{1,23 \cdot Poids \cdot (140-age)}{creatinine}
  • Chez la femme =  \frac{1,04 \cdot Poids \cdot (140-age)}{creatinine}

Calcul de la clairance de la créatininee selon MDRD

MDRD = Modification of Diet in Renal Disease

  • Chez l’homme = 186 x (créatinine (µmoles/L) x 0,0113)-1,154 x âge– 0,203
    • x 1,21 pour les patients à peau noire
    • x 0,742 pour les femmes

 

Facteurs de risque de néphropathie induite à l’injection de produit de contraste iodé

  • Insuffisance rénale pré-existante
  • Diabète avec insuffisance rénale
  • Hypoperfusion rénale
  • Prise de médicaments néphrotoxiques ou modifiant la fonction rénale
  • Myélome avec protéinurie
  • Injection de produit de contraste iodé dans les 72 heures précédentes
  • Age supérieur à 65 ans

Si présents
⇒ dosage de la créatininémie < 3 mois et renouveler 2-3 jours après l’injection de produit de contraste iodé
⇒ arrêt metformine 48 heures après l’injection de produit de contraste iodé
⇒ hydratation +++ (2 Litres / 24h avant et après injection de produit de contrast iodé)
⇒ intervalle de 3-5 jours avec nouvelle injection de produit de contraste iodé
⇒ en cas de doute, avis spécialisé (néphrologue)

Fiche Rein de la SFR

[Rx] Genoux

RADIOGRAPHIE DES GENOUX

INDICATION
Bilan radiologique.

RESULTATS
Pas d’anomalie de la minéralisation osseuse.
Respect des interlignes articulaires fémoro-tibiaux interne et externe.
Pas de lésion ostéolytique ou ostéocondensant suspecte visible.
Pas de calcification pathologique des parties molles.
Patella en place sur le cliché de profil.
Pas de volumineux épanchement visualisé.

CONCLUSION
Absence d’anomalie décelée

[Rx] Rachis lombaire

RADIOGRAPHIES DU RACHIS LOMBAIRE

INDICATION
Bilan

RESULTATS
Pas d’anomalie de la minéralisation osseuse.
Pas d’anomalie de la statique rachidienne sur cet examen réalisé en charge.
Respect de la hauteur des corps vertébraux et des espaces intersomatiques.
Pas d’arthrose interapophysaire postérieure évidente.
Pas de calcification des parties molles d’allure pathologique.
Pas de recul du mur postérieur.
Pas d’anisocorie pédiculaire.
Respect des interlignes articulaires sacro-iliaques.

CONCLUSION
Pas d’anomalie décelée.

[TDM] TAP crane

SCANNER CEREBRAL ET THORACO-ABDOMINO-PELVIEN

INDICATION
Bilan

TECHNIQUE
Hélice abdominale sans injection de produit de contraste.
Injection de produit de contraste et acquisition sur le thorax, l’abdomen et le pelvis.
Acquisition tardive sur l’encéphale.
DLP :  mGy.cm

Examen comparé à celui réalisé le
Pas d’imagerie de référence disponible

RESULTATS
Étage encéphalique
Absence de prise de contraste pathologique décelée.
Pas d’hydrocéphalie
Structures veineuses perméables

Étage thoracique
En filtre médiastinal,
Pas d’adénopathie axillaire ou médiastinale visible.
Pas d’épanchement pleuro-péricardique.
Pas d’anomalie de la paroi thoracique.
Pas d’anomalie des gros vaisseaux.
Quelques calcifications vasculaires.
Pas d’anomalie évidente du cadre osseux.
Sur les coupes passant par l’abdomen, absence d’anomalie notable.

En filtre parenchymateux,
Pas de foyer parenchymateux organisé ni nodule suspect visualisé.
Pas d’anomalie du calibre des bronches.

