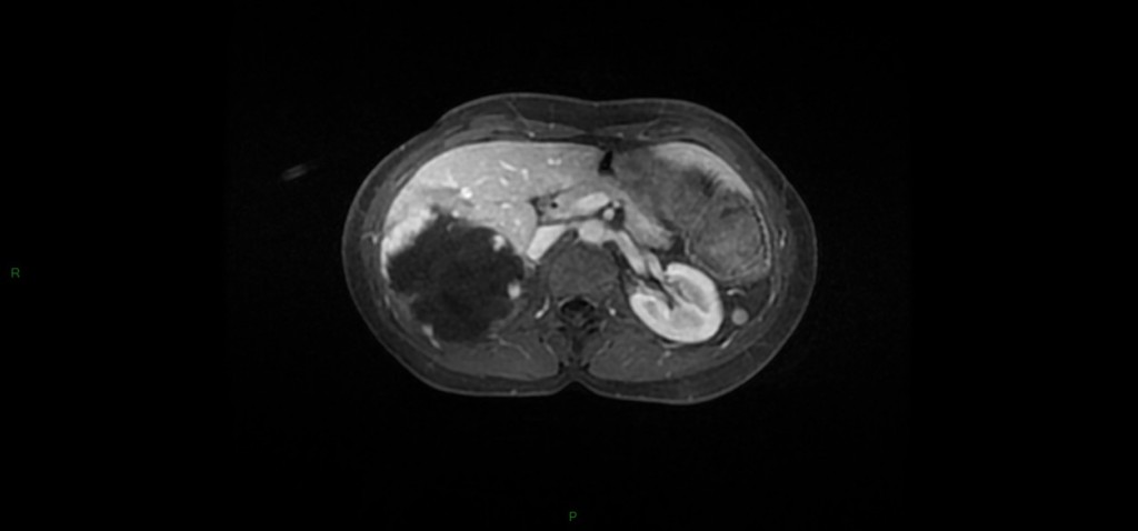
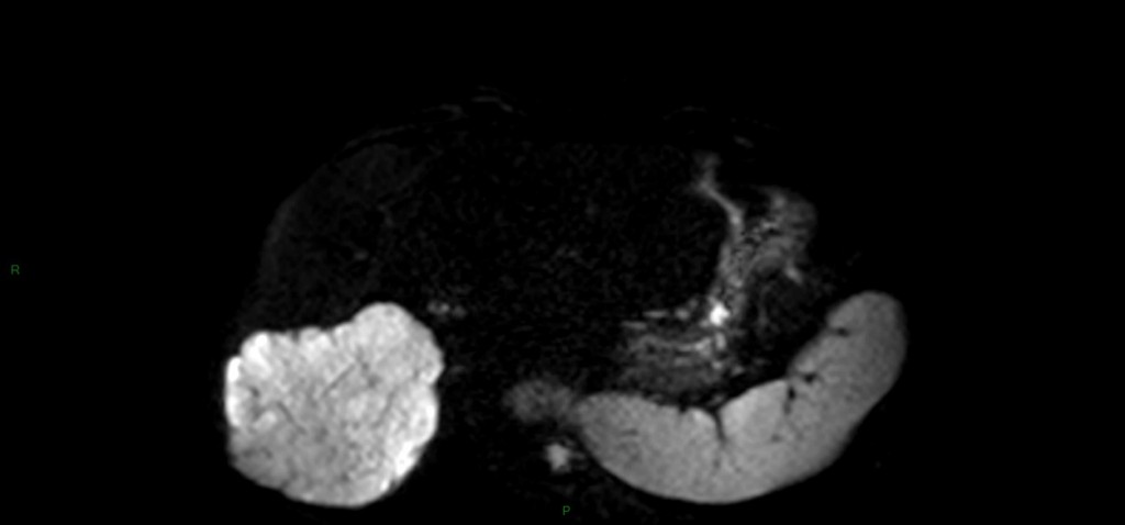
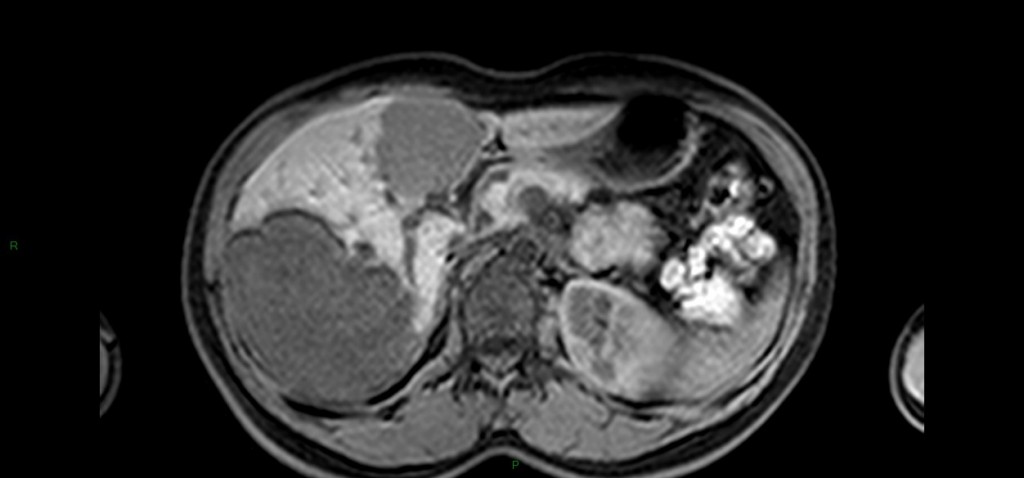
Tumeurs hépatiques – Angiome hépatique Alexandre Ladoux il y a 11 ans ANGIOME CAVERNEUX A reconnaître +++ Unique 90% 80% < 4cm Franc hT1, HT2 liquidien, contours polylobés, disparait en bili-IRM Prise de contraste en mottes discontinues, précoce, avec remplissage centripète (lacs veineux) progressif jusque complet (tardif+++) Possible portion liquidienne centrale : dégenerescence mucoïde ANGIOME CAPILLAIRE (hémangiome) Pdc intense équivalent à l’aorte à tous les temps Diagnostic en échographie : si 4 critères présents Hyperechogène homogène, sans signal Doppler couleur +- renforcement postérieur < 3cm Bilan hépatique normal En dehors de contexte néoplasique DDx : lésions fibreuses avec remplissage centripète: Cholangiocarcinome fibro-lamellaire : Pdc périph mais CONTINUE Métastase d’ADK colique mucineux (HT2 liquidien) ou neuroendocrine : Pdc tardive périph CONTINUE jamais complète Exemples d’angiomes hépatiques Angiome géant Angiomes et adénome graisseux Partager : Partager sur Facebook(ouvre dans une nouvelle fenêtre) Facebook Partager sur LinkedIn(ouvre dans une nouvelle fenêtre) LinkedIn Partager sur X(ouvre dans une nouvelle fenêtre) X Partager sur WhatsApp(ouvre dans une nouvelle fenêtre) WhatsApp Envoyer un lien par e-mail à un ami(ouvre dans une nouvelle fenêtre) E-mail Imprimer(ouvre dans une nouvelle fenêtre) Imprimer Plus Partager sur Tumblr(ouvre dans une nouvelle fenêtre) Tumblr Partager sur Pinterest(ouvre dans une nouvelle fenêtre) Pinterest