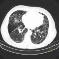
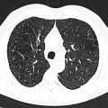
Coronavirus – COVID 19

Protocole

  • Scanner thoracique sans injection de produit de contraste.
  • Masquer le patient et lui faire désinfecter les mains au gel hydro alcoolique
  • Surblouse patient à usage unique
  • Manipulateur : masque FFP2, gants à usage unique, surblouse jetable, lunettes de protection.
  • Désinfection de la table du scanner après passage du patient.
  • Désinfection du manipulateur après passage du patient.
  • Le manipulateur qui installe le patient dans le scanner est différent de celui qui fait les images à la console.

Sémiologie

  • Opacités en verre dépoli (présentes chez tous les patients hospitalisés)
    • Multiples
    • Triangulaires
    • Périphériques
    • Bilatérales
    • A prédominance basale
  • Aspect de crazy paving
    • Verre dépoli
    • Épaississements inter et intra lobulaires
  • Condensations alvéolaires
  • Élargissements vasculaires au sein des lésions
  • Bronchectasies par traction
  • Images associées possibles moins typiques
    • Adénopathies médiastinales
    • Épanchement pleural
    • Micronodules pulmonaires multiples

Lésions élémentaires

Lésions élémentaires au scanner thoracique

Syndrome réticulaire

  • Opacités linéaires ne respectant pas l’architecture du poumon
  • Distribution périphérique sous pleurale
  • Distorsion  des lobules pulmonaires secondaires et des bronches
  • Bronchectasies par traction avec déplacement des scissures
  • Rayon de miel

 Verre dépoli

Bronchectasies

  • Cylindriques
  • Variqueuses
  • Kystiques

Épaississements bronchiques

Emphysème

  • Centro lobulaire
  • Pan lobulaire
  • Paraseptal

Opacités linéaires

  • Lignes septales = épaississement anormal des septa interlobulaires
  • Opacités linéaires translobulaires = traverse un ou plusieurs lobules pulmonaires sans systématisation

OAP

Sarcoïdose thoracique

Généralités

    • Initialement : alvéolite lymphocytaire et macrophagique
    • Secondairement : granulomes
    • Les granulomes siègent dans les parois alvéolaires, le long des bronches, dans l’interstitium sous-pleural et dans les septa interlobulaires

Radiographie

    • Adénopathies hilaires et médiastinales
      • Bilatérales, symétriques, volumineuses, non compressives
      • Calcifiées, si chronique
    • Anomalies parenchymateuses
      • Nodulaire ou réticulonodulaire
        • Bilatérale et symétrique
        • Régions supérieures et moyennes.
      • Fibrose
        • Rétraction des lobes supérieurs
        • Ascension des hiles
        • Rayon de miel
        • Opacités linéaires diffuses.

Stade

Aspect radiographique

0

Radiographie du thorax normale

I

Adénopathies isolées ( hilaires, bilatérales, symétriques, polylobées, non compressives, non calcifiées; pouvant s’associer à des adénopathies de la loge de Barety et de la fenêtre aorto-pulmonaire)Absence de signes radiographique d’atteinte pulmonaire

II

Adénopathies associées à une atteinte pulmonaire non fibreuse (opacités parenchymateuses interstitielles, de siège périphérique, avec des images nodulaires, réticulées, des lignes de Kerley B )

Case courtesy of A.Prof Frank Gaillard, Radiopaedia.org. From the case rID: 6546

III

Atteinte pulmonaire non fibreuse et sans adénopathies

IV

Signes radiographiques de fibrose pulmonaire

Case courtesy of A.Prof Frank Gaillard, Radiopaedia.org. From the case rID: 7690

Scanner

  • Pas d’injection de pdc nécessaire
  • Lésions inflammatoires  réversibles sous corticothérapie
    • Micronodules et nodules

      Case courtesy of A.Prof Frank Gaillard, Radiopaedia.org. From the case rID: 6545

      • Fréquentes ++
      •  Localisation lymphatique
      • Topographie péri-bronchovasculaire et le long des septa interlobulaires et de la plèvre
      • Contours nets
      • Prédominence péri-hilaire et dans les régions moyennes et supérieures, principalement dans les segments postérieurs (segment postérieur du lobe supérieur droit)
      • Rarement excavés.
    • Épaississements péribronchovasculaires