Etage abdomino-pelvien
Foie de taille et de morphologie normale. Pas de dilatation des voies biliaires intra et extra hépatiques. Pas de lésion focale suspecte décelée.
Pancréas homogène sans dilation du Wirsung.
Rate homogène, de taille normale sans lésion focale décelée.
Surrénales fines.
Deux reins en position normale, sans lésion focale suspecte décelée. Pas de dilatation des voies urinaires.
Pas d’adénopathie coelio-mésentérique, para-lombo-aortique ou iliaque décelée.
Pas d’épanchement péritonéal.
Pas de densification pathologique de la graisse péritonéale.
Pas de distension des anses digestives.

CONCLUSION
Absence d’anomalie décelée.

[TDM] Cœur

SCANNER CARDIAQUE

INDICATION
Test d’effort d’ischémie non réalisable, douteux ou non interprétable

TECHNIQUE

  • Bêtabloquants si FC > 65/min
    • Athenolol (Tenormine®) si pas de contre-indication (insuffisance cardiaque, BAV, asthme…)
      • Soit 50 mg PO, 1h avant examen
      • Soit 5 mg IVL juste avant examen

Acquisition hélicoïdale multiphasique rétrospective centrée sur le cœur et la crosse aortique avec synchronisation cardiaque après injection de produit de contraste iodé.
Bonne tolérance au décours immédiat de l’examen.
DLP  :        mGy.cm

RESULTATS
Injection de qualité optimale / satisfaisante / sous optimale / médiocre
Synchronisation de qualité optimale / satisfaisante / sous optimale / médiocre

Score calcique d’Agatston :
Fréquence cardiaque lors de l’acquisition :    bpm
Volume télédiatolique :     ml
Volume télésystolique :     ml
Fraction d’éjection ventriculaire gauche :    %
Absence de thrombus auriculaire décelé
Analyse coronaire :

  • Réseau droit / gauche dominant
  • A. Coronaire droite :
  • A. Coronaire gauche :
  • A. Circonflexe :
  • A. Interventriculaire antérieure :

Crosse aortique :
Pas d’épanchement pleuro-péricardique significatif.
Absence d’anomalie parenchymateuse pulmonaire décelée dans les limites du champs d’exploration.

CONCLUSION
FEVG :

Matériel IRM compatible

Cette fiche est proposée à titre indicatif.IRM
Elle s’adresse aux professionnels de santé formés.
Le site www.pinkybone.com ne peut être tenu pour responsable en cas de conséquences indésirables.

⇒Liste des dispositifs implantables compatibles (ou non) avec l’IRM

 

Contre-indications absolues

  • Pacemaker
  • Défibrillateur cardiaque implantable
  • Sondes urinaires thermiques

 

Contre-indications absolues à discuter si pronostic vital engagé

  • Possibilité de réalisation de l’examen sous conditions très strictes (constructeur prévenu, utilisation d’une bird cage, etc) :
    • Neurostimulateurs
    • Implants cochléraires
    • Pompes à insuline
    • Clips vasculaires ferromagnétiques intra cérébraux
    • Corps étranger metallque intra-oculaire, du système nerveux ou du système vasculaire

 

Contre-indications relatives

  • < 3 mois de grossesse (principe de précaution)
  • Claustrophobie
  • Implant métallique s
    • En fonction du métal et de la zone d’implant
    • Non ferromagnétique : post-op immédiat
    • Peu ferromagnétique (filtres, coils, stents) : délai de 6 semaines
  • Éclats métalliques
    • En fonction du métal et de la zone d’implant

 

En cas de doute

 

Cas des valves de dérivation ventriculaire

  • Informer le chirurgien avant l’examen pour régler la valve à la sortie de l’IRM

[TDM] TAP portal

SCANNER THORACO-ABDOMINO-PELVIEN

INDICATION
Bilan

TECHNIQUE
Injection de produit de contraste iodé et acquisition au temps portal sur le thorax, l’abdomen et le pelvis.
DLP :  mGy.cm

RESULTATS
A l’étage thoracique :
En filtre médiastinal,
Pas d’adénopathie axillaire ou médiastinale.
Pas d’épanchement pleuro-péricardique significatif.
Pas d’anomalie de la paroi thoracique.
Pas d’anomalie des gros vaisseaux ou des cavités cardiaques.
Pas de lésion ostéolytique ou ostéocondensante suspecte visualisée.

