Tumeurs du pancréas – Kystes

Résumé des principales tumeurs kystiques du pancréas

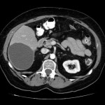
kyste pancreas

 

Algorithme diagnostique devant une tumeur kystique du pancréas

kystes pancreas 2

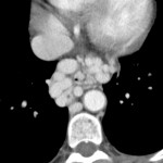
TIPMP (tumeur intracanalaire papillaire et mucineuse du pancréas)

  •  60-65 ans
  • Diagnostic par mise en évidence d’une communication entre le kyste et le canal pancréatique principal
  • Hyperplasie de l’épithélium du canal pancréatique entrainant sécrétion mucine
  • Atteinte tête > corps et queue
  • Dilatation régulière du canal pancréatique principal > 3mm (sécrétion mucus)
    • Complète ou focale, sans sténose
  • Dilatation d’aval + importante par sécrétion de mucus dans le sens de l’écoulement (différent du mécanisme d’obstruction)
  • Eliminer une lésion tumorale d’aval responsable de la dilatation +++
    • ET/OU Dilatation des canaux secondaires : kystes multiples communiquant avec le CPP ou canal de Santorini : recherche du pertuis : uni/multifocal
    • Protrusion/béance papillaire (ampoule de Water) > 5 mm
    • Fistules avec structures digestives ou VBP (par érosion chronique, pas de malignité)
    • Rarement calcifications : plutôt dans lésions malignes

Signes de malignité dilatation kystique

  • Plus grand risque si atteinte CPP
  • Végétations, nodule mural (bourgeon papillaire)
  • Irrégularités de paroi
  • Calcifications endoluminales
  • Fistules avec voie biliaire
  • Dilatation majeure :
    • >10mm CPP
    • >30mm CPS (kyste)
  • Dilatation du cholédoque associée

Classification de Kuroda

  • Type 1 : CPP isolé (> 3-6mm) : segmentaire ou diffuse
  • Type 2 : CPS isolé (CPP fin) : micro ou macrokystique
  • Type 3 : mixte 

Conduite à tenir

  • Risque dégénérescence en ADK selon ancienneté
    • Atteinte du CPP : >30 % risque de dégénérescence → résection
    • Atteinte uniquement des C secondaires: risque de 10-15 % : chir à discuter
  • Jeune avec grosse dilatation/risque malignité : proposer chirurgie
  • Agé : proposer surveillance annuelle : IRM alternée avec echo-endoscopie

Diagnostics différentiels

  • Pancréatite chronique +++ : pseudokystes (aussi en communication avec CPP)
  • Cystadénome séreux (DDx TIPMP focale céphalique) : pas de communication
  • Cystadénome mucineux : pas de communication, parois irrégulières

 

 Cystadénome séreux

  • Tumeur bénigne
  • 3 formes:
    • MicroK < 2cm (70%)
    • MacroK > 2cm multiple ou unique (25%)
    • Solide (5%)
  • 75% femme, 60-70 ans, localisation céphalique (50%), multiloculaire (> 6 kystes), parfois aspect en rayon de miel avec cicatrice centrale (1/3) et calcif centrales (1/3), parfois réhaussement fin, pas de communication avec le CPP
  • Absence dégénérescence: pas de résection.

 

Cystadénome mucineux

  • Tumeur bénigne à potentiel malin
  • 99% femme
  • 40-50 ans
  • Corps/queue 95%
  • Plutôt uniloculaire ou peu multiloculaire
  • > 2cm par kyste
  • Calcif périphérique
  • Cloisons intraK
  • Parois épaisses réhaussées
  • Pas de communication avec le CPP
  • Risque de dégénérescence > 30% ⇒ résection

 

 

Tumeurs hépatiques – Hyperplasie nodulaire focale

Critères sémiologiques d’hyperplasie nodulaire focale

  • Lésion de grande taille, se rehaussant massivement homogène au temps artériel
  • Contours nets polylobés
  • Jamais d’hémorragie
  • Jamais de calcification
  • Echo : mal visible: iso avec cicatrice centrale hyper et vasculaire au Doppler couleur.
  • Discret hyperT2 IRM (difficilement visible), avec élément central toujours en hyperT2
  • Pdc homogène précoce massive avec homogénéisation, cicatrice fibreuse centrale à Pdc tardive
  • Absence de capsule, absence de graisse

Hyperplasie nodulaire focale

 

Diagnostics différentiels d’yperplasie nodulaire focale

  • CHC : Pdc artérielle avec washout
  • Adénome : Pdc artérielle
  • CHC fibro-lamellaire : centre hypoT2 (et non HT2+++) fibreux réhaussé tardivement

 

Exemples d’Hyperplasie nodulaire focale

 

 

 

 

 

 

 

Tumeurs hépatiques – Cholangiocarcinome

Cholangiocarcinome : cancer primitif des voies biliaires

  • Rare, 2ème tumeur primitive intrahépatique
  • ADK 95% cas, infiltration tissulaire péri-canalaire le plus fréquent
  • Fdr : cholangite sclérosante

 

Différentes formes de Cholangiocarcinome

  • Hilaire/extra-hépatique (2/3 des cas) :
    • Tumeur de Klatskin (hilaire) = dans la convergence
      • Intra-ductal (dans le canal)
      • Péri-ductal (autour du canal)
  • Intra-hépatique (1/3 des cas) : périphérique = masse intra-hépatique

 

  • Masse à l’origine d’une dilatation de la VBP (différent de CHC)
  • Mal limitée, infiltrante, rétractile, non encapsulée, avec nodules satellites
  • Pdc tardive hétérogène : stroma fibreux
  • Calcifications rares (non discriminant)

 

DDx

  • Cancer de la vésicule qui se prolonge le long du cystique (env du segment V)
  • Sténose bénigne : pas de tumeur visible (à contrôler+++)
  • Cholangite sclérosante : petite dilatation VBP en chapelet (peut donner un ChK après)
  • Lymphangite du hile hépatique
  • ADK tête du pancréas
  • Ampullome vatérien

 

Critères de non résécabilité

  • Atteinte canaux de 2ème ordre bilatéral (IV)
  • Thrombose tronc porte
  • Atteinte artérielle
  • Métastases/adénopathies à distance

 

Bilan d’extension des cholangiocarcinome

  • IRM : évaluer le degré d’extension biliaire
  • SCAN : bilan d’extension loco-régionale et à distance
  • PET-SCAN : extension à distance

Cholangiocarcinome

Amiante

Protocole scanner amiante

  • Acquisition en decubitus dorsal sans injection
  • +/- Acquisition focale en procubitus si anomalies pleurales ou postéro-basale (éliminer les opacités gravito-dépendantes)
  • Analyse en coupes fines et en MIP 5 mm

Parenchyme (asbestose)

Plutôt sous-pleural postéro-basal bilatéral : persistant en procubitus +++ (DDx des opacités gravito-dépendantes)

Case courtesy of A.Prof Frank Gaillard, Radiopaedia.org. From the case rID: 8756

  1. Micronodules centro-lobulaires sous-pleuraux (anomalie la plus précoce)
  2. Lignes courbes sous-pleurales (et réticulations septales) à qqes mm de la plèvre (DDx tassement de tissu pulmonaire devant ostéophyte)
  3. Verre dépoli, condensations
  4. Rayon de miel et fibrose (évolution) correspondant à l’asbestose
  5. Réticulations à raccordement pleural (-spécifique)

Conclusion du compte-rendu pour asbestose : analyse sur 3 niveaux de (carène, veines pulmonaires inférieures, culs-de-sac pleuraux)

  • Asbestose absente : que des opacités gravito-dépendantes, aucune lésion interstitielle
  • Images interstitielles indéterminées : images interstitielles postérieures en decubitus sans procubitus (en dehors de rayon de miel caractéristique de fibrose)
  • Images interstitielles isolées :
    • Images interstitielles de localisation autre que postéro-basale
    • ou anomalies spécifiques unilatérales strictes
    • ou anomalies spécifiques bilatérales sur un niveau de coupe <1cm de hauteur
    • ou anomalies spécifiques bilatérales clairsemées sur pls des 3 niveaux de coupes
  • Asbestose probable :
    • Anomalies spécifiques bilatérales sur un niveau de coupe >1cm de hauteur
    • ou anomalies spécifiques bilatérales non clairsemées sur pls des 3 niveaux de coupes
    • ou rayon de miel postéro-basal bilatéral sur 1 niveau de coupe

Plèvre

  1. Plaques pleurales plaque(fibrose plèvre pariétale) : quadrangulaire, à bord abrupte +-calcifiée, qq mm à pls cm (correspond à plaques aussi si non quadrangulaire non calcifié mais multiples), tendance à la symétrie, SI POST PERSISTANTE EN PROCUBITUS+++
    • Antéro-latérale en dehors du muscle triangulaire du sternum (3m au 5m espace)
    • Postéro-latérale dans les gouttières costo-diaphragmatiques (6m jusque cul-de-sac pleural), épargne cul-de-sac pleuraux
    • Sommet des coupoles diaphragmatiques
    • Respect : apex (BK : coiffe apicale), cartilage costal, culs-de-sac costo-diaphragmatiques, piliers diaphragmatiques
  2. Epaississement plèvre viscérale : séquelle d’épanchement : non spécifique d’amiante
    • Sous bord supérieur de la crosse aortique
    • Tissulaire, diffus, +- calcifié, atteignant souvent les culs-de-sac, associé à bande parenchymateuse ou pied de corneille ou atélectasie par enroulement
  3. Pleurésie bénigne : pas de spécificité à l’amiante

