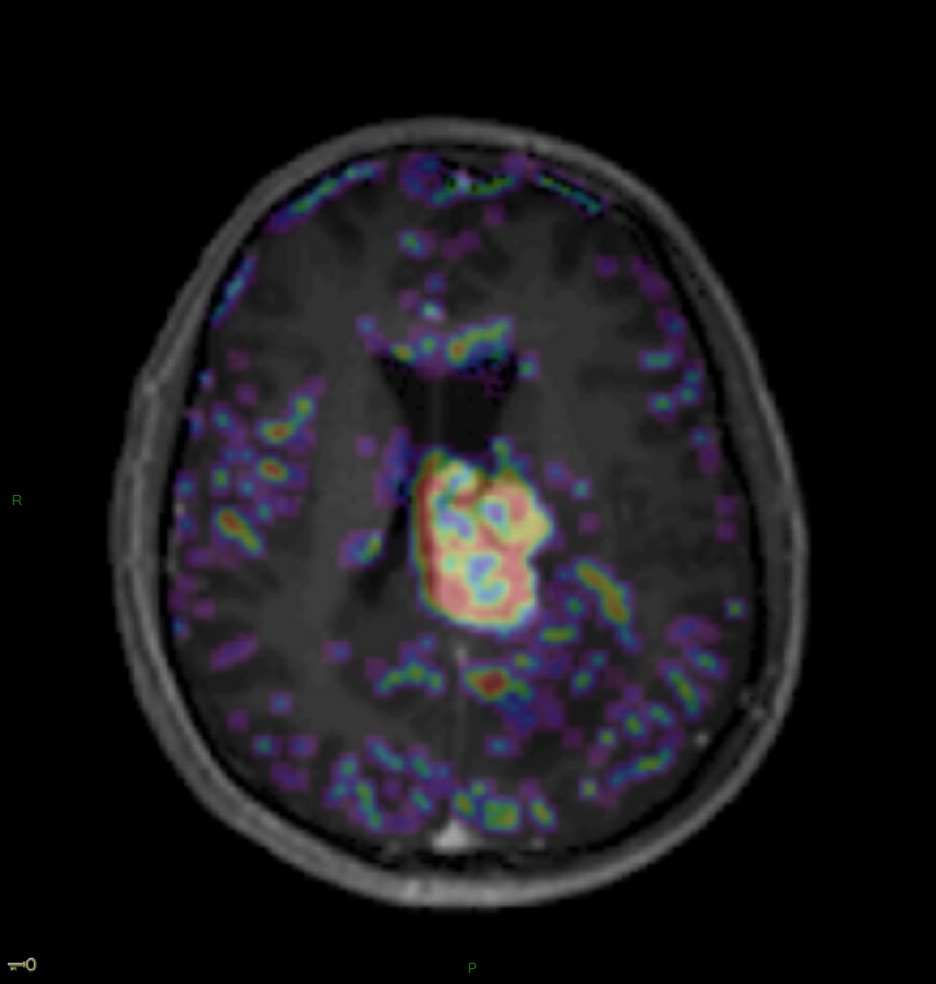
Localisation cérébrale d’un lymphome B à grandes cellules diffus, EBV négatif

Localisation cérébrale d'un lymphome B à grandes cellules diffus, EBV négatif

fBV – Localisation cérébrale d’un lymphome B à grandes cellules diffus, EBV négatif

Localisation cérébrale d’un lymphome B à grandes cellules diffus, EBV négatif