En filtre pulmonaire,
Pas de foyer parenchymateux organisé si nodule suspect visualisé.
Pas d’anomalie du calibre des bronches.

A l’étage abdomino-pelvien :
Pas de lésion focale suspecte visualisée sur le foie, les deux reins, le pancréas, la rate et les deux surrénales.
Pas d’épanchement péritonéal liquidien ou gazeux.
Pas d’adénopathie coelio-mésentérique, para lombo-aortique ou iliaque décelée.
Pas de densification pathologique de la graisse péritonéale.
Les orifices herniaires sont libres.
Pas de distension des anses digestives.
Pas de lésion ostéolytique ou ostéo-condensante suspecte.

CONCLUSION
Absence d’anomalie décelée.

Iconographie mise à disposition sous forme de planche papier et conservée localement sur le PACS.

[Rx] Rachis cervical

RADIOGRAPHIES DU RACHIS CERVICAL

INDICATION
Bilan

TECHNIQUE
Face, profil, bouche ouverte, 3/4

RESULTATS
Pas d’anomalie de la minéralisation osseuse.
Pas d’anomalie de la statique sur cet examen réalisé en charge.
Respect de la ligne spino-lamellaire.
Respect de la hauteur des corps vertébraux et des espaces inter-somatiques.
Foramens de conjugaison libres.
Bonne congruence des massifs articulaires.
Intégrité de l’odontoïde.
Pas de calcification des parties molles d’allure pathologique.

CONCLUSION
Absence d’anomalie décelée.

[Rx] Bassin

RADIOGRAPHIES DU BASSIN

INDICATION
Bilan radiologique.

RÉSULTATS
Bassin,
Respect des articulations sacro-iliaques.
Intégrité des cadres obturateurs.
Respect des articulations coxo-fémorales.
Pas de lésion lytique ou condensante suspecte décelée.
Pas de calcification des parties molles.

A droite,
A gauche,
Pincement de l’interligne articulaire coxo-fémoral supéro-latéral de face (normale 4,2 mm homme, 3,9 mm femme)
Pincement interligne coxo-fémoral antéro-supérieur de profil
Ostéophhytose péri acétabulaire
Ostéocondensation sous chondrale prédominant sur l’acétabulum
Géodes sous chondrales
Epaississement de la corticale inférieure du col fémoral (très spécifique)

CONLCUSION
Pas d’anomalie osseuse décelée.
Coxarthrose stade 0 selon Kellgren et Lawrence
Coxarthrose stade 1 selon Kellgren et Lawrence : pincement articulaire, ostéophytose péricapitale douteuse
Coxarthrose stade 2 selon Kellgren et Lawrence : pincement articulaire, ostéophytose, sclérose osseuse modérée
Coxarthrose stade 3  selon Kellgren et Lawrence : pincement articulaire net avec discrète ostéophytose, sclérose osseuse avec kyste, déformation de la tête fémorale et de l’acétabulum inime
Coxarthrose stade 4 selon Kellgren et Lawrence : disparition de l’espace articulaire avec sclérose osseuse et kyste, importante déformation de la tête fémorale et de l’acétabulum, avec ostéophytose majeure.

[TDM] Rachis cervical

SCANNER DU RACHIS CERVICAL

INDICATION
Bilan

TECHNIQUE
Sans injection de produit de contraste.
DLP :  mGy.cm

RESULTATS
Pas d’anomalie de la statique rachidienne sur cet examen réalisé en décubitus dorsal.
Respect de hauteur des corps vertébraux.
Respect de la ligne spino-lamellaire.
Bonne congruence des massifs articulaires.
? Ostéophytose antérieure modérée étagée.
Pas de lésion ostéolytique ou ostéocondensante suspecte.
Pas d’arthrose inter-apophysaire postérieure.
Les foramens de conjugaison sont libres.
Pas d’anomalie de trophicité musculaire.
Calcifications carotidiennes et vertébrales bilatérales.