Foie – Tumeurs hépatiques – CHC

 Généralités sur les CHC

  • Case courtesy of Ed Uthman, Radiopaedia.org. From the case rID: 8480

    Développement lent

  • 80% développé sur cirrhose (possible sur hepatite B chronique ou NASH)
  • 50% nodules < 1cm hypervasculaires sur cirrhose ne sont pas CHC
  • 1/3 cirrhose va développer un CHC

Exploration des CHC

  • Hypervasculaire wash in (artériel + blc) et wash out (+ noir que le reste du foie)
  • 7-10 % hypovasculaires
  • 6-28% de calcifications
  • Possible multinodulaire d’emblée
  • Signes d’agressivité
    • Rupture capsulaire, nodules satellites
    • Envahissement veineux du tronc porte OU thrombose portale

 

Algorithme diagnostique des CHC

chc

Traitement

  • Curatif
    • Transplantation : critères de Milan (1 nodule <5cm ou 3 nodules <3cm)
    • Résection
    • Ablation par radiofréquence (<3 cm, < 3 nodules)
  • Palliatif
    • Chimioembolisation
    • Radioembolisation (Yttrium-90)
    • Chimiothérapie (Sorafenib)
  • Symptomatique
    • BSC : best supportive care
  • SUIVI POST-CHIMIOEMBOLISATION : recherche de la persistance de l’hypervascularisation
  • NODULE DE REGENERATION :
    • Hypovasculaire, hypodense, réhaussement tardif (très fibreux)
  • NODULE DYSPLASIQUE 
    • Souvent hyperT1
    • Capte peu le produit de contraste (slmt 20-30% hypervasculaires)
    • Pas de lavage
    • Evolution du «NODULE dans le NODULE» : apparition du CHC

Infarctus osseux

Infarctus osseux

  • Localisation
    • Métaphyso-épiphysaire ou diaphysaire, parfois bilatéral et symétrique
  • Spontané : moelle jaune
  • Secondaire : maladie de Gaucher / drépanocytose de la moelle rouge
  • Rx
    • Calcifications plus épaisses et plus périphériques (liseré) et centre peu dense
    • Pas de scalloping sur l’endoste
  • IRM
    • Séquestre osseux
    • Aigu : avec œdème périphérique sans liseré
    • Chronique : liseré de bas signal, séquestre graisseux
    • Calcification périphériques, rehaussement périphérique
    • Peut se compliquer d’une fracture
  • DDx
    • Enchondrôme: à faire en IRM

Tumeurs os – Fibrome non ossifiant

Fibrome non ossifiant

  1. Terrain
    • 95%  < 20 ans
  2. Localisation
    • 95% métaphyse des os longs
    • 75% monostotique
    • 25% polyostotique
    • 80% membre inférieur
    • Tibia > Fémur
    • Migre de la métaphyse vers diaphyse
  3. Analyse radiologique
  4. Divers
    • < 2 cm : cortical defect (uniquement cortical)
    • > 2cm : fibrome non ossifiant (cortical et medullaire)
    • Grand axe parallèle à la diaphyse
    • Aspect lobulé
    • Corticale respectée qui peut être soufflée
    • Corticale peut s’épaissir lors de la résorption
    • Découverte fortuite, fracture pathologique
    • Arrêt de croissance à la puberté
    • Puis ossification progressive
      • Syndrôme de Jaffé-Campanacci
    • Scinti : hyperfixation modérée
    • DDx :
      • Dysplasie fibreuse

 

Tumeurs os – Fibrome chondromixoïde

Fibrome chondromixoïde

  1. Terrain
    • Garçon
    • Age : 10 et 30 ans
  2. Localisation
    • Genou
  3. Analyse radiologique
  4. Divers
    • Tumeur à composition mixte cartilagineuse et myxoïde
    • Aspect radiologique :
      • Ostéolyse géographique cernée d’un liséré dense et contenant des cloisons osseuses épaisses
      • Peut être excentrée et soufflante
      • Calcifications rares

 

Tumeurs os – Ostéome ostéoïde

Ostéome ostéoïde

  1. Terrain
    • Adulte jeune
  2. Localisation
    • Os longs
    • Rachis arc postérieur
    • Cortical ou para-ostéal ou intra-medullaire
  3. Analyse radiologique
  4. Divers
    • Lignée ostéogénique
    • < 15 mm
    • Purement bénin
    • Douleur nocturne insomniante sensible à l’aspirine
    • Si proche d’une articulation : arthrose focale chez jeune (rachis+++)
    • Nidus calcifié
    • IRM
      • Nidus en hyperT2, hypoT1, Pdc, œdème périlésionnel os et mou
      • Rehaussement du nidus artériel puis lavage (dynamique)
    • TTT
      • Résection percutané par forage guidage TDM
      • Destruction percutanée : laser, alcool, radiofréquence

 

Tumeurs os – Exostose / ecchondrome / ostéochondrome

Exostose / ecchondrome / ostéochondrome

  1. Terrain
    • Age < 20 ans
  2. Localisation
    • Os longs
    • A partir de la métaphyse cartilagineuse, puis migre vers diaphyse
  3. Analyse radiologique
  4. Divers
    • Lignée cartilagineuse
    • Tumeur osseuse bénigne la plus fréquente,
    • Risque de dégénérescence faible après 30 ans
    • Solitaire : exostose ostéogénique solitaire (ecchondrome)
      • Découverte fortuite ou compression, en période de croissance < 20 ans
    • Multiple : exostose ostéogénique multiple (maladie de Bessel-Hagen)
      • Héréditaire, autosomique dominante, avec autres anomalies de croissance
    • Excroissance pédiculée ou sessile
    • +/- coiffe cartilagineuse
    • +/- calcifiée
    • +/- graisse
    • Continuité corticale et spongieuse à plein canal
    • Scinti : fixe en période de croissance ou de dégénérescence
    • TDM : bilan préchirurgical
    • IRM : appréciation coiffe cartilagineuse
      • jusque 3 cm en phase de croissance
      • < 1 cm chez adulte
      • Pdc de la coiffe cartilagineuse
    • TTT : chirurgie si symptomatique ou doute, en fin de croissance
    • Risque : dégénérescence en chondrosarcome
      • Croissance rapide
      • Lacunes et lyse de la base
      • Irrégularité des calcifications
      • Coiffe cartilagineuse épaisse > 1 cm chez adulte, > 3 cm chez l’enfant

Tumeurs os – Kyste osseux essentiel

Kyste osseux essentiel

  1. Terrain
    • 90% < 20ans
    • 3H /1F
    • La plus fréquente des tumeurs bénignes de l’enfant
  2. Localisation
    • Centré
    • Métaphysaire
    • Os longs (humérus)
    • Calcaneum, aile iliaque
  3. Analyse radiologique
  4. Divers
    • Dystrophie osseuse
    • Asymptomatique sauf complication
    • Rempli de liquide
    • Ostéolyse régulière avec pôle inférieur en fond de coquetier
    • Parfois calcifications coraliformes ou mutiloculées
    • Possible saignements (dépôts)
    • Amincissement cortical mais pas d’apposition périostée
    • Evolution bénigne
    • Complication : fracture (signe du fragment tombé)
    • Peut être secondaire à une lésion sous-jacente
    • Caractère actif : contact avec métaphyse
    • Caractère inactif : migration vers diaphyse avec comblement
    • Surveillance par radio si non compliqué pour évolution
    • TTT
      • Possible curetage, greffe, injection corticoïde
    • DDx
      • Fibrome chondromixoïde (plus rare, type 1a, plus excentré, contenu tissulaire solide calcifié, 3/4 membre inférieur)
      • Kyste osseux anévrysmal (excentré, plus agressif, niveaux IRM)

Tumeurs os – Kyste osseux anévrysmal

Kyste osseux anévrysmal

  1. Terrain
    • < 25 ans
    • H = F
  2. Localisation
    • Membre inférieur
    • Ale iliaque
    • Arc postérieur rachis
    • Métaphysaire
    • Excentrée
  3. Analyse radiologique
  4. Divers
    • Dystrophie osseuse + sang
    • Secondaire dans 1/3 des cas (avec lésion bénigne/maligne)
    • Clinique
      • Asymptomatique
      • Syndrome tumoral
      • Fracture rare
      • Scoliose
    • Possible extension parties molles
    • Souffle la corticale
    • Logettes
    • Agressivité possible sur corticale avec appositions +/- éperon
    • IRM
      • Rehaussement possible des cloisons
      • Niveaux liquide-liquide (saignement), non spécifique
    • Scinti os
      • Hyperfixation avec zone centrale « froide »
    • TTT 
      • Curetage, greffe, résection complète, embolisation, sclérose

 

Tumeurs os – Tumeur à cellules géantes

Tumeur à cellules géantes

  1. Terrain
    • 20 – 40 ans
  2. Localisation
    • Excentrée
    • Métaphyse
    • Evolution métaphyso-épiphysaire
  3. Analyse radiologique
  4. Divers
    • Lignée cartilgineuse
    • 5-10% des tumeurs osseuses
    • Touches les membres
    • Tumeur bénigne à potentiel agressif
    • Après fermeture du cartilage de croissance
    • > 5 cm
    • Souffle la corticale
    • Trabéculations, soudure du cartilage dans la lésion
    • Pas d’ostéoformation
    • Pas de Ca++
    • Pas d’apposition
    • Très vascularisé
    • Expansion dans les parties molles
    • IRM possible niveaux liquide-liquide
    • Oedème péritumoral
    • Sur le rachis : corps vertébral

