Aller au contenu principal

PinkyBone

Mémos radiologie

  • * Accueil *
  • Abdo
  • Cancéro
  • Neuro
  • Ophtalmo
  • ORL
  • Ostéo
  • Pédia
  • Pelvis
  • Sein
  • Thorax
  • Uro
  • Vascu
  • | Compte-rendus types |
  • ◘ Technique ◘
    • ♦ Logiciels ♦
    • @ Liens @
  • Actu

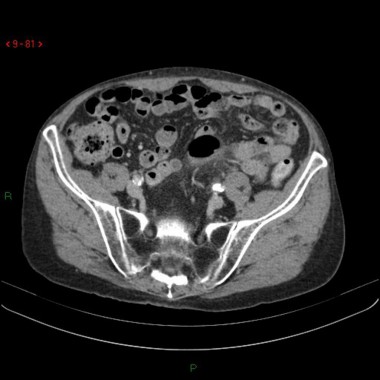
Sigmoïdite diverticulaire avec abcès

Previous
Next
Publié 29 avril 2015 à 1024 × 1024 dans Tube digestif – Sigmoïdite diverticulaire
Sigmoïdite diverticulaire avec abcès

Sigmoïdite diverticulaire avec abcès

Case courtesy of Dr Sajoscha Sorrentino, Radiopaedia.org. From the case Diverticulitis with abscess

Site Made in France

logo-bbr
  • Facebook
  • Conditions d’utilisation
  • Politique de confidentialité et de protection des données personnelles
Fièrement propulsé par WordPress | Thème sela par WordPress.com.
This website uses cookies to improve your experience. We'll assume you're ok with this, but you can opt-out if you wish. Cookie settingsACCEPT
Privacy & Cookies Policy

Privacy Overview

This website uses cookies to improve your experience while you navigate through the website. Out of these cookies, the cookies that are categorized as necessary are stored on your browser as they are essential for the working of basic functionalities of the website. We also use third-party cookies that help us analyze and understand how you use this website. These cookies will be stored in your browser only with your consent. You also have the option to opt-out of these cookies. But opting out of some of these cookies may have an effect on your browsing experience.
Necessary
Toujours activé
Necessary cookies are absolutely essential for the website to function properly. This category only includes cookies that ensures basic functionalities and security features of the website. These cookies do not store any personal information.
Non-necessary
Any cookies that may not be particularly necessary for the website to function and is used specifically to collect user personal data via analytics, ads, other embedded contents are termed as non-necessary cookies. It is mandatory to procure user consent prior to running these cookies on your website.
Enregistrer & appliquer