CONCLUSION
Cervicarthrose très modérée sans conflit radiculaire décelé.
Absence d’anomalie décelée

[TDM] TSA (court)

ANGIOSCANNER DES TRONCS SUPRA-AORTIQUES

INDICATION
Recherche de sténose des vaisseaux du cou.

TECHNIQUE
Injection de produit de contraste iodé et acquisition au temps artériel sur les troncs supra-aortiques

RÉSULTATS
– Crosse de l’aorte : absence de variation anatomique notable. Pas de calcification de la paroi.
– TABC : calibre normal et régulier. Pas d’anomalie ostiale. Pas d’anomalie de paroi.
– Artère sous-clavière droite : calibre normal et régulier. Pas d’anomalie ostiale. Pas
d’anomalie de paroi.
– Artère sous-clavière gauche : calibre normal et régulier. Pas d’anomalie ostiale.
Pas d’anomalie de paroi.
– Artère carotide droite : pas d’anomalie ostiale. Pas de sténose bulbaire ou sus bulbaire.
– Artère carotide gauche : pas d’anomalie ostiale. Pas de sténose bulbaire ou sus bulbaire.
– Artère vertébrale droite : calibre normal et régulier. Pas d’anomalie ostiale.
– Artère vertébrale gauche : calibre normal et régulier. Pas d’anomalie ostiale.

CONCLUSION
Pas de sténose significative des vaisseaux à destinée cervico-encéphalique

Reconstructions curvillignes mises à disposition sous forme de planches et sur le PACS.


 

Fiches connexes

Sténose carotidienne

Anatomie – Vasculaire

[TDM] TSA (long)

ANGIOSCANNER DES TRONCS SUPRA-AORTIQUES

INDICATION
Bilan.

TECHNIQUE
Injection de produit de contraste iodé et acquisition au temps artériel sur les troncs supra-aortiques.
DLP :        mGy.cm.

RESULTATS
Injection de qualité satisfaisante.

Imprégnation athéromateuse calcifiée diffuse.

Etage thoracique,
– Crosse de l’aorte : absence de variation anatomique notable. Pas de calcification de la paroi.
– TABC : calibre normal et régulier. Pas d’anomalie ostiale. Pas d’anomalie de paroi.

Etage cervical droit,
Artère sous-clavière : calibre normal et régulier. Pas d’anomalie ostiale. Pas d’anomalie de paroi.
Artère carotide primitive : calibre normal et régulier. Pas d’anomalie ostiale. Pas d’anomalie de paroi.
Bulbe carotidien : calibre normal et régulier. Pas d’anomalie ostiale. Pas d’anomalie de paroi, pas de sténose significative.
Carotide interne extra-crânienne : calibre normal et régulier. Pas d’anomalie ostiale. Pas d’anomalie de paroi, pas de sténose significative.
Carotide interne intra-pétreuse : calibre normal et régulier. Pas d’anomalie de paroi.
Carotide interne intra-caverneuse et supra-clinoïdienne : calibre normal et régulier. Pas d’anomalie de paroi.
Artère vertébrale : calibre normal et régulier. Pas d’anomalie ostiale. Pas d’anomalie de paroi. Terminaison en artère basilaire.

Etage cervical gauche,
Artère sous-clavière : calibre normal et régulier. Pas d’anomalie ostiale. Pas d’anomalie de paroi.
Artère carotide primitive : calibre normal et régulier. Pas d’anomalie ostiale. Pas d’anomalie de paroi.
Bulbe carotidien : calibre normal et régulier. Pas d’anomalie ostiale. Pas d’anomalie de paroi, pas de sténose significative.
Carotide interne extra-crânienne : calibre normal et régulier. Pas d’anomalie ostiale. Pas d’anomalie de paroi, pas de sténose significative.
Carotide interne intra-pétreuse : calibre normal et régulier. Pas d’anomalie de paroi.
Carotide interne intra-caverneuse et supra-clinoïdienne : calibre normal et régulier. Pas d’anomalie de paroi.
Artère vertébrale : calibre normal et régulier. Pas d’anomalie ostiale. Pas d’anomalie de paroi. Terminaison en artère basilaire.