 

Tumeurs os – Chondrome / enchondrome

Chondrome

  1. Terrain
    • 20 – 40 ans
  2. Localisation
    • Métaphysaire (cartilage de croissance)
    • Extension métaphyso-diaphysaire
  3. Analyse radiologique
  4. Divers
    • Chondrome = enchondrome (centrale) ou juxtacortical (périphérique/périosté)
    • Lignée cartilagineuse
    • Tumeur bénigne à potentiel malin (surtout au niveau des ceintures
    • Enchondromatose : syndrome de Maffucci, maladie de Ollier (risque plus important de dégénérescence)
    • Signes d’atypie
      • Douleurs
      • Atteinte du squelette axial
      • Atteinte épiphysaire
      • Taille > 6 cm
      • Disparition des Ca++ (si suivi)
      • Erosion corticale
      • Réaction périostée
    • Rx
      • Taille < 5cm
      • Hyperclarté avec nombreuses calcifications
      • Respect corticales avec scalloping possible, sans encoche endostéale
    • TDM
      • Précision, bilan pré-opératoire
    • IRM
      • Matrice cartilagineuse
      • hypoT1, hyperT2, lobulée, septa hyposignal, Ca++ centrales (hypoT1, hypoT2)
      • Septa/ilôts résiduels de moelle jaune (en faveur béningnité)
      • Pdc périphérique et des septa
      • Scinti : hyperfixation modérée sauf si fracture pathologique
    • DDx
      1. Infarctus osseux (calcifications plus épaisses et plus périphériques et centre peu dense). Faire IRM
      2. Chondrosarcome de bas grade
        1. H, 50 ans, ceinture
        2. Douleur +++, masse palpable, taille > 6 cm
        3. Résorption : rareté/disparition Ca++ et ilôt graisseux
        4. Résorption endostéale profonde (2/3 épaisseur)+++
        5. Appositions périostées / envahissement de parties molles
        6. Extension diaphysaire medullaire
        7. Scinti : fixation plus importante de la crête iliaque antérieure
        8. Cinétique de réhaussement précoce, HS STIR périph)
    • TTT : exérèse en bloc ou surveillance rapprochée

 

Tumeurs os – Chondrosarcome conventionnel

Chondrosarcome

  1. Terrain
    • 35 – 45 ans
    • H > F
  2. Localisation
    • Ceintures (bassin, fémur proximal, humérus proximal)
    • Cartilage chondro-costal
    • Métaphyse avec extension diaphysaire
  3. Analyse radiologique
  4. Divers
    • Lignée cartilagineuse (90%)
    • 10 à 25% des tumeurs osseuses malignes
      • Primitif puor 90%
      • Secondaire : enchondrome (2 contingents) unique ou maladie Ollier/Maffuci, ecchondrome, Paget, post-radioT
    • Douleurs +++
    • Masse palpable
    • Souvent taille > 6 cm
    • Scinti : importante fixation > enchondrome
    • TDM : précisions sur l’extension
    • IRM : bilan d’extension
      • Envahissement parties molles
      • Hypersignal STIR périphérique
      • Cinétique de rehaussement précoce
    • Métastases pulmonaires
    • TTT : chirurgie
      • Absence efficacité chimiothérapie ou radiothérapie

Tumeurs os – Tumeur d’Ewing

Tumeur d’Ewing

  1. Terrain
    • 2ème tumeur osseuse maligne (après ostéosarcome) chez l’enfant
    • 90% [5 – 30 ans]
    • Rare avant 5 ans et après 25 ans
  2. Localisation
    • Ubiquitaire os longs et os plats
    • Diaphysaire +/- métaphysaire
    • Jamais épiphysaire
  3. Analyse radiologique
  4. Divers
    • Origine neuroectodermique
    • Métastases pulmonaires les plus fréquentes
    • Scinti : fixation
    • IRM : bilan d’extension
    • Facteurs de mauvais pronostic
      • Métastases au diagnostic (20%)
      • Volume tumoral > 200 ml
      • Réponse histologique à la chimiothérapie initiale
      • Localisation au bassin
    • TTT : polychimiothérapie, chirurgie, radiothérapie

 

Tumeurs os – Ostéosarcome

Ostéosarcome

  1. Terrain
    • H > F
    • 80% < 30 ans
  2. Localisation
    • Os long > os plats
    • Métaphysaire
    • Médullaire
    • Proche du genou
  3. Analyse radiologique
  4. Divers
    • Lignée ostéogénique
    • Scinti : fixation
    • IRM : bilan d’extension
    • TTT : chimiothérapie préchirurgicale
    • Bilan d’extension : 90% des métastases sont pulmonaires
    • Facteurs de mauvais pronostic
      • Absence de sensibilité de la chimio
      • Chirurgie non satisfaisante
      • Taille > 10 cm
      • Envahissement des structures adjacentes
      • « Skip metastases »

Dentascanner

 

 

 

Denture lactéale

  • Termine son évolution vers l’âge de 30 mois
  • Persiste jusqu’à l’éruption de la première dent définitive : la première molaire vers 6 ans.

Denture définitive

  • Évolue de 6 ans à environ 20 ans.
  • La fin de son évolution est signée par l’éruption de la 3ème molaire ou « dent de sagesse ».

 

EVOLUTION PHYSIOLOGIQUE

  • Désinclusion : ouverture du sac folliculaire et formation des racines, le sac folliculaire devient le sac parodontal
  • Éruption : fait suite à la désinclusion de la dent, jusqu’à sa position final fonctionnelle, avec fermeture des apex

EVOLUTION PATHOLOGIQUE

  • Rétention : dent en cours d’évolution (apex ouverts) qui rencontre un obstacle la plaçant en position anormale.
  • Inclusion : dent ayant terminé son évolution et restant enfermée dans son sac folliculaire.
  • Enclavement : dent ayant terminé son évolution, avec son sac folliculaire ouvert, incomplètement placée à l’arcade, en position anormale (basculée le plus souvent). Peut être bloquée par dent adjacente ou corticale mandibulaire.

 

Canal mandibulaire : artère et nerf alvéolaire inférieure

 

Dentascanner Etude du VOLUME OSSEUX DISPONIBLE avant implant

  • Volume osseux disponible dans tous les plans
  • Qualité osseuse du site d’implantation
  • Visualisation des structures à éviter (notamment canal mandibulaire avec description de son trajet  / dent concernée)

catwood zarb

Anatomie des dents au panoramique dentaire

Fallback or ‘alternate’ content goes here. This content will only be visible if the SWF fails to load.
Plein écran
(Copyrights Brett Young)

[TDM] Dentascanner

Tumeurs des glandes salivaires

IRM : protocole d’exploration des tumeurs des glandes salivaires

  • Axiale T1 et T2 SANS FAT SAT (avec FAT SAT si post opératoire)
  • Axiale T2 ganglions cervicaux si tumeur maligne
  • Axiale diffusion b0 b1000
  • Dynamique axiale après injection de gadolinium, 40 phases, 2-3 s entre chaque phase
  • Axiale et coronale T1 gado FAT SAT
  • Reconstructions perfusion : ROI sur la lésion uniquement en zone tissulaire (en hT2), en dehors hémorragie ou kyste
  • Reconstructions diffusion: ROI sur la portion tissulaire en dehors hémorragie, calculer un rapport avec parotide controlatérale
  • Localisation : veine rétro-mandibulaire : en dehors: superficiel, en dedans : profond

Pathologies des glandes salivaires

  • Pathologie glande submandibulaire : lithiasique le plus souvent, si tumoral plutôt malin
  • Pathologie glande parotide : tumorale le plus souvent
    • 80% tumeur bénigne dominé par l’adénome pléomorphe (3/4 des tumeurs)
    • 10-15% tumeur maligne dominé par le carcinome muco-épidermoïde

DÉMARCHE diagnostique devant une tumeur des glandes salivaires

  1. Eliminer kyste, lipome, hémangiome
    1. Hémangiome : plutôt chez l’enfant
      1. Enfant : unilatéral non douloureux, augmente de V puis régresse spontanément
      2. Adulte : augmente de taille et ne disparait pas
      3. IRM : Lobulée, hT1, HT2, «flow void», Ca2+ phlébolithes (TDM), Pdc intense hétérogène
    2. Kyste : (branchial 1er arc, dermoïde, lymphoépithélial/VIH, tumeur de Whartin kystique, Cf. Masses cervicales kystiques)
      • Signal variable en T1, HT2, pas de prise de contraste (sauf CAL kystique)
    3. Lipome : localisation superficielle le plus souvent
      • HT1 et HT2, signal disparait en saturation de graisse
  2. Approche diagnostique : analyse morphologique puis fonctionnelle
BENIN [80%] MALIN [20%]
Contours Bien limités Mal limités
Signal hyperT2 liquidien hypoT2
Nécrose centrale +
Capsule périphérique hypoT2 +
le plus souvent adénome pléiomorphe)
Envahissement de voisinage Infiltration de la graisse
Adénopathie +
Infiltration périneurale +
ADC relatif élevé (>1.3) sauf CAL bas ( < 1.0)

ALGORITHME DIAGNOSTIQUE

parotide

Courbes de perfusion des tumeurs des glandes salivaires

Type A : Plateau ascendant
Adénome pléomorphe cellulaire ou non
 typeA
Type B : Prise de contraste rapide et wash-out > 30%
Tumeur de Warthin
 TypeB
Type C : Prise de contraste rapide avec plateau ou wash-out < 30 %
Courbe aspécifique
 TypeC

