Chiari

Grades des malformations d’Arnold Chiari

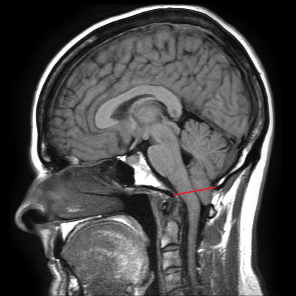
  • Grade I
    • Hernie des tonsilles cérébelleux à travers le foramen magnum de plus de 5 mm sous la ligne de McRae
    • V4 reste en place
    • Chercher cavité syringomyélique associée
    • Impression basilaire si odontoïde remonte au dessus au dessus de la ligne de McRae
  • Grade II
    • Ptose du vermis inférieur
    • Ptose du pont
    • Ptose de la moëlle allongée
    • Association avec une méningocèle
  • Grade III
    • Rare
    • Hernie du cervelet dans une spina bifida occipitale
  • Grade IV
    • Généralement non viable
    • Hypoplasie du cervelet
    • Ectopie de la möelle allongée

Ligne de McRae : du bord inférieur du clivus au bord inférieur de l’écaille occipitale

Liens

Laisser un commentaire