 

Etage intra-cranien,
Polygone de Willis : pas de sténose intra crânienne. Pas d’image ectasiante évidente.

CONCLUSION
Pas de sténose significative.
Imprégnation athéromateuse par ailleurs modérée.

Reconstructions curvilignes mises à disposition sur le PACS.


 

Fiches connexes

Sténose carotidienne

Anatomie – Vasculaire

Masses cervicales kystiques

Diagnostics à évoquer devant une masse cervicale kystique

Lésions congénitales

Médiane

  • Kyste du tractus thyréoglosse (KTT)
  • Kyste dermoïde et épidermoïde (orbite, plancher buccal, nez)

Latérocervicale

  • Kystes branchiaux
    • 1er arc : parotide
      • Orifice dans le triangle de Poncet (conduit auditif externe / bord basilaire de la mandibule / os hyoïde)
    • 2ème arc +++ : amygdales, SCM
      • Type 1 : en avant du SCM
      • Type 2 : le plus fréquent, en avant et en dehors des gros vaisseaux
      • Type 3 : entre carotide interne et carotide externe
      • Type 4 : le long de la paroi pharyngée latérale
    • 3ème / 4ème arc : abcès basicervical gauche au contact du pôle supérieur de la thyroïde +/- fistule dans le sinus piriforme
  • Lymphangiome kystique, malformations veineuses
  • Kyste thymique
  • Kyste bronchogénique cervical
  • Ranula (mucocèles salivaires du plancher buccal)
 

 

 

Causes néoplasiques

  • Adénopathies +++
  • Tumeurs nécrotiques ou kystiques (schwannome)

 

 

 

 

Causes inflammatoires, infectieuses

  • Tuberculose
  • Adénite suppurée
  • Abcès, cellulite
  • Kystes mucosalivaires rétentionnels
  • Diverticules pharyngolaryngés (Zencker)

 

Kystes glandulaires

Parotide / Thyroïde

Tumeurs des glandes salivaires

IRM : protocole d’exploration des tumeurs des glandes salivaires

  • Axiale T1 et T2 SANS FAT SAT (avec FAT SAT si post opératoire)
  • Axiale T2 ganglions cervicaux si tumeur maligne
  • Axiale diffusion b0 b1000
  • Dynamique axiale après injection de gadolinium, 40 phases, 2-3 s entre chaque phase
  • Axiale et coronale T1 gado FAT SAT
  • Reconstructions perfusion : ROI sur la lésion uniquement en zone tissulaire (en hT2), en dehors hémorragie ou kyste
  • Reconstructions diffusion: ROI sur la portion tissulaire en dehors hémorragie, calculer un rapport avec parotide controlatérale
  • Localisation : veine rétro-mandibulaire : en dehors: superficiel, en dedans : profond

Pathologies des glandes salivaires

  • Pathologie glande submandibulaire : lithiasique le plus souvent, si tumoral plutôt malin
  • Pathologie glande parotide : tumorale le plus souvent
    • 80% tumeur bénigne dominé par l’adénome pléomorphe (3/4 des tumeurs)
    • 10-15% tumeur maligne dominé par le carcinome muco-épidermoïde

DÉMARCHE diagnostique devant une tumeur des glandes salivaires

  1. Eliminer kyste, lipome, hémangiome
    1. Hémangiome : plutôt chez l’enfant
      1. Enfant : unilatéral non douloureux, augmente de V puis régresse spontanément
      2. Adulte : augmente de taille et ne disparait pas
      3. IRM : Lobulée, hT1, HT2, «flow void», Ca2+ phlébolithes (TDM), Pdc intense hétérogène
    2. Kyste : (branchial 1er arc, dermoïde, lymphoépithélial/VIH, tumeur de Whartin kystique, Cf. Masses cervicales kystiques)
      • Signal variable en T1, HT2, pas de prise de contraste (sauf CAL kystique)
    3. Lipome : localisation superficielle le plus souvent
      • HT1 et HT2, signal disparait en saturation de graisse
  2. Approche diagnostique : analyse morphologique puis fonctionnelle
BENIN [80%] MALIN [20%]
Contours Bien limités Mal limités
Signal hyperT2 liquidien hypoT2
Nécrose centrale +
Capsule périphérique hypoT2 +
le plus souvent adénome pléiomorphe)
Envahissement de voisinage Infiltration de la graisse
Adénopathie +
Infiltration périneurale +
ADC relatif élevé (>1.3) sauf CAL bas ( < 1.0)