Synthèse sur les tumeurs des glandes salivaires

Histologie Clinique IRM
Adénome pléomorphe
(3/4 des tumeurs parotide)
  • Contours polylobés
  • h/isoT1, HT2 liquidien
  • Capsule périph hT2
  • rADC élevé > 1,0
  • Perf : plateau ascendant
Tumeur de Warthin
(Anciennement cystadénolymphome)
  • Homme 45-60 ans
  • Tabac +++
  • Pole inférieur le + souvent
  • 15% : multiple et bilatéral
  • Dégénérescence rare
  • Pole inférieur
  • hT1, hT2
  • Possible portion kystique
  • Possible hyperT1
  • Possible multiples  et bilat
  • Perf : pdc rapide et wash out important > 30%
  • rADC < 1,0
Tumeur maligne :

  • Carcinomes
  • Lymphome (gg parotidien)
  • Métastase
  • Paralysie faciale possible (VII) ou atteinte V3
  • Contours flous
  • hT2
  • rADC < 1,0 (< 0,5 penser lymphome)
  • Perf : pdc rapide et wash out faible < 30%
  • Envahissement adjacent
  • Infiltration péri-neurale
  • Nécrose centrale
  • Adénopathies nécrotiques

Diagnostics différentiels

Syndrome de Gougerot-Sjögren (syndrome sec)

Ganglion intra parotidien

Tumeurs neuro – Rachidiennes intra-canalaires [algorithme]

  • 5 à 10 fois moins fréquentes qu’à l’étage cérébral.
  • 60 % extra-durales
  • 30 % intra-durales extra-médullaires
  • 10 % intra-médullaires

 

Tumeurs rachidiennes intra durales – intra médullaires

  • Elargissement de la moelle
  • Effacement progressif des espaces liquidiens périmédullaires
  • Faire IRM cérébrale +++
  • DDx : myélite, SEP, ischémie medullaire, MAV, syringomyélie

Ependymome

 

Astrocytome

Hémangioblastome 

Hémangioblastome dans le cadre d'une maladie de Von Hippel Lindau

Lymphome

Cavernome

 

Tumeurs rachidiennes intra durales – extra médullaires

  • Refoulement de la moelle
  • Amincissement des espaces sous arachnoïdiens d’un coté
  • Élargissement de ces espaces au niveau des deux pôles de la lésion
  • DDx: kyste arachnoïdien, méningocèle durale

Méningiome

  • Cf. Méningomes
  • 12% des méningiomes du SNC
  • Pic : 50-60 ans.
  • 80 % thoracique (postéro latéral), 15 % cervical (antérieur), 5 % lombo-sacré
  • Prédominance féminine
  • Développé à partir des cellules arachnoïdiennes
  • Implantation méningée large
  • IRM
    • Iso intense T1, élevé en T2
    • Très vascularisé : prise de contraste homogène et importante
    • Calcifications < 10 %
  • Récidives fréquentes (40% à 5 ans)

Tumeurs des gaines nerveuses

Schwannome

  • Cellules fusiformes de Schwann
  • La plus fréquente dans cette localisation
  • 4ème décennie, isolé
  • Etage lombaire le plus souvent
  • Prise de contraste importante et homogène
  • Multiples dans contexte neurofibromatose de type 2 (bilatéraux, vestibulaires ++)

Neurofibrome

  • Neurofibromatose de type 1
  • Risque de dégénérescence sarcomateuse

Ganglioneurome

Paragangliome

  • Cf. Paragangliome
  • Prédominance au niveau du cône médullaire
  • Isosignal T1, hypersignal T2, hétérogène, hémorragique

Métastases intradurales

  • Le plus souvent primitif connu

 

Tumeurs rachidiennes extra durales

Refoulement et compression de la moelleEffacement progressif des espaces sous arachnoïdiensInfiltration de la graisse épidurale aux pôles de la lésion

  • Epidurite carcinomateuse
  • Epidurite lymphomateuse
  • Neuroblastome
  • lipomatose

DDx: spondylodiscite, hématome péridural

Métastases

  • Chez l’adulte métast. extra-durales > intra-durales > intra-médullaires
  • AdénoK ( poumon, sein), mélanome, lymphome, leucémie et SNC
  • LCR : +
  • Prédominent en région lombaire
  • Clinique
    • Radiculopathie, myélopathie progressive
    • Sans rémission
  • Scanner : souvent normal
  • IRM :
    • T1 et T2 : Masses iso-intenses / moelle et racines
    • Aspect hétérogène du sac dural
    • T1 + Gado : rehaussement intense
    • Nodules multiples
    • Carcinomatose méningée
    • Masse focale
    • Épaississement de la queue de cheval
  • Analyser los en STIR à la recherche de métast. Os. Exploration encéphalique
  • Traitement – pronostic
    • Radiothérapie- chimiothérapie Survie < 1 an
  • Diagnostic differentiel
    • Epaississement post-radique des racines

 

Causes des PDC DES RACINES DE LA QUEUE DE CHEVAL

  • Méningite
  • Maladie de Lyme et encéphalite à tique
  • Carcinose méningée
  • Sd de Guillain Barré : polyneuropathie aigue inflammatoire
  • Polyradiculopathie à cytomegalovirusliée au stade sida
  • (Sarcoïdose)
  • (Lymphome leptoméningé)
  • (Arachnoïdite)
  • (Maladie de Krabbe)

Thrombose veineuse cérébrale

Clinique

  • Céphalées, uni ou bilatérales, isolées (< 10%)
  • HTIC isolée (céphalées et œdème papillaire)
  • Déficit focal +/- crises convulsives +/- céphalées
  • Tableau d’encéphalopathie sévère (troubles de conscience)
  • Problème parfois inverse : évoquer la TVC devant l’imagerie

 

Biologie

  • D-dimères élevés > 500 ng/ml (Sb:85%, Spé:90%)
  • Thrombose veineuse cérébrale rare si D-dimères < 500 ng/ml
  • D-dimères n’éliminent rien !
  • PL normale mais liquide tendu

 

Traitement

  • Anti-coagulant IV (héparine), même en cas de lésions hémorragiques (+++)

 

Protocole d’exploration en cas de suspicion de thrombose veineuse cérébrale

Soit scanner sans / avec injection

Soit IRM

  • Sag T1
  • Ax T2*
  • Ax FLAIR
  • Ax Diff
  • TRICKS veineux
  • 3DT1 gado

 

Signes de thrombose veineuse cérébrale

  • Directs
    • Sinus occlus : angioscanner/ ARM
      • Signe du delta vide
    • Visualisation directe du thrombus : IRM
      • Aigu (< 3j) : iso T1 / hypo T2 / hypo en 2D TOF/ hypo T2*
      • Subaigu (> 4j) : hyperT1 / hyperT2 / hyper en 2D TOF / hyper T2*
      • Semi-chronique : iso T1 / hyper T2 / hypo en 2D TOF / hypo T2*
  • Indirects
    • Retentissement parenchymateux, infarctus veineux : IRM +++
  • Signes associés / patho causale : IRM > scanner
    • Infection
    • Tumeur (méningiome)
    • TC, SEP
  • DD
    • Granulations arachnoïdiennes

Epilepsie

Protocoles IRM pour épilepsie

♦ soit Patient < 30ans avec crises comitiales répétées réfractaires depuis l’enfance
  • Rechercher une malformation : examen morphologique, pas besoin d’injection (sauf si découverte tumeur gliale)
  • 3D T1 inversion récupération (morpho sillons/hippocampe + contraste SG/SB) ou coro T1IR
  • 3D FLAIR ou axiale FLAIR (signal parenchymateux et hippocampique), voir si gliose
  • Coronale T2 plan CA/CP si CC général, T2 fin plan hippocampe si CC temporale
  • Axiale T2* (saignement et cavernôme)
  • Plan coronal oblique pour  analyse hippocampe
♦ soit Patient > 40ans avec apparition récente de crises comitiales
  • Recherche de tumeurs notamment métastase, ischémie, thrombose veineuse cérébrale, infection
  • Axiale FLAIR
  • Diffusion
  • Axiale T2*
  • 3D T1 IV+
  • Axiale T1 IV+

 

Lésions à rechercher dans un bilan d’épilepsie

    • Sclérose hippocampique
    • Dysplasie corticale focale
    • DNET && Gangliogliome
    • Anomalie de développement cortical
    • Status épilepsticus
    • Malrotation hippocampique

 

 

Sclérose hippocampique

    • Sclérose de la corne d’Ammon =  sclérose temporale mésiale
    • Mieux visible en 1,5 Tesla, à opérer
    • 1ère cause épilepsie partielle pharmaco-résistante adulte/enfant (50/70%)
    • Souvent suite à crise convulsive hyperthermique
    • Excellent pronostic après chirurgie (cortectomie)
    • Svt unilatéral, atteinte bilatérale possible
    • Sémiologie
      • Perte des digitations de la tête de l’hippocampe (seul signe au début)
      • Atrophie (perte hauteur)
      • Gliose (hyper T2/FLAIR)
      • +/- Atrophie du Gyrus ParaHippocampique (GPH)
      • +/- Atteinte du pole temporal avec HS (ne modifie pas le pronostic post-op)
      • +/- Atrophie fornix et corps mamillaire du côté atteinte (atteinte associée du système limbique)
      • +/- Dilatation réactionnelle corne temporale
    • DDX : malrotation hippocampique

 