      Case courtesy of A.Prof Frank Gaillard, Radiopaedia.org. From the case rID: 6545

      • Bronches proximales et distales.
    • Opacités alvéolaires
      • Peuvent confluer et donner des condensations
      • Prédominance postérieure et supérieure.
    • Plages en verre dépoli
      • Hétérogènes
      • Multifocales
      • Prédominance postérieure et supérieure
  • Adénopathies médiastinales et hilaires

    Case courtesy of Dr Henry Knipe, Radiopaedia.org. From the case rID: 53141

    • Bilatérales et symétriques
    • Péritrachéal
    • Peuvent se calcifier.
  • Lésions de fibrose, irréversibles.
    • Distorsion bronchique
      • Déplacement bronchovasculaire
      • Déplacement et déformation scissurale
      • Déformation des polygones septaux
      • Distorsion bronchique
      • Bronchectasies
      • Emphysème paracicatriciel
      • Prédominance au niveau des lobes supérieurs.
    • Masses de fibrose
    • « Rayon de miel »
    • Opacités linéaires hilopériphériques ou septales
    • Prédominance dans les territoires moyen et supérieurs
  • Complications
    • Cavitation
      • Cavitation vraie
      • Bulles d’emphysème paracicatriciel
      • Bronchectasies kystiques
      • Infection tuberculeuse ou aspergillaire
    • Complications bronchovasculaires
      • Bronchectasies
      • Trouble ventilatoire obstructif par sténose bronchique
      • Compression ganglionnaire
      • Bronchiolite granulomateuse
    • Hypertension artérielle pulmonaire

Amiante

Protocole scanner amiante

  • Acquisition en decubitus dorsal sans injection
  • +/- Acquisition focale en procubitus si anomalies pleurales ou postéro-basale (éliminer les opacités gravito-dépendantes)
  • Analyse en coupes fines et en MIP 5 mm

Parenchyme (asbestose)

Plutôt sous-pleural postéro-basal bilatéral : persistant en procubitus +++ (DDx des opacités gravito-dépendantes)

Case courtesy of A.Prof Frank Gaillard, Radiopaedia.org. From the case rID: 8756

  1. Micronodules centro-lobulaires sous-pleuraux (anomalie la plus précoce)
  2. Lignes courbes sous-pleurales (et réticulations septales) à qqes mm de la plèvre (DDx tassement de tissu pulmonaire devant ostéophyte)
  3. Verre dépoli, condensations
  4. Rayon de miel et fibrose (évolution) correspondant à l’asbestose
  5. Réticulations à raccordement pleural (-spécifique)

Conclusion du compte-rendu pour asbestose : analyse sur 3 niveaux de (carène, veines pulmonaires inférieures, culs-de-sac pleuraux)

  • Asbestose absente : que des opacités gravito-dépendantes, aucune lésion interstitielle
  • Images interstitielles indéterminées : images interstitielles postérieures en decubitus sans procubitus (en dehors de rayon de miel caractéristique de fibrose)
  • Images interstitielles isolées :
    • Images interstitielles de localisation autre que postéro-basale
    • ou anomalies spécifiques unilatérales strictes
    • ou anomalies spécifiques bilatérales sur un niveau de coupe <1cm de hauteur
    • ou anomalies spécifiques bilatérales clairsemées sur pls des 3 niveaux de coupes
  • Asbestose probable :
    • Anomalies spécifiques bilatérales sur un niveau de coupe >1cm de hauteur
    • ou anomalies spécifiques bilatérales non clairsemées sur pls des 3 niveaux de coupes
    • ou rayon de miel postéro-basal bilatéral sur 1 niveau de coupe

Plèvre

  1. Plaques pleurales plaque(fibrose plèvre pariétale) : quadrangulaire, à bord abrupte +-calcifiée, qq mm à pls cm (correspond à plaques aussi si non quadrangulaire non calcifié mais multiples), tendance à la symétrie, SI POST PERSISTANTE EN PROCUBITUS+++
    • Antéro-latérale en dehors du muscle triangulaire du sternum (3m au 5m espace)
    • Postéro-latérale dans les gouttières costo-diaphragmatiques (6m jusque cul-de-sac pleural), épargne cul-de-sac pleuraux
    • Sommet des coupoles diaphragmatiques
    • Respect : apex (BK : coiffe apicale), cartilage costal, culs-de-sac costo-diaphragmatiques, piliers diaphragmatiques
  2. Epaississement plèvre viscérale : séquelle d’épanchement : non spécifique d’amiante
    • Sous bord supérieur de la crosse aortique
    • Tissulaire, diffus, +- calcifié, atteignant souvent les culs-de-sac, associé à bande parenchymateuse ou pied de corneille ou atélectasie par enroulement
  3. Pleurésie bénigne : pas de spécificité à l’amiante