ALGORITHME DIAGNOSTIQUE

parotide

Courbes de perfusion des tumeurs des glandes salivaires

Type A : Plateau ascendant
Adénome pléomorphe cellulaire ou non
 typeA
Type B : Prise de contraste rapide et wash-out > 30%
Tumeur de Warthin
 TypeB
Type C : Prise de contraste rapide avec plateau ou wash-out < 30 %
Courbe aspécifique
 TypeC

Synthèse sur les tumeurs des glandes salivaires

Histologie Clinique IRM
Adénome pléomorphe
(3/4 des tumeurs parotide)
  • Contours polylobés
  • h/isoT1, HT2 liquidien
  • Capsule périph hT2
  • rADC élevé > 1,0
  • Perf : plateau ascendant
Tumeur de Warthin
(Anciennement cystadénolymphome)
  • Homme 45-60 ans
  • Tabac +++
  • Pole inférieur le + souvent
  • 15% : multiple et bilatéral
  • Dégénérescence rare
  • Pole inférieur
  • hT1, hT2
  • Possible portion kystique
  • Possible hyperT1
  • Possible multiples  et bilat
  • Perf : pdc rapide et wash out important > 30%
  • rADC < 1,0
Tumeur maligne :

  • Carcinomes
  • Lymphome (gg parotidien)
  • Métastase
  • Paralysie faciale possible (VII) ou atteinte V3
  • Contours flous
  • hT2
  • rADC < 1,0 (< 0,5 penser lymphome)
  • Perf : pdc rapide et wash out faible < 30%
  • Envahissement adjacent
  • Infiltration péri-neurale
  • Nécrose centrale
  • Adénopathies nécrotiques

Diagnostics différentiels

Syndrome de Gougerot-Sjögren (syndrome sec)

Ganglion intra parotidien

Indice de Haller

Indice de Haller

Le pectus excavatum est défini par un indice de Haller (a/b) > 3,25

 

 

TNM – Larynx

Larynx édition 2005

N0 Aucune adénopathie
T1
  • Sus-glottique : envahissement limité, mobilité normale des cordes vocales
  • Glottique : envahissement limité aux cordes vocales et/ou comissure antérieure et/ou comissure postérieure
    • T1a : une corde vocale
    • T1b : deux cordes vocales
  • Sous-glottique : envahissement limité, mobilité laryngée normale
N1 Adénopathies
N2 
T2
  • Sus-glottique : envahissement de la muqueuse (+/- muqueuse de la base langue +/- vallécule +/- paroi interne du sinus piriforme)
  • Glottique : envahissement des régions sus ou sous glottiques et/ou diminution de mobilité glottique
  • Sous-glottique : envahissement des cordes vocales, mobilité normale ou diminuée
 N3
T3 Envahissement limité au larynx avec fixité glottique +/- envahissement de la régio rétro cricoïdienne +/- envahissement de la loge HTE (hyo-thyro-épiglottique) +/- envahissement de l’espace para-glottique +/- érosion du cartilage thyroïde
T4
  • T4a : envahissement du cartilage thyroïde +/- envahissement des structures extra-laryngées (trachée, tissus mous, muscles, thyroïde, oesophage)
  • T4b : envahissement de l’espace pré-vertébral +/- envahissement médiatin +/- envahissement carotide
M Métastase

Source : TNM UICC

Cancer supraglottique Source : http://www.palli-science.com/imageries-cou-orl

Cancer supraglottique
Source : http://www.palli-science.com/imageries-cou-orl

Cancer de la corde vocale Source : http://www.palli-science.com/imageries-cou-orl