DYSPLASIE CORTICALE FOCALE

  • Mieux visible à 3 Tesla, à opérer
  • Malformation avec cortex anormal en position anormale
  • 2ème cause d’épilepsie pharmaco-résistante chez l’adulte
  • FRONTALE et CENTRALE (sillons frontaux sup et inf)
  • Frontale > centrale > parietale > occ > temp
  • 1/3 IRM négative (30%)
    • Elargissement focal du ruban cortical en T1
    • Flou du contour SB/SG : « blurring »
    • +/- HS cortex et SB adjacente
    • Bande en HS FLAIR rejoignant VL : « transmental sign »

 

 

ANOMALIE DE DÉVELOPPEMENT CORTICAL 

  1. Anomalie de la gyration:
    1. Lissencéphalie : surface cérébrale lisse sans sillon, à cortex épais
    2. Pachygyrie : quelques sillons, cortex épais
    3. Polymicrogyrie : nombreux sillons avec cortex épais
    4. Schizencéphalie : fente hémisphérique, étendue de la surface cérébrale au ventricule, bordée par du cortex anormal polymicroG, sans gliose adjacente, à lèvre ouverte ou fermée
    5.   DDx : cavité séquellaire: pas de cortex adjacent mais gliose
  2. Anomalie de la migration : hétérotopie de substance grise (iso T1, T2, FLAIR à SG)
    1. Hétérotopie nodulaire : le long des ventricules latéraux les déformant
    2. Hétérotopie en bande : en bande sous-corticale

 

 

STATUS EPILEPTICUS : anomalies de signal suite à crises comitiales répétées

  • Hypersignal T2 SG et/ou SB sous-corticale, effet de masse
  • Possible HS diffusion avec baisse ADC en aigu, mais atteinte pls territoires (DDx ischémie)
  • Possible Pdc lésionnelle et/ou méningée.
  • Selon localisation épilepsie, possible atteinte transitoire hippocampe, splénium du corps calleux, ou thalamique (pulvinar): atteinte associative des structures fonctionnelles « relais »
  • Résolutif en qqes jours à semaines.

 

MALROTATION HIPPOCAMPIQUE

  • Responsabilité incertaine dans l’épilepsie
  • Peut être associé à d’autres anomalies malformative
    • Aspect globuleux et position trop médiale de l’hippocampe
    • Verticalisation du sillon collatéral plus profond

 

 

Compte-rendu type

[IRM] Epilepsie

Tube digestif – MICI

Protocole d’exploration des MICI (Maladies Inflammatoires Chroniques de l’Intestin)

Entéro-IRM : à plat ventre

  • Préparation mannitol ou PEG, environ 1,5 L dans l’heure précédente
  • Injection de Glucagen16
  • Coro et axialeT2 True FISP
  • Coro T2 FATSAT
  • 3D T1 FAT SAT sans IV
  • 3D T1 IV artériel, portal, tardif (ou coronal / axial tardif)

 

Signes d’atteinte inflammatoire dans les MICI (dont Iléite terminale inflammatoire)

  • Cocarde avec pdc muqueuse intense et œdème s/muqueux : aspect en cible
  • Signe du peigne (comb sign) : hyperhémie mésentérique
  • Ganglions mésentériques
  • Hypersignal pariétal en T2
  • Epaisseur de la paroi > 8mm (dernière anse)
  • Ulcérations et fissures pariétales
  • Masse inflammatoire du meso  – si bulle d’air = fistule
  • Fistule ou abcès du méso
  • MC : transmurale, discontinue, ulcérations (SPA, et autres patho dysimmunitaires)
  • RCUH : superficielle, continue avec rectum, ulcérations (cholangite sclérosante +- SPA)
  • Préciser dans compte-rendu si atteinte inflammatoire ou non
  • Attention aux pseudo-épaississements, srt jéjunum, refaire un coro T2
axlong

Signes d’atteinte fibreuse

  • Pdc homogène peu intense avec paroi peu épaisse : atteinte fibreuse
  • Sclérolipomatose : augmentation épaisseur de la graisse mésentérique : atteinte fibreuse
  • Dégénérescence graisseuse de la paroi dans les atteintes anciennes
  • Sténose avec dilatation pré sténotique
En profiter pour regarder les sacro-iliaques si atteinte inflammatoire (spondylarthropathie)

 

EXEMPLES de MICI

 

 

 

Traitements

  • Iléite très inflammatoire : ttt médical
  • Iléite peu inflammatoire chez un patient symptomatique traitement plus radical sera discuté (dilatation, chirurgie)
  • Sténose monofocale inflammatoire : ttt médical avant dilatation endoscopique
  • Si sténose fibreuse monofocale: plutôt dilatation
  • Si sténose fibreuse multifocale : plutôt ttt radical

 

[IRM] Entéro MICI

[IRM] Entéro IRM

[IRM] Entéro IRM Crohn

 

Foie – Hypertension portale

Critères sémiologiques d’hypertension portale

  • Ascite
  • Splénomégalie
  • Corps de Gamna-Gandy
  • Voies de dérivation
    • Varices oesophagiennes et péri-oesophagiennes
    • Reperméabilisation de la veine ombilicale
  • Gastropathie congestive

 

Exemples

 

 

 

Foie – Lésions calcifiées

Diagnostics à évoquer devant des lésions calcifiées

à analyser au scanner
  • Calcifications hépatiques isolées bénignes
  • Multiples miliaire microcalcifications :
    • Tuberculose
    • Histoplasmose
    • Granulomatose
  • « En semis » (punctiforme)
    • Parasitaire
  • Périphérique en coquille d’œuf
    • Kyste hydatique
  • Massive et surtout périphérique
    • Kyste hydatique tardif
  • Centrale regroupées importantes
  • Psammomateuse (en grain de sable éparses)
    • Métastase de cancer colo-rectal

 

 

Foie – Lésions kystiques

Diagnostics à évoquer devant des lésions kystiques

regarder scanner si calcifications

En hyper T1 (hypodense au scan)

  • Kyste biliaire hémorragique

Communication avec voie biliaire

  • Maladie de Caroli (très rare)

Pas de communication avec voie biliaire

  • Kyste biliaire/ Polykystose hépatique

 

  • Hamartomes multiples : complexe de Von Meyenburg
  • Kystes péribiliaires : dilatation de glandes péribilaires
  • Cystadénome bilaire
  • Kyste hydatique / échinococcose alvéolaire (en mie de pain)

 

Pancréatite aigue

Classification d’Atlanta 2012 des pancréatites aigues

Diagnostic nécessite 2/3 items :

  1. Douleur abdominale évocatrice épigastrique transfixiante, irradiation dorsale
  2. Lipasémie (ou amylasémie) > 3 N
  3. Imagerie caractéristique d’une pancréatite aiguë

Imagerie à réaliser entre 48 et 72h après le début des symptômes (douleurs) pour évaluer la nécrose pancréatique et les complications, rechercher une néoplasie sous-jacente

 

Score de Balthazar

pts
Inflammation pancréatique
Pancréas normal 0
Élargissement focal ou diffus du pancréas 1
Densification de la graisse péripancréatique 2
Collection nécrotique aigue unique 3
≥ 2 collections nécrotiques aiguë ou bulles d’air adjacentes au pancréas 4
Nécrose pancréatique
Absence 0
< 30 % 2
30 – 50 % 4
> 50 % 6
Score total Morbidité % Mortalité %
0 – 3 8 3
4 – 6 35 6
7 – 10 92 17

 

Score de Mortele

pts
Inflammation pancréatique
Pancréas normal 0
Modification du pancréas avec ou sans inflammation de la graisse péripancréatique 2
Collection nécrotique aigue pancréatique ou péripancréatique 4
Nécrose pancréatique
Absence 0
<30% 2
>30% 4
Complication péripancréatique (épanchement pleural, ascite, complication vasculaire, atteinte du tube digestif) 2
Score total Grade
0 – 3 Légère
4 – 6 Modérée
7 – 10 sévère

 

Type de pancréatite

Pancréatite oedémateuse interstitielle (90-95 %) Pancréatite nécrosante (5-10 %)
  • Inflammation focale ou diffuse sans nécrose
  • Réhaussement possiblement hétérogène lié à l’oedème
  • Symptomatologie habituellement résolutive dans la première semaine
  • Inflammation focale ou diffuse avec nécrose
  • Collections nécrotiques avec débris, hémorragie
  • Risque de surinfection des collections

Evolution des pancréatites

Phase précoce < 4 semaines Phase tardive > 4 semaines

Pancréatite oedèmateuse interstitielle

Collection liquidienne aiguë péri-pancréatique (CLAP)

  • Suite à inflammation ou rupture canal IIR
  • Pas de nécrose pancréatique
  • Liquide libre et homogène sans paroi
  • Adjacent sans extension dans le pancréas
  • Limitée par les fascias
  • Habituellement pas de traitement
  • Résorption spontanée le plus souvent
Pseudokyste pancréatique

  • Evolution des CLAP (10-20% des cas)
  • En communication avec le CPP, avec obstruction progressive du pertuis et disparition spontanée
  • Pas de nécrose pancréatique
  • Collection ronde/ovale, de liquide pur, homogène, bien délimitée par une paroi fine inflammatoire
  • Adjacent sans extension dans le pancréas

Pancréatite nécrosante

Collection aiguë nécrotique

  • Difficile à différencier d’une CLAP au début
  • Collection nécrotique mal limitée
  • Possible rupture canalaire
  • Collection hétérogène (débris)
  • Pas de paroi
  • Intra et/ou extra-pancréatique
Nécrose organisée pancréatique