Cardiopathies

Cardiomyopathie hypertrophique (CMH)

  • Hypertrophie myocardique > 15 mm d’épaisseur en télédiastole (13 mm si ATCD familiaux)

    Cardiomyopathie hypertrophique (CMH)

    Case courtesy of Dr Frank Gaillard, Radiopaedia.org. From the case rID: 23727

    • Type I : partie antérieure du septum
    • Type II : tout le septum
    • Type III : septum et paroi antéro-latérale
    • Typer IV : n’importe où sauf septum

Cardiomyopathie dilatée (CMD)

  • VD dilaté

    Cardiomyopathie dilatée (CMD)

    Case courtesy of Dr Hani Al Salam, Radiopaedia.org. From the case rID: 10760

    • Diamètre > 42 mm à la base
    • Diamètre > 35 mm au milieu
    • Longueur > 86 mm
  • VD épaissi
    • Paroi > 5 mm
  • OD dilatée
    • Surface > 18 cm²
    • Diamètre max > 44 mm
    • Longueur max > 53 mm

Hypertension artérielle pulmonaire (HTAP)

  • Tronc de l’AP > 29 mm

    Hypertension artérielle pulmonaire HTAP

    Case courtesy of Dr David Cuete, Radiopaedia.org. From the case rID: 25661

  • Rapport AO/AP < 1
  • Classification Dana Point 2008
    1. Maladie veino-occlusive et/ou hémangiomatose capillaire pulmonaire
    2. Secondaire à une cardiopathie gauche
    3. Secondaire à une affection respiratoire
      • BPCO
      • PID
      • Autres
    4. HTAP post embolique chronique

HTAP

Scanner

  • Diamètre AP sup à 29 mm ou sup à celui de l’aorte.
  • Branches segmentaires sup à 1,1x le calibre bronchique dans 3 ou 4 lobes
  • Réduction rapide du calibre artériel
  • Dilatation et tortuosité des artères bronchiques
  • Dilatation et hypertrophie droite
  • Perfusion en mosaïque

Source : http://pe.sfrnet.org/Data/ModuleConsultationPoster/pdf/2010/1/1d7b80ca-0bd4-4794-b3c8-1624b9aa03f7.pdf

Classification de Venise (2003)

  • Groupe 1 : Hypertension artérielle pulmonaire (HTAP)
    • Idiopathique
    • Familiale
    • Associée à une condition sous-jacente :
      • Connectivite
      • Cardiopathie congénitale avec shunt
      • Hypertension portale
      • Infection VIH
      • Anorexigènes et drogues
      • Autres (dysthyroïdie, maladie de Gaucher, hémoglobinopathies, syndromes myéloprolifératifs, splénectomie, télangiectasie héréditaire)
    • Associée à une atteinte veineuse/capillaire :
      • Maladie veino-occlusive
      • Hémangiomatose capillaire
    • HTAP persistante du nouveau-né
  • Groupe 2 : Hypertension pulmonaire associée à une cardiopathie G
    • Cardiopathie auriculaire ou ventriculaire G.
    • Valvulopathie G
  • Groupe 3 : Hypertension pulmonaire associée aux maladies respiratoires et/ou à l’hypoxie
    • Bronchopathie chronique obstructive
    • Maladie interstitielle pulmonaire chronique
    • Pathologies respiratoires du sommeil
    • Hypoventilation alvéolaire
    • Exposition chronique à l’altitude
    • Anomalies du développement

Tuberculose thoracique

Sémiologie élémentaire

  1. Micronodule péribronchiolaire

    • Lésion élémentaire résultant de la dissémination bronchogène du bacille
    • Correspond au développement du granulome autour des bronchioles terminales
    • Ces micronodules ont tendance à confluer et paraissent appendus aux ramifications distales des axes broncho-artériels donnant un aspect en « fleur de mimosa » (également appelé « arbre en bourgeons » ou « tree in bud »
    • Siège le plus souvent au niveau des territoires les mieux ventilés càd les segments apicaux et dorsaux des lobes supérieurs et apicaux des lobes inférieurs
    • Sous traitement, ces micronodules disparaissent puis réapparaissent lors de la réactivation
  2. Nodule acinaire

