Site icon PinkyBone

Epilepsie

Protocoles IRM pour épilepsie

♦ soit Patient < 30ans avec crises comitiales répétées réfractaires depuis l’enfance
  • Rechercher une malformation : examen morphologique, pas besoin d’injection (sauf si découverte tumeur gliale)
  • 3D T1 inversion récupération (morpho sillons/hippocampe + contraste SG/SB) ou coro T1IR
  • 3D FLAIR ou axiale FLAIR (signal parenchymateux et hippocampique), voir si gliose
  • Coronale T2 plan CA/CP si CC général, T2 fin plan hippocampe si CC temporale
  • Axiale T2* (saignement et cavernôme)
  • Plan coronal oblique pour  analyse hippocampe
♦ soit Patient > 40ans avec apparition récente de crises comitiales
  • Recherche de tumeurs notamment métastase, ischémie, thrombose veineuse cérébrale, infection
  • Axiale FLAIR
  • Diffusion
  • Axiale T2*
  • 3D T1 IV+
  • Axiale T1 IV+

 

Lésions à rechercher dans un bilan d’épilepsie

    • Sclérose hippocampique
    • Dysplasie corticale focale
    • DNET && Gangliogliome
    • Anomalie de développement cortical
    • Status épilepsticus
    • Malrotation hippocampique

 

 

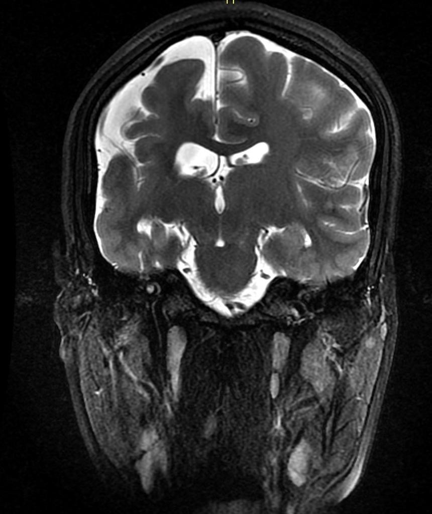
Sclérose hippocampique

    • Sclérose de la corne d’Ammon =  sclérose temporale mésiale
    • Mieux visible en 1,5 Tesla, à opérer
    • 1ère cause épilepsie partielle pharmaco-résistante adulte/enfant (50/70%)
    • Souvent suite à crise convulsive hyperthermique
    • Excellent pronostic après chirurgie (cortectomie)
    • Svt unilatéral, atteinte bilatérale possible
    • Sémiologie
      • Perte des digitations de la tête de l’hippocampe (seul signe au début)
      • Atrophie (perte hauteur)
      • Gliose (hyper T2/FLAIR)
      • +/- Atrophie du Gyrus ParaHippocampique (GPH)
      • +/- Atteinte du pole temporal avec HS (ne modifie pas le pronostic post-op)
      • +/- Atrophie fornix et corps mamillaire du côté atteinte (atteinte associée du système limbique)
      • +/- Dilatation réactionnelle corne temporale
    • DDX : malrotation hippocampique

 

DYSPLASIE CORTICALE FOCALE

  • Mieux visible à 3 Tesla, à opérer
  • Malformation avec cortex anormal en position anormale
  • 2ème cause d’épilepsie pharmaco-résistante chez l’adulte
  • FRONTALE et CENTRALE (sillons frontaux sup et inf)
  • Frontale > centrale > parietale > occ > temp
  • 1/3 IRM négative (30%)
    • Elargissement focal du ruban cortical en T1
    • Flou du contour SB/SG : « blurring »
    • +/- HS cortex et SB adjacente
    • Bande en HS FLAIR rejoignant VL : « transmental sign »

 

 

ANOMALIE DE DÉVELOPPEMENT CORTICAL 

  1. Anomalie de la gyration:
    1. Lissencéphalie : surface cérébrale lisse sans sillon, à cortex épais
    2. Pachygyrie : quelques sillons, cortex épais
    3. Polymicrogyrie : nombreux sillons avec cortex épais
    4. Schizencéphalie : fente hémisphérique, étendue de la surface cérébrale au ventricule, bordée par du cortex anormal polymicroG, sans gliose adjacente, à lèvre ouverte ou fermée
    5.   DDx : cavité séquellaire: pas de cortex adjacent mais gliose
  2. Anomalie de la migration : hétérotopie de substance grise (iso T1, T2, FLAIR à SG)
    1. Hétérotopie nodulaire : le long des ventricules latéraux les déformant
    2. Hétérotopie en bande : en bande sous-corticale

 

 

STATUS EPILEPTICUS : anomalies de signal suite à crises comitiales répétées

  • Hypersignal T2 SG et/ou SB sous-corticale, effet de masse
  • Possible HS diffusion avec baisse ADC en aigu, mais atteinte pls territoires (DDx ischémie)
  • Possible Pdc lésionnelle et/ou méningée.
  • Selon localisation épilepsie, possible atteinte transitoire hippocampe, splénium du corps calleux, ou thalamique (pulvinar): atteinte associative des structures fonctionnelles « relais »
  • Résolutif en qqes jours à semaines.

 

MALROTATION HIPPOCAMPIQUE

  • Responsabilité incertaine dans l’épilepsie
  • Peut être associé à d’autres anomalies malformative
    • Aspect globuleux et position trop médiale de l’hippocampe
    • Verticalisation du sillon collatéral plus profond

 

 

Compte-rendu type

[IRM] Epilepsie

Quitter la version mobile