  • Collection bien limitée avec nécrose
  • Collection hétérogène (débris)
  • Paroi épaisse bien délimitée
  • Intra et/ou extra-pancréatique
  • Evolution rarement spontanément favorable

 

 

Surinfection de collection

Toutes les collections peuvent se surinfecter, principalement les nécrotiques :

  • Apparition de bulles en dehors de geste ou de fistule digestive
  • Si forte suspicion en l’absence de bulle : ponction à l’aiguille fine

 

Drainage radiologique

  • Pancréatite œdémateuse interstitielle
    • Très rare surinfection des collections
    • Drainage percutané simple ou gastro-kystique
  • Nécrose pancréatique stérile
    • Surveillance au scanner tous les 7-10 jours
    • Drainage radiologique possible même sans surinfection, à éviter
  • Nécrose pancréatique surinfectée
    • Débridement chirurgical + antibiotique
    • Drainage radiologique si patient trop instable avec drains de gros calibre

 

 

Tube digestif – Cancer du rectum [IRM]

Protocole d’exploration du cancer du rectum

  • FOV 25mm, coupes de 4 mm
  • Matrice haute résolution, de L5 à la marge anale
  • Pas d’opacification dig obligatoire
  • 3 plans T2 axiale et coronale perpendiculaire au plan tumeur
  • Ax gg T2EG : bifurcation aortique jusque hile rénal
  • Ax diffusion
  • +/- Ax T1, 3D T1 gado fat sat : bas rectum pour voir atteinte sphincter

 

anatomie du rectum

 

  Distance par rapport À la marge anale Au cap anal ou Pole > sphincter  
Rectum pelvienjaune Sigmoïde (4) > 15 cm > 12 cm  
Haut rectum (3) 10 – 15 cm 7 – 12 cm  
Moyen rectum (2) 5 – 10 cm 2 – 7 cm  
Bas rectum (1)
dont canal anal
0 – 5 cm
0 – 3 cm
0 – 2 cm  
Rectum périnéalvert

ANATOMIE du rectum

Le péritoine entoure le haut rectum latéralement et antérieurement et le moyen rectum en avant
Le bas rectum est sous péritonéal
La face postérieure du rectum est constamment rétropéritonéale
Le péritoine se réfléchi en avant pour constituer un cul de sac recto-vésical ou recto-vaginal

 

  • Haut rectum : dans le péritoine = équivalent cancer du sigmoïde
  • Bas rectum : risque atteinte sphincter anal
anatomie 2
anatomie 3

 

Avant de réaliser l’IRM, vérifier que les examens suivants ont étés réalisés

  • Echo-endoscopie : première étape avant IRM, meilleure pour tumeur stade T1-T2
  • Scanner throraco-abdomino-pelvien : recherche de métastases
  • Coloscopie : recherche lésion colique synchrone

 

Objectif principal de l’IRM

  • Orienter la prise en charge thérapeutique en recherchant :
    • extension extra rectale (T3)
    • +/- atteinte marge circonférentielle de résection
    • extension sphinctérienne

 

COMPTE RENDU IRM

  • Localisation de la tumeur :
    • Signal intermédiaire en hT2/muqueuse, HT2/musculeuse, H diffusion (sauf mucineux HT2)
      • Haut/moyen/bas rectum + taille tumeur 3 axes
      • Point de départ extension circonférentielle (en horaire) : mur antérieur/postérieur/latéral
      • Distance du pôle inf par rapport à la marge anale / sphincter interne (en sag)
      • Atteinte sphincter interne ? externe ?
  • Stade T : préciser en horaire l’invasion en profondeur
    • T1/T2 : limité à la paroi digestive (impossible en IRM de différencier cf. echo-endo) bien limité tout autour par la musculeuse en hyposignal T2 par rapport à la tumeur
    • Marge circonférentielle de résection (CRM) : préciser distance minimale entre tumeur/gg et fascia recti (en axial)
    • T3 CRM- : atteinte mesorectum sans atteinte marge circonférentielle de résection (>5mm)
    • T3 CRM+ : atteinte mesorectum avec atteinte marge circonférentielle de résection (par la tumeur ou par les ganglions). Donner distance
      • < 1 mm
      • 1-5 mm
      • > 5mm
    • T3 : signe d’atteinte du mesorectum
      • Rupture du contour noir de la musculaire muqueuse
      • Extension avec spicules (peut être uniquement une réaction demosplastique, mais il faut surestimer)
    • T4 : atteinte organes adjacents / sphincters / plancher pelvien / péritoine (haut rectum)
  • Stade N :
    • Préciser en horaire, mesorectum (avec distance par rapport au fascia R) et iliaque
    • Mesurer tous le GG en petit axe et distance par rapport au fascia recti
    • Ganglion suspect = petit diamètre
      • ≥ 5 mm en périrectal
      • ≥  7 mm en iliaque interne
      • ≥ 10 mm iliaque externe
    • Hétérogène, contours spiculés, irréguliers
  • Préciser la distance inférieure (rectum bas) pour le chirurgien
    • Marge < 20 mm par rapport au pole inférieur de la tumeur
    • Atteinte du sphincter interne : défaut de rehaussement
    • Atteinte sphincter externe (pubo-rectal) / ilio-coccygien

 

STADIFICATION TNM : exemples

T1  
T2  
T3

 

 

T4

 

 

 

Traitement

Guérir et préserver la fonction sphinctérienne

  • Si T3/T4 et/ou N+ (sauf haut-rectum) radioTTT externe préop + chimioTTT préop si CRM+
  • Puis nouvelle IRM à 6-8 semaines après fin radiothérapie
  • Chirurgie si nouvelle IRM satisfaisante ou d’emblée si T1-T2
    • Haut rectum = résection antérieure
    • Moyen rectum = exérèse totale du mésorectum (passage récidive locale de 40 à 11%)
    • Bas rectum= résection inter-sphinctérienne ou amputation abdomino-périnéale (si sphincter externe ou plancher atteint)

 

 

Compte-rendus types

[IRM] Rectum

 

Tube digestif – Canal anal [IRM]

Protocole IRM d’exploration du canal anal (fistule)

  • Canule sans remplissage
  • Petite FOV 20x20cm
  • Coupes selon plan canule
  • Axiale, coronale, sagittale T2
  • Axiale T2 Fat-Sat
  • 3DT1 gado Fat-Sat (ou axiale, coro/sag T1 gado FAT SAT)
coupes

 

 

ANATOMIE

  • Sphincter interne : lisse prolongement musculeuse rectale isoT2 réhaussé
  • Sphincter externe : strié faisceau pubo-rectal du releveur hypoT2 non réhaussé

 

 

 

CRITÈRES SÉMIOLOGIQUES DE LA fistule anale

  • Fistule : trajet anormal connectant deux surfaces épithéliales
  • Un orifice primaire profond s’abouchant dans la lumière du canal anal
  • Un orifice superficiel le plus souvent cutané, plus fréquentes en arrière (abondance des glandes anales)
  • À décrire :
    • Caractère simple/complexe, caractère actif/non actif de la fistule (Pdc, collections)
    • Type selon classification de Parks définie par le trajet de la fistule « primaire »
    • Localisation des orifices et des trajet fistuleux selon le cadran horaire
    • Description des trajets secondaires en cas de fistule complèxe / atteinte organe adjacent
    • Recherche de collection (CI anti TNF alpha dans MC)

 

Fistule inter-sphinctérienne (45%)  fis
Fistule trans-sphinctérienne (30%) fts
Fistule supra-sphinctérienne (20%) fss
Fistule extra-sphinctérienne (5%)

  • Directement sur le rectumRespect des sphincters
fes
Fistule complexe

  • Si trajet secondaire (souvent borgnes)
  • Inter sphinctérienne (A)
  • Ischio anale (B)
  • Supra lévatorienne (C)
  • Trajet en « fer à cheval », « en V » ou « en Y »
  • Communication avec organe de voisinage (scrotum, vagin)
fc

Tumeurs surrénaliennes

Scanner

Protocole scanner

  • Sans IV : regarder présence de nodule
    • Uniquement sans IV si absence nodule
    • Uniquement sans IV si suivi nodule (apprécier évolution de taille)
    • Uniquement sans IV si nodule de densité < 10 UH
  • Portal : 60-90s
  • Tardif : 10-15mn
  • ROI : 2/3 de la lésion, en dehors de calcifications

 

Densité spontanée

  • < -30UH : myléolipome
  • = 0 UH : kyste
  • < 10UH : adénome
  • > 10UH : non caractérisable

 

MESURE DU WASH OUT RELATIF AU SCANNER

(UHportal-UHtardif)
—————————- x 100
(UHportal)
> 40% ⇒ adénome (Se96%, Sp100%)
< 40% ⇒ faire IRM

 

Critères scanographiques pour affirmer l’adénome

  • Densité spontanée < 10 UH ⇒bénin
  • Si > 10 UH ⇒ calcul du % lavage absolu : TDM- / TDM1 min / TDM15 min
  • % lavage absolu = ((UH1 min – UH15 min)/(UH1 min – UH0 min))
    • Si < 40 % : lésion indéterminée ⇒ IRM avec in and out phase
    • Si > 40 % : adénome

Tumeur de densité lipidiques + pseudocloisons + calcifications ponctiformes = myélolipome


IRM

Protocole IRM

  • Axiale T1, Axiale/Coro T2
  • Axiale T1 in & out phase
  • Axiale T1 FAT SAT sans puis après injection de gadolinium

 