    • Mesure de 5 à 10 mm
    • Confluence des micronodules péribronchiolaires
    • Les espaces aériens intralobulaires sont comblés par des lésions granulomateuses
    • Limites nettes et irrégulières
    • Peut exister des calcifications
    • Les nodules acinaires vont croître et confluer ce qui pourra donner des aspects divers (lésions macronodulaires, plages de condensation plus ou moins systématisées)
  3. Miliaire par dissémination hématogène

    Case courtesy of A.Prof Frank Gaillard, Radiopaedia.org. From the case rID: 6552

    • Micronodules de contours réguliers siégeant dans l’interstitium pulmonaire :
      • axial, le long des axes broncho-vasculaires
      • septal, dans la paroi alvéolaire
      • périphérique, sous la plèvre viscérale.
    • Cette micronodulation est souvent de répartition diffuse
    • Elle est assez rare et représente environ 2% des cas de tuberculose
    • Des images en verre dépoli peuvent être associées surtout chez les sujets dyspnéiques, elles doivent alerter car elles peuvent annoncer un syndrome de détresse respiratoire aiguë
  4. Lésions de cavitation

    Case courtesy of Dr Natalie Yang, Radiopaedia.org. From the case rID: 8599

    • Le comblement des espaces aériens par un processus granulomateux aboutit à la formation d’un foyer de condensation qui peut être secondairement le siège
      d’une nécrose caséeuse
    • Le caséum liquide va se drainer dans une bronche et donner naissance à une caverne tuberculeuse
    • Excavation à paroi épaisse et irrégulière, unique ou le plus souvent multiple, de taille variable
    • Elle siège le plus souvent au niveau des segments apicaux et dorsaux des lobes supérieurs ou des segments apicaux des lobes inférieurs.
    • Au stade aigu de l’infection, il est possible d’observer un niveau liquide au sein de la caverne, parfois associé à un sequestre.
    • Les images de cavitation sont surtout l’apanage de latuberculose post-primaire.
  5. Adénopathies médiastinales et hilaires

    • Présentes dès la phase de primo-invasion.
    • Peuvent se calcifier à la phase de guérison
    • Ganglions hilaires et chaîne paratrachéale droite
    • Nécrose caséeuse =>  hypodense
    • Involution sous traitement < 6 mois.
    • Complications
      • fistulisation des adénopathies médiastinales dans l’œsophage, le péricarde, la plèvre, la graisse médiastinale, la trachée
      • fistulisation des adénopathies hilaires dans les bronches
      • compression de l’arbre trachéo-bronchique, des structures vasculaires du médiastin, de l’œsophage
  6. Atteinte pleurale 

    • Epanchement peut se voir à tous les stades de l’infection (plutôt à la primo infection)
    • Epanchement libre ou cloisonné
    • Souvent unilatéral, de faible ou moyenne abondance
    • Séquelles pleurales : calcifications ou épaississement pleural
    • Evolution possible vers tuberculose pleurale chronique
  7. Atteinte bronchique

    • Soit par fistulisation d’adénopathies au contact
    • Soit par compression par des adénopathies entraînant des troubles ventilatoires en aval
  8. Séquelles de tuberculose thoracique

    • Opacités parenchymateuses (opacités en bandes, nodules calcifiés, opacités stellaires, masses)
    • Phénomènes de rétraction (désorientations scissurales et bronchovasculaires, lésions d’emphysème paracicatriciel)
    • Séquelles pleurales (épaississement pleural, calcifié ou non, localisé ou diffus, en « os de seiche »)
    • Bronchectasies
      • En aval d’une compression ganglionnaire
      • Destruction des parois bronchiques par un granulome
      • Distorsion et rétraction pulmonaire au stade de cicatrisation
    • Cavités tuberculeuses (voir complications)
    • Broncholithiase (calcification ganglionnaire qui a fait irruption dans l’arbre bronchique à la suite d’une fistulisation ganglio-bronchique)