Cancer de la corde vocale
Source : http://www.palli-science.com/imageries-cou-orl

Hypertension intracranienne idiopathique

Sémiologie de l’hypertension intracranienne idiopathique

  • Femme jeune
  • Obèse
  • Céphalées chroniques
  • Éventuellement baisse de l’acuité visuelle (signe de gravité)
  • IRM
    1. Pseudo selle turcique vide
    2. Élargissement de la gaine des nerfs optiques
    3. Nerfs tortueux
    4. Bombement des papilles optiques
  • Rechercher :
    • Sténose d’un sinus veineux
    • Ptose des amygdales cérébelleuses
    • Thrombose veineuse
    • Fistule durale

 

Exemple d’Hypertension intracranienne idiopathique




 

Hypotension intracranienne

Sémiologie de l’hypotension intracranienne

  1. Ptose cérébrale
    • Descente des amygdales cerebelleuses
    • Effacement de la citerne pré pontique et de la citer opto-chiasmatique
  2. Hypophyse bombante
  3. Rehaussement pachyméningé diffus
    • Respect des lepto-méninges
  4. Bombement des structures veineuses
  5. Ventricules fins
  6. Collections liquidiennes sous durales (souvent bilatérales)
  7. Complications
    • Thrombose veineuse cérébrale
  8. Étiologies
    • Post ponction lombaire
    • post chirurgical
    • Brèche ostéo durale

 

 

Céphalée [algorithme]

Lors d’une céphalée, toujours penser à regarder (en plus du reste…)

  • Sinus
  • Nerfs optiques
  • Sinus veineux
  • Hypophyse
  • Charnière cervico-occipitale

Cf. compte rendu type d’IRM

Clinique Diagnostic Imagerie
Céphalée brutale en « coup de tonnerre » +/- coma

HÉMORRAGIE MÉNINGÉE par rupture d’ANÉVRISME

  • Scanner + angioscanner cérébral
Céphalée + grossesse / femme jeune tabagique sous pilule

THROMBOSE VEINEUSE CÉRÉBRALE

  • IRM (FLAIR, T1,  T2*, diffusion,  coroT2, angio-veineuse dynamique, 3DT1 Gd+)
  • Sinon scanner sans puis après injection de produit de contraste
Céphalée brutale + HTIC + déficit neurologique focal

HÉMATOME INTRA-PARENCHYMATEUX

  • Scanner +/- angioscanner cérébral
  • IRM (FLAIR, T1,  T2*, diffusion, 3DTOF)
Céphalée + cervicalgies +/- déficit neurologique

Dissection des troncs supra-aortiques

  • IRM (FLAIR, T1,  T2*, diffusion, 3DTOF, axT1 FS, angio-artérielle dynamique, 3DT1 Gd+)
  • Scanner + angioscanner cérébral et TSA
Céphalée chroniques + HTIC

Processus occupant l’espace (POE)

  •  IRM (FLAIR, T1,  T2*, diffusion,  3DT1 Gd+)
  • Sinon scanner sans puis après injection de produit de contraste
Céphalée + fièvre /confusion Méningite / méningo-encéphalite
  • IRM (FLAIR, T1,  T2*, diffusion,  3DT1 Gd+)
  • Sinon scanner sans puis après injection de produit de contraste
  • Scanner avant PL uniquement si :
    • Troubles de vigilance (Glasgow ≤ 11)
    • Crises d’épilepsie récentes ou en cours, focales ou généralisées, après l’age de 5
      ans, seulement si hémimicorporelles avant
      cet age.
    • Signes de localisation neurologiques
Céphalée + fièvre + HTIC Abcès
  • IRM (FLAIR T1  T2* diffusion Gd+)
  • Sinon scanner sans puis après injection de produit de contraste
Céphalée chroniques plutôt positionnelles Malformation de type chiari
  • IRM avec sagittal T2
Céphalée chroniques plutôt positionnelles HYPERTENSION INTRA CRANIENNE IDIOPATHIQUE
  • IRM avec coronal T2 sur les nerfs optiques
Céphalée + hémianopsie bitemporale + HTIC