MESURE DU WASH OUT RELATIF EN IRM

Recherche de graisse intra cellulaire par chute de signal entre les séquences in et out phase en faveur d’un adénome

(Sinphase-Soutphase)/Sinphase x 100
>20% ⇒ adénome

En absence de contexte cancer : 2-10% incidentalomes sur les examens

 


 Types histologiques des tumeurs surrénaliennes

LÉSION CARACTÉRISTIQUES IMAGERIE
ADÉNOME
  • Lésion bénigne de la corticale
    • Non sécrétant : 70%
    • sécrétion cortisol : 8%
    • Hyperaldostéronisme primaire : 1%
  • Hyper métaboliques au TEP : 30% (svt qd pauvre en lipide avec densité > 10 UH)
  • Bilatéral 15%
  • Rond, homogène, régulier, < 3cm
  • Graisse intra-cellulaire :
    • Densité spontanée < 10UH
    • Chute de signal IPOP > 20%
    • Wash out relatif > 40%

Plus d’images ici

MÉTASTASE
  • Souvent primitif connu : mélanome, poumon, sein, rein, côlon, lymphome, pancréas
  • Souvent bilatéral (30-50%)
  • Contours irréguliers, svt >4cm
  • Hétérogène avec nécrose/hgie


Plus d’images ici

PHÉOCHROMOCYTOME
  • Tumeur de la medullosurrénale
  • Triade de Ménard avec HTA (céphalées, palpitations, sueurs)
  • Dosage bio : métanéphrines urinaires et plasmatiques
  • Non sépcifique
  • Svt > 4cm, hétérogène avec nécrose centrale possible

Plus d’images ici

MYELOLIPOME
  • Lésion bénigne de la moelle osseuse
  • Tissu graisseux mature
  • Possible transformation hémorragique
  • Plage graisseuse :
    • Densité <-30UH
    • hyperT1 effacé en FAT SAT
  • Ca2+ fréquentes >20%

Plus d’images ici

KYSTE
  • Lésion bénigne
  • Possible transformation hémorragique
  • DDx: schwannome/phéo kystique
  • Rond, régulier, parois fines, <3cm
  • Contenu liquidien :
    • Densité spontanée 0-20UH
    • HypoT1/hyperT2 liquidien
    • Pas de prise de contraste
  • Parfois Ca2+ pariétales fines

Plus d’images ici

HÉMATOME
  • Post-traumatique*
  • Spontané (anticoagulants, choc septique)
  • Lésion préexistante (méta, K, myélolipome)
  • Aigu
    • Hyperdense spontanément
    • hyperT1 et T2
  • Chronique
    • HypoT1 et T2
  • Ca2+ central ou périkystique si non résorbé

Plus d’images ici

HYPERPLASIE BILATÉRALE DES SURRÉNALES
Hyperaldostéronisme primaire
  • Taille
    • Harmonieux
    • Jambages > 5mm
    • Corps > 8mm
  • Morphologie
    • Bords convexes
    • +/- lobulés

Plus d’images ici

CORTICOSURRENALOME
  • Tumeur primitive maligne de la corticale
  • Adulte jeune 30-50 ans
  • Survie à 5 ans <20%
  • Sécrétion cortisol fréquente
  • Bilatérale 5%
  • Tissulaire, >4cm, bords irréguliers, hétérogène (nécrose), Ca2+, prise de contraste tissulaire sans lavage
  • Métastases: rétropéritonéales, veine cave, foie

Plus d’images ici

Articulations temporo-mandibullaires

Protocole IRM d’exploration des articulations temporo-mandibullaires

  • Exploration bilatérale
  • Séquence DP : meilleure résolution en contraste, antenne de surface
    • Coupes sagittales strictes positions extrêmes d’ouverture
    • Coupes sagittales strictes positions extrêmes fermeture buccale
    • Coupes coronales strictes bouche fermée : recherche de déplacements latéraux

ATM

 

ANALYSE des Articulations temporo-mandibullaires

  • Ménisque : position (sagittale et coronale), forme, signal
  • Ligaments et tendon du muscle ptérygoïdien latéral
  • Structures osseuses, remaniements dégénératifs, épanchement

ATM

 

MÉNISQUE

  • Forme : lentille biconcave, bourrelets antérieur et postérieur
  • Position :
    • Sagittal
      • Bouche fermée
        • Bourrelet postérieur « à midi » avec tolérance +/- 10° en avant
        • Zone intermédiaire « à 10h »
      • Bouche ouverte
        • Zone intermédiaire coiffe le condyle
    • Coronal
      • Ne dépasse les bords condyliens
  • Signal : hyposignal T2 et DP

 

DÉSUNION CONDYLO MÉNISCALE

  • ATMGrade 1 [DCM débutante réductible] : perte de contact condyle et bourrelet antérieur,
    réduit en bouche ouverte
  • Grade 2 [DCM évoluée réductible] : bourrelet post en avant du condyle avec petit contact résiduel, réduit en bouche ouverte
  • Grade 3 [Dislocation condylo-méniscale] : disque refoulé en avant irréductible

 

REMANIEMENTS dégénératifs

  • Mieux analysés au scanner, surtout le condyle
  • Aplatissement, érosions, ostéophytes, ostéocondensation

 

PERFORATION DU DISQUE

  • Difficile à voire par mauvaise résolution spatiale
  • Plutôt en zone intermédiaire

 

Prostate PI-RADS

Pour chaque lésion: 3 variables cotées /5 à additionner pour un score PI-RADS pondéré de risque lésion maligne /15

  • SIGNAL /5 : deux cotations différentes selon localisation périphérique ou transitionnelle
  • DIFFUSION et ADC /5
  • COURBE DE REHAUSSEMENT /5

En ZP la diffusion serait le mieux pour le diagnostic

En ZT le signal serait le mieux pour le diagnostic

 

 

[IRM] Prostate

Prostate [IRM]

Protocole IRM d’exploration de la prostate

  • Axe perpendiculaire à la face antérieure du rectum ou face postérieure de la prostateABD - Prostate IRM 10-09-2014.pptx
  • Nécessaire avant toute biopsie
  • 1mg de glucagon SC
  • Préparation pour vacuité rectale
  • 3 plans T2 (3 mm d’épaisseur)
  • Axial diffusion
  • Axial ganglions T2EG (FFE, True FISP, Fiesta) : bifurcation aortique jusqu’au périnée
  • Dynamiques T1 FS toutes les 15 s minimum, (3 mm, 3 mL/s) pendant 5 min minimum pour le wash-out
  • +/- ax T1FS si biopsies (remaniements hémorragiques) : inclus dans dynamiques

 

Anatomie IRM de la prostate

ABD - Prostate IRM 10-09-2014.pptx (1)

  • Compartiment externe (HST2) : zone périphérique + zone centrale
  • Compartiment interne (hST2) : zone transitionnelle + glandes péri-urétralesABD - Prostate IRM 10-09-2014.pptx (2)
  • Stroma fibro-musculaire antérieure (très hT2 et iso ADC) : fibreux
  • Capsule périphérique : hypoT2
  • Vésicules séminales HT2 liquidien avec logettes (flèche orange)
  • Ampoules déférentielles hypoT2 (flèche violette) (DDx cancer de la base)

 

Dosage des PSA

  • < 4ng/mL : normal
  • 4-10 ng/mL : suspect
  • > 10 ng/mL : pathologique

 

Schéma à 27 régions de la prostate

  • La zone antérieure démarre à 17 mm du bord postérieur de la prostate ce qui correspond à la longueur d’un échantillon de biopsie
  • Zones 1p et 7p : parfois en hyperT2 et ADC bas physiologique (Z centrale : signe du « fer à cheval »)

Public_Prostate_irm

  • Zone périphérique : 70% cancers et prostatite
  • Zone centrale : n’existe quasiment plus chez les patients âgés, 5% des cancers
  • Zone transitionnelle : 25% des cancers et hypertrophie bénigne de prostate
  • SFMA : stroma fibromusculaire antérieur

 

Deux indications principales de l’IRM de prostate

  • Chez patient avec PSA élevés : recherche d’une lésion suspecte pour biopsie ciblée quand première série de biopsies systématiques négatives
  • Quand lésion diagnostiquée en biopsie : évaluation de l’extension loco-régionale: extension au-delà de la capsule (T3a), atteinte vésicule séminale (T3b), atteinte organe de voisinage (T4), extension ganglionnaire

 DDx cancer : prostatite : hypoT2 diffus zone périphérique rehaussement diffus

 

Évaluation du poids de la prostate

 

Description de l’IRM de prostate

  • Éliminer les remaniements hémorragiques en hypersignal T1 qui provoquent des hyposignaux T2 (DDx cancer de prostate)
  • Lésion en hypoT2, en hypersignal diffusion, avec rehaussement précoce et lavage tardif
    • – Pour SFMA: simple prise de contraste ou isosignal T2
    • – A localiser sur le schéma 27 régions
  • Essayer de donner un score PI-RADS et/ou échelle de Likert pour chaque lésion
  • rechercher un franchissement capsulaire ou vésicule séminale
  • rechercher une atteinte d’un organe de voisinage
  • évaluer l’extension ganglionnaire sur séquence T2 et T2 ganglions (tailles des ganglions)
  • rechercher une atteinte osseuse dans le champs d’exploration

 

Critères de franchissement capsulaire : (T3a)

  • Bombement focalisé du contour prostatique
  • Interruption, épaississement de la « capsule »
  • Infiltration de la graisse périprostatique
  • Asymétrie des bandelettes neurovasculaires
  • Interruption des plexus veineux périprostatiques