Complications

  1. Anévrysme de Rasmüssen

    • Pseudo-anévrysme par atteinte granulomateuse de la paroi artérielle pulmonaire dans une caverne
  2. Médiastinite tuberculeuse

    • Secondaire à la fistulisation dans le médiastin d’adénopathies médiastinales avec nécrose caséeuse.
  3. Aspergillome intracavitaire

    • Fréquent ++
    • Le nodule aspergillaire est le plus souvent mobile mais parfois peut être fixé à la paroi
  4. Tuberculose pleurale chronique

    • Epanchement peu abondant dont les parois sont épaissies et souvent massivement calcifiées
  5. Empyème de nécessité

    Case courtesy of Dr Rupesh Namdev, Radiopaedia.org. From the case rID: 29054

    • Fistulisation d’un empyème pleural dans la paroi thoracique
  6. Atteinte vertébrale

    • Mal de Pott (rare)
  7. Cancer sur cicatrice

Résumé

Tuberculose primaire

Tuberculose post-primaire

  • Adénomégalies (hilaires, paratrachéales ou médiastinales, de caractère nécrotique)
  • Parenchyme
    • Petit infiltrat
    • Condensation sous-pleurale
    • Résistant aux ATB
  • Trachéo-bronchique (atélectasie par compression d’ADP, broncholithiase)
  • Plèvre (épanchement pleural)
  • Atteinte préférentielle des segments 1 et 3.
  • Infiltrat nodulaire
  • Condensation
  • Nodules (miliaire par dissémination hématogène, endobronchique , tuberculome)
  • Adénomégalie
  • Cavitation

Histiocytose X

Généralités sur l’Histiocytose X

  • Histiocytose x = histiocytose langerhansienne
  • Granulomatose
  • Touche les fumeurs +++, sujets jeunes masculins
  • Clinique : toux sèche, dyspnée
  • Radiographie de thorax
    • Opacités en verre dépoli voire alvéolaires, non systématisées, péri-hilaires

Scanner de l’Histiocytose X

  1. Phase granulomateuse de l’histiocytose x
    • Lésion élémentaire : nodule
    • Micronodules < 5 mm
    • Diffus
    • Dans les 2/3 supérieurs des poumons
    • Répartition centrolobulaire
  2. Phase kystique
    • Kystes = nodules troués puis excavés à paroi épaisse non nécrosés puis à paroi fine
    • Aériques ou à l’mporte pièce ou confluents
    • Diffus, sans prédominance de répartition
    • Tardivement : rayon de miel

HISTIOCYTOSE X

Pneumopathie infiltrante diffuse idiopathique

  IPF NSIP COP AIP RB-ILD DIP LIP
Rayon de miel +++          
Verre dépoli +++   + ++ + +++
Bronchectasies par traction + ++   +      
Epaississements bronchiques         +    
Opacités réticulées + ++         +
Gradient apico-basal ++ + + +   +  
Gradient baso-apical         ++    
Prédominence sous pleurale + + +   + +  
Opacités linéaires   + +        
Symétrique         +    
Micronodules flous     +   ++ + +
Emphysème centro-lobulaire       + +    
Condensations     +        
Distorsions parenchymateuses       +      
Kystes       +   + +

 

IPF [> 50%] (Idopathic Pulmonary Fibrosis = UIP – Usual Interstitial Pneumonia = PIC – Pneumopathie Interstitielle Commune) Case courtesy of Dr David Cuete, Radiopaedia.org. From the case rID: 27858 Case courtesy of Dr David Cuete, Radiopaedia.org. From the case rID: 27858
NSIP (Non Specific Interstitial Pneumonia = PINS – Pneumopathie Interstitielle Non Spécifique)

Case courtesy of Rogério Augusto Lima Guarneri, Radiopaedia.org. From the case rID: 31651

Case courtesy of Rogério Augusto Lima Guarneri, Radiopaedia.org. From the case rID: 31651

COP (Cryptogenic Organizing Pneumonia = PO – Pneumopathie Organisée, ancienne BOOP)

Case courtesy of Dr Mohammad Taghi Niknejad, Radiopaedia.org. From the case rID: 21347

Case courtesy of Dr Mohammad Taghi Niknejad, Radiopaedia.org. From the case rID: 21347