PROCESSUS OCCUPANT L’ESPACE (POE) SUPRASELLAIRE

  • IRM (FLAIR, sag T1, coroT2, diffusion,  3DT1 Gd+)
Céphalée dans les suites d’une ponction lombaire

HYPOTENSION INTRA CRANIENNE

  • IRM avec 3DT1 Gd+
Céphalée + HTA +/- HLH

Encéphalopathie hypertensice aigue (PRES)

  • IRM (FLAIR, T1,  T2*, diffusion, 3DTOF)
Céphalée brutales répétées paroxystiques

SYNDROME DE VASOCONSTRICTION RÉVERSIBLE

  • IRM (FLAIR, T1,  T2*, diffusion, 3DTOF)
  • Scanner + angioscanner cérébral
Céphalée + traumatisme cranien

TRAUMA CRANIEN

  • Scanner cérébral avec filtre osseux
Céphalée à type de douleur du scalp postérieur

Névralgie d’Arnold

  • IRM du rachis cervical
  • Scanner du rachis cervical
Céphalée frontale majorée au procubitus

SINUSITE

  • Scanner cérébral et des sinus sans injection
Céphalée chronique + amaigrissement

Maladie de Horton

  • Pas d’imagerie
Douleur d’une hémiface + larmoiement

Algie vasculaire de la face

  • Si doute diagnostique
Douleur dans le territoire du trijumeau

Névralgie du trijumeau

  • IRM si doute sur secondaire
    • >50 ans
    • gachette=0
    • hypoesthésie

Traumato – Le Fort

Classification des fractures disjonction du massif facial selon Le fort

Le Fort I

Disjonction entre le palais osseux et le reste du massif facial

  • Trait passant au dessus de l’apex des dents
  • Trait passant au dessus de l’épine nasale
  • Trait passant au dessous des cornets inférieurs
  • Ne touche pas ou peu les apophyses ptérygoïdes (1/3 inférieur)
  • Intégrité des zygomatiques et des parois orbitaires
 LeFort1dLeFort1a

Le Fort II

Disjonction entre la face antérieure et le reste du massif facial

  • Trait passant par le complexe naso orbitaire (pyramide nasale)
  • Trait de fracture passant par le rebord inférieur du cadre orbitaire
  • Trait passant pas le massif ethmoïdal
  • Trait passant par le rebord orbitaire inférieur (plancher de l’orbite)
  • Trait passant par le maxillaire
  • Trait passant par le 1/3 moyen des apophyses ptérygoïdes
  • Intégrité des zygomatiques
 LeFort2bLeFort2a

Le Fort III

Disjonction de tout le massif facial

  • Trait passant par le complexe naso orbitaire (pyramide nasale)
  • Trait passant pas le zygomatique
  • Trait passant pas les petites et grandes ailes du sphénoïde
  • Trait passant par le labyrinthe ethmoïdal
  • Trait passant par les parois latérales des cadres orbitaires
  • Trait passant par le 1/3 supérieur des apophyses ptérygoïdes
LeFort3b LeFort3a

Otospongiose

Classification de Veillon de l’otospongiose

Type 0
  • Pas d’anomalie
Type 1
  • 1A : Platine épaissie (> 0,6 mm) et hypodense
  • 1B : Hypodensité de la fissula ante fenestram (pré stapédienne)
    ≤ 1 mm, sans extension labyrinthique moyenne antérieure
Type 2
  • Hypodensité de la fissula  ante fenestram (pré stapédienne)
    > 1 mm, sans contact avec la cochlée
Type 3
  • Hypodensité de la fissula  ante fenestram (pré stapédienne)
    > 1 mm, avec contact avec la cochlée
Type 4
  • 4A : Hypodensités péri-cochléaires
  • 4B : Hypodensités labyrinthiques postérieures (canaux semi-circulaires ou vestibule)

 

Otospongiose

Otospongiose