Critères d’atteinte des vésicules séminales : (T3b)

  • Parois épaissies et irrégulières
  • perte de son hypersignal T2
  • Comblement de l’angle prostato-séminal avec envahissement direct à partir de la base

 

[IRM] Prostate

Vertige aigu

PROTOCOLE IRM vertige

  • IRM meilleure modalité d’exploration voies centrale/périphérique VIII et labyrinthe
  • Axiale FLAIR
  • Axiale diffusion
  • 3D T2 haute résolution en fosse postérieur (CISS, DRIVE, FIESTA…)
  • 3D T1 après injection de gadolinium +- ax T1 fin fosse postérieure

 

Causes multiples

  • Vertiges bref positionnels : vertige paroxystique positionnel bénin
  • Prolongé : névrite vestibulaire, AVC, SEP, labyrinthite, contusion
  • Récurrent : maladie de Ménière, migraine…

 

PLAN d’analyse

  • Encéphale : recherche anomalie encéphale / tronc (noyau du VIII)
  • Paquet acoustico-facial : masse VIII, sur trajet, Pdc asymétrique
    • Tumeur sur le trajet du paquet acoustico-facial, boucle vasculaire, Schwannome du VIII, névrite vestibulaire
  • Signal du labyrinthe / aqueduc vestibule
    • Malformation, Pdc labyrinthe : labyrinthite / schwannome, hémorragie labyrinthique (HS T1 et FLAIR), dilatation aqueduc du vestibule (maladie de Ménière)

Tumeurs du pancréas

Tumeur pancréas

Protocole d’exploration des tumeurs du pancréas

  • Scanner abdomino pelvien
  • Sans, artériel, portal, tardif

 

Critères sémiologiques des tumeurs du pancréas

  • Adénocarcinome pancréatique
    • 8% des cancers digestifs
    • < 20% avec chir possible au moment du diagnostic
    • 70 ans
  • Masse tissulaire fibreuse
    • Hypodense
    • HypoT1, T2
    • Ne se rehaussant pas précocement
    • Réhaussement au temps tardif
  • Rechercher
    • Dilatation de VBP ou CPP surtout qd atteinte de la tête
    • Double duct sign (quand dilatation des deux)
    • Atrophie parenchymateuse d’amont (par obstruction d’amont)
    • Pseudokyste d’amont
  • Si chirurgie envisagée (duodéno-pancréatectomie céphalique ou pancréatectomie G + splénectomie)
    • Vérifier absence de ligament arqué sur le tronc coeliaque (vascularisation hépatique et pancréatique dépendantes de l’AMS par la gastro-duodénale)
    • Chercher des variantes artérielles hépatiques
    • Chercher des variantes du PK (annulaire mésentérique ou duodenal)
  • Critères absolus de non résécabilité :
    • Envahissement vasculaire artériel (tronc coeliaque, AMS, artère hépatique) :
      • Thrombose
      • Irrégularité contours
      • Englobement > 180°
      • Sténose
    • Envahissement de la lame rétroportale (LRP) riche en éléments vasculaires, lymphatique et nerveux : commencer par une CHIMIO
    • Envahissement ganglionnaire métastatique à distance de la tumeur (classe M+) (gglions directement au contact ne contrindiquent pas)
    • Métastases à distance ou carcinose péritonéale
    • Envahissement veineux est un critère relatif de résécabilité

 

Compte rendu d’exploration des tumeurs du pancréas doit mentionner

 

TNM – Pancréas

Échographie ganglionnaire du mélanome

Sémiologie d’un ganglion pathologique dans le mélanome

  • Sphérique : rapport petit axe/grand axe > 33%
  • Rapport cortex/petit axe > 55%
  • Très hypoéchogène (< muscle) avec perte du hile
  • Ou anéchogène avec renforcement postérieur
  • Si doute : contrôle précoce à 1 mois
  • Cf. adénopathie
 mélanome

 

Zones d’exploration ganglionnaires dans le mélanome

  • Pour tous les stades
    • Exploration de la cicatrice : recherche de récidive locale
    • Exploration autour de la cicatrice et sur le trajet vers le premier relais GG à la recherche de métastase en transit
  • Stades  I et II (pas d’atteinte ganglionnaire connue, GG sentinelle négatif)
    • Echographie abdominale uniquement en bilan initial
    • Membres : homolatérale
      • N’explorer que les 2 premiers relais ganglionnaires
      • Avant-bras, main : épitrochlée + axillaire
      • Bras : axillaire + sus-claviculaire
      • Jambe, pied : poplité + inguinal
      • Cuisse : inguinal + iliaque
    • Si un site est pathologique, explorer les 2 relais ganglionnaires suivants
    • Tête et cou : bilatéral  
    • Tronc : bilatéral 
      • Axillaire + inguinal + sus-claviculaire + thoracique interne
  • Stade III  (atteinte GG connue au curage)
    • Membres : 2 premiers relais GG au-dessus du curage
    • Tête et tronc : idem stades I et II
    • + échographie abdominale systématiques
  • Stade IV (métastase à distance): SCANNER

 

Technique du ganglion sentinelle dans le mélanome

  • Injection sous-cutanée autour du mélanome d’un traceur à la recherche du premier relais ganglionnaire, pour le prélever et rechercher si ganglion atteint ou non

 

 

Tumeurs hépatiques – Angiome hépatique

ANGIOME CAVERNEUX

  • A reconnaître +++
  • Unique 90%
  • 80% < 4cm
  • Franc hT1, HT2 liquidien, contours polylobés, disparait en bili-IRM
  • Prise de contraste en mottes discontinues, précoce, avec remplissage centripète (lacs veineux) progressif jusque complet (tardif+++)
  • Possible portion liquidienne centrale : dégenerescence mucoïde

 

 

ANGIOME CAPILLAIRE (hémangiome)

hémangiome

  • Pdc intense équivalent à l’aorte à tous les temps
  • Diagnostic en échographie : si 4 critères présents
    1. Hyperechogène homogène, sans signal Doppler couleur +- renforcement postérieur
    2. < 3cm
    3. Bilan hépatique normal
    4. En dehors de contexte néoplasique
  • DDx : lésions fibreuses avec remplissage centripète:
    • Cholangiocarcinome fibro-lamellaire : Pdc périph mais CONTINUE
    • Métastase d’ADK colique mucineux (HT2 liquidien) ou neuroendocrine : Pdc tardive périph CONTINUE jamais complète

 

Exemples d’angiomes hépatiques

  • Angiome géant

 

 

  • Angiomes et adénome graisseux

 

 

Tumeurs hépatiques – Kyste biliaire simple

Critères sémiologiques du kyste biliaire simple

  • 70% lésion unique
  • Franc hypoT1, HST2 liquidien homogène (sans niveau) visible en bili-IRM
  • HS diffusion diminuant en pondération diffusion augmentant, absence de Pdc
  • Echo suffisant pour diagnostic :
    • Arrondi ou polylobé, à paroi fine et régulière, anechogène avec renforcement postérieur

Kyste biliaire simple

 

Diagnostics différentiels de kyste biliaire simple

  • Métastases liquidiennes avec niveaux
  • Kyste hydatique
  • Dilatation concentrique des voies biliaires (syndrome de Caroli)
  • Abcès hépatique

Tumeurs hépatiques [algorithme]

Protocole d’exploration des tumeurs hépatiques

IRM

  • Axiale T1 IP/OP : recherche de graisse intracellulaire / stéatose
  • Axiale T2 Fat Sat : signal lésion/foie
  • Axiale/3D gado T1 Fat Sat: sans injection, temps artériel parenchymateux 35s, portal, tardif: étudier le rehaussement lésionnel

Scanner

  • Sans / Artériel / Portal / Tardif

 

Plan d’analyse des tumeurs hépatiques

  1. Connaître le contexte
  2. Chercher une dysmorphie hépatique et des signes d’hypertension portale
  3. Rechercher une anomalie globale du signal hépatique (foie non tumoral / foie sain) en T2 et T1 IP/OP par rapport à la rate
  4. Éliminer une pseudo-lésion :
    • Artefact de pseudo-lésion
    • Troubles de perfusion
    • Stéatose focale
    • Îlot de foie sain dans la stéatose
  5. Caractérisation avec élimination des 3 lésions bénignes (Cf. Tableau)

  6. Approcher le diagnostic grâce aux gammes diagnostiques lésionnelles
  7. Rechercher une variante anatomique artérielle ou veineuse

 

Tableau récapitulatif des tumeurs hépatiques bénignes

 

  Hémangiome HNF Adénome
Écho Hyper
Homogène
Renforcement post
Iso / hypo / hyperhomogène Hyper
Hétérogène
Doppler Centrale
Artériel
Basse résistance
Pauvre
Veineuse
Périphérique
TDM – : hypo
A : motte
P : motte Centripète
T : persistant
Intense
Fugace
Homogène
Zone centrale hypo à rehaussement tardif
Intense
Fugace
Hétérogène
Zone central hypo sans rehaussement
IRM Hyper T2
hypo T1
Pdc en motte
Intense
Fugace
Homogène
Zone centrale hypo à rehaussement tardif
Intense
Fugace
Hétérogène
Zone central hypo sans rehaussement
Image clef

Angiome hépatique

Scanner d’angiome hépatique au temps portal

Scanner d'hyperplasie nodlaire focale au temps tardif

Scanner d’hyperplasie nodlaire focale au temps tardif

Scanner d'adénome au temps artériel

Scanner d’adénome au temps artériel