AIP (Acute interstitial pneumonitis, correspondant en histologie au DAD – Diffuse Alveolar Damage)
RB-ILD (Respiratory Bronchiolitis Interstitial Lung Disease)

Case courtesy of A.Prof Frank Gaillard, Radiopaedia.org. From the case rID: 6535

Case courtesy of A.Prof Frank Gaillard, Radiopaedia.org. From the case rID: 6535

DIP (Desquamative Interstitial Pneumonia)
LIP (Lymphoid Interstitial Pneumonia)

Voir aussi

Segmentation pulmonaire

 

segpulm

 

Segmentation bronchique

  • LARYNX
  • TRACHEE
  • CARENE
  • BRONCHE SOUCHE DROITE
    • Br lobaire supérieure
    • Br tronc intermédiaire
    • Br lobaire moyenne
    • Br lobaire inférieure
    • Br nelson / fowler
  • BRONCHE SOUCHE GAUCHE
    • Br culmen
    • Br lingula
    • Br lobaire inf
    • Br nelson / fowler

Segmentation pulmonaire

  • Poumon Droit
    • Lobe Supérieur Droit
      • apical
      • postérieur (dorsal)
      • antérieur (ventral)
    • Lobe Moyen
      • apical
      • médian
    • Lobe Inférieur Droit
      • supérieur (apical ;Nelson)
      • médiobasal (paracardiaque)
      • antérobasal (ventral)
      • latérobasal (externe)
      • postérieur (dorsal)
  • Poumon Gauche
    • Lobe Supérieur Gauche
      • apico-dorsal
      • antérieur (ventral)
      • supérieur (lingula)
      • inférieur
    • Lobe Inférieur Dauche
      • apical (Nelson)
      • antérobasal (ventral et paracardiaque)
      • latérobasal (externe)
      • postérieur (dorsal)

 

Lésions élémentaires – Nodules pulmonaires

Définitions

  • Micro nodules  : nodules < 6 mm. Plus ils sont nombreux, plus l’éventualité de granulomes ou de métastase devient élevée
  • Nodules : nodules entre 6 et 30 mm
  • Masses : nodules > 30 mm

 

Sémiologie

  • Limites
    • Nettes
    • Floues
  • Densité
    • Élevée (effaçant les interfaces avec les opacités vasculaires à leur contact)
    • Très faible (n’effaçant pas les interfaces)
  • Distribution
    • Direction verticale (supérieure, moyenne, inférieure)
    • Axiale (antérieure ou postérieure, corticale ou médullaire)
    • Distribution au sein du lobule pulmonaire secondaire (péri ou centrolobulaire)

 

DÉMARCHE DIAGNOSTIQUE

  • Présence de micronodules de topographie sous-pleurale et/ou scissurale ?
    • Si oui, alors distribution :
      • soit périlymphatique
      • soit hématogène
    • Si non, alors distribution centrolobulaire
      • Aspect d’arbre en bougeon ?
        • Si oui : atteinte bronchiolaire +/-bronchectasies, hétérogénéité du parenchyme pulmonaire réalisant un aspect en mosaïque.
  • Type d’atteinte
    • Diffuse = distribution aléatoire = hématomgène
    • Focalisée, notamment au niveau de l’interstitium axial.

 

Les syndromes micronodulaires

Présence de micronodules pulmonaires multiples.

Distribution centro-lobulaire

  • Pathologie alvéolo-bronchique (bronchiolite avec comblement alvéolo-bronchique a minima).
  • Sémiologie
    • micronodules ± denses, à contours flous, confluents
    • ± « branchés »
    • à distance de la plèvre et des scissures
  • Étiologie
    • Infectieuse +++ (ex : tuberculose pulmonaire)
    • inflammatoire (ex : pneumopathie d’hypersensibilité )
    •  tumorale (ex : carcinome bronchiolo-alvéolaire)
    • métastases endovasculaires pulmonaires (micronodules branchés) au cours de cancers avancés
Case courtesy of Dr Juan Jose Urquiza, Radiopaedia.org. From the case rID: 25554
Case courtesy of Dr Juan Jose Urquiza, Radiopaedia.org. From the case rID: 25554

Distribution lymphatique

  • Sémiologie
    • siège au niveau de la plèvre, des scissures et des espaces péri-broncho-vasculaires
    • association à des adénopathies, un épaississement global des espaces péri-broncho-vasculaires
    • lignes septales (de morphologie polygonale soulignant l’unité fondamentale du poumon entourée de plèvre (et donc de lymphatiques), le lobule secondaire de Miller).
  • Étiologie
    • Sarcoïdose, la bérylliose
    • Lymphangite carcinomateuse
    • Silicose
    • Maladies rares (ex : lymphangiectasies)

Case courtesy of Dr Mahomed A. Osman, Radiopaedia.org. From the case rID: 22081

Case courtesy of Dr Mahomed A. Osman, Radiopaedia.org. From the case rID: 22081

Distribution hématogène

  • Sémiologie
    • Miliaire
    • Distribution au hasard.
    • Prédominance basale
    • Feeding vessel sign
      • Nodule appendu à une opacité vasculaire (nodule angio-centré)
  • Étiologie
    • Infectieuse
      • Bactérienne (tuberculose)
      • fungique (candida, histoplasmose)
      • virale (CMV, herpès, varicelle)
    • Tumorale (métastases hématogènes de cancer digestif)
    • Si feeding vessel sign
      • Lymphangite carcinomateuse
      • Wegener
      • Emboles septiques
      • Infections angio-invasives (aspergillose, candidose, mucormycose, P. aeruginosa).
Case courtesy of Dr Prashant Mudgal, Radiopaedia.org. From the case rID: 41197

Case courtesy of Dr Prashant Mudgal, Radiopaedia.org. From the case rID: 41197

Case courtesy of Dr Ahmed Abd Rabou, Radiopaedia.org. From the case rID: 23250

Feeding vessel sign. Case courtesy of Dr Ahmed Abd Rabou, Radiopaedia.org. From the case rID: 23250

Embolie pulmonaire

Présentation clinique

  • Chez les patients ambulatoires, l’examen n’est justifié que si la probabilité clinique est forte (calculer le score) ou les D-dimères supérieurs à 500 μg/L.
  • Si la probabilité clinique est forte, doser les d-dimères est inutile car même normaux, ils n’excluent pas le diagnostic

 

Score de genève

Age > 65 ans 1
Antécédent de TVP ou d’EP 3
Chirurgie (sous anesthésie générale) ou fracture m.inf, dans le mois 2
Affection maligne, solide ou hématologique, active ou guérie depuis moins d’un an 2
Douleur unilatérale d’un membre inférieur  3
Hémoptysie  2
Douleur à la palpation veineuse profonde du m. inf. et œdème unilatéral  4
Hz cardiaque [75-94]  3
Hz cardiaque > 95  5
0-3 : faible 4-10 : moyenne [4-10] ≥ 11 : forte

 

Technique

  • Rehaussement artériel pulmonaire de bonne qualité / sous optimale / médiocre
  • Critères de qualité :
    • Mesure de l’atténuation dans le tronc pulmonaire > 250UH
    • Rehaussement des cavités droites > aux cavités gauches

 

Critères sémiologiques d’embolie pulmonaire

  • Lacunes artérielles pulmonaires
  • Uni ou bilatérale
  • Tronculaires / lobaires / segmentaires ou sous segmentaires
  • Retentissement sur le ventricule droit : mesure du rapport VD/VG (surmortalité si > 0,9)
  • Complication : infarctus pulminaire
    1. Condensation périphérique juxta pleurale ou juxta scissurale
    2. Clartés aériques centrales
    3. Pas de bronchogramme aérique

 

Références

Hémoptysie

ANGIOSCANNER THORACIQUE – PROTOCOLE

  • Temps vasculaire mixte artériel bronchique et artériel pulmonaire
  • Volume de produit de contraste : 120 ml
  • Débit d’injection : 3 ml/s
  • ROI dans l’aorte thoracique descendante
  • Déclenchement de l’acquisition à 150 UH
  • Acquisition caudo-céphalique

 

OBJECTIFS DE L’IMAGERIE

  1. LOCALISATEUR

    • Granité post-hémoptoïque (hyperdensité pulmonaire en verre dépoli)
    • Atélectasie secondaire à un encombrement bronchique
    • Lésion trachéale, bronchique, parenchymateuse pulmonaire ou vasculaire
    • Lésion nécrotique au contact d’un vaisseau
  2. DIAGNOSTIC (les quatre causes les plus fréquentes)

    1. Tuberculose pulmonaire et complications :
      • Tuberculose active/récidive tuberculeuse : nodule pulmonaire nécrotique et excavé
        Tuberculose pulmonaire de localisation lobaire supérieure gauche. Nodule excavé et foyer micronodulaire bronchiolaire périphérique.
        Tuberculose pulmonaire de localisation lobaire supérieure gauche.Nodule excavé et foyer micronodulaire bronchiolaire périphérique.
      • Bronchectasies cicatricielles : syndrome de Brocq (ou du lobe moyen) : atélectasie et bronchectasies du lobe moyen, sur sténose bronchique par obstacle ganglionnaire hilaire droit calcifié
      • Aspergillome pulmonaire : greffe aspergillaire dans une cavité pulmonaire séquellaire
        Aspergillomes pulmonaires (têtes aspergillaires arrondies et déclives) dans des cavités pulmonaires séquellaires bi-apicales.
        Aspergillomes pulmonaires (têtes aspergillaires arrondies et déclives) dans des cavités pulmonaires séquellaires bi-apicales.
      • Cancer bronchique post-cicatriciel : remaniement tumoral sur inflammation bronchique chronique
      • Broncho-lithiase : ganglion calcifié et mobile érodant les parois bronchiques
      • Malformation artério-veineuse pulmonaire séquellaire : « artériopathie de Rasmüssen »
    2. Tumeurs broncho-pulmonaires :
      • Cancer bronchique : 1ère cause chez le fumeur > 40 ans, souvent hémoptysie de faible abondance
      • Autres : carcinoïde bronchique, métastase pulmonaire
    3. Dilatation des bronches
      • Hypervascularisation bronchique : artère dystrophique
      • Hémoptysie révélant souvent une surinfection bronchique
    4. Causes cardio-vasculaires :
      • Embolie pulmonaire (infarctus pulmonaire)
      • Œdème pulmonaire cardiogénique (insuffisance cardiaque gauche, rétrécissement mitral, dilatation atriale gauche)
  3. DIAGNOSTIC (causes plus rares)

    • Traumatiques : contusion, inhalation de corps étranger intra-bronchique
    • Infectieuses : bronchite aiguë, pneumopathie et abcès pulmonaires
    • Vasculaires : anévrisme artériel bronchique ou pulmonaire, angiome bronchique, malformation artério-veineuse (maladie de Rendu-Osler)
    • Inflammatoires : vascularites et hémorragie intra-alvéolaire (HIA)
    • Iatrogènes : anticoagulant, antiagrégant plaquettaire
  4. THERAPEUTIQUE

    1. Bilan pré-embolisation (guide la voie d’abord vasculaire artérielle ou veineuse)
    2. Voie artérielle bronchique (90% des cas) ou pulmonaire (10% des cas)
    3. Répérage de l’artère spinale antérieure d’Adamkiewicz et de l’artère oesophagienne antérieure (plutôt sur l’artériographie bronchique)

Indice de Haller

Indice de Haller

Le pectus excavatum est défini par un indice de Haller (a/b) > 3,25

 

 

TNM – Poumon

TNM Poumon 7ème édition

 Tis Cancer in situ N0 Aucune adénopathie
T1  T1a : ≤ 2 cm  N1 ipsilatéral péribronchique
Ipsilatérale hilaire
T1b : 2 – 3 cm  N2 Ipsilatéral médiastinal
Sous carinaire
T2 Envahissement de la bronche principale mais à plus de 2 cm de la carène ou de la plèvre viscérale ou générant une atélectasie partielle
T2a : 3 – 5 cm
T2b : 5 – 7 cm
N3 Controlatéral médiastinal ou hilaire, scalène ou susclaviculaire
T3 > 7 cm
ou
Envahissement de la paroi thoracique, de la plèvre médiastinale, de la bronche principale mais à moins de 2 cm de la carène ou générant une atélectasie complète
Ou présence d’autres nodules dans le même lobe
 
T4  Envahissement du médiastin, du cœur, des gros vaisseaux, de la trachée de l’oseophage, de la carène ou de vertèbres.
Ou présence d’autres nodules dans un autre lobe
M M1a : nodules dans le lobe controlatéral ou nodules pleuraux ou tumeur pleural ou épanchement péricardique
M1b : métastases à distance
 

Source : TNM UICC