Site icon PinkyBone

Infections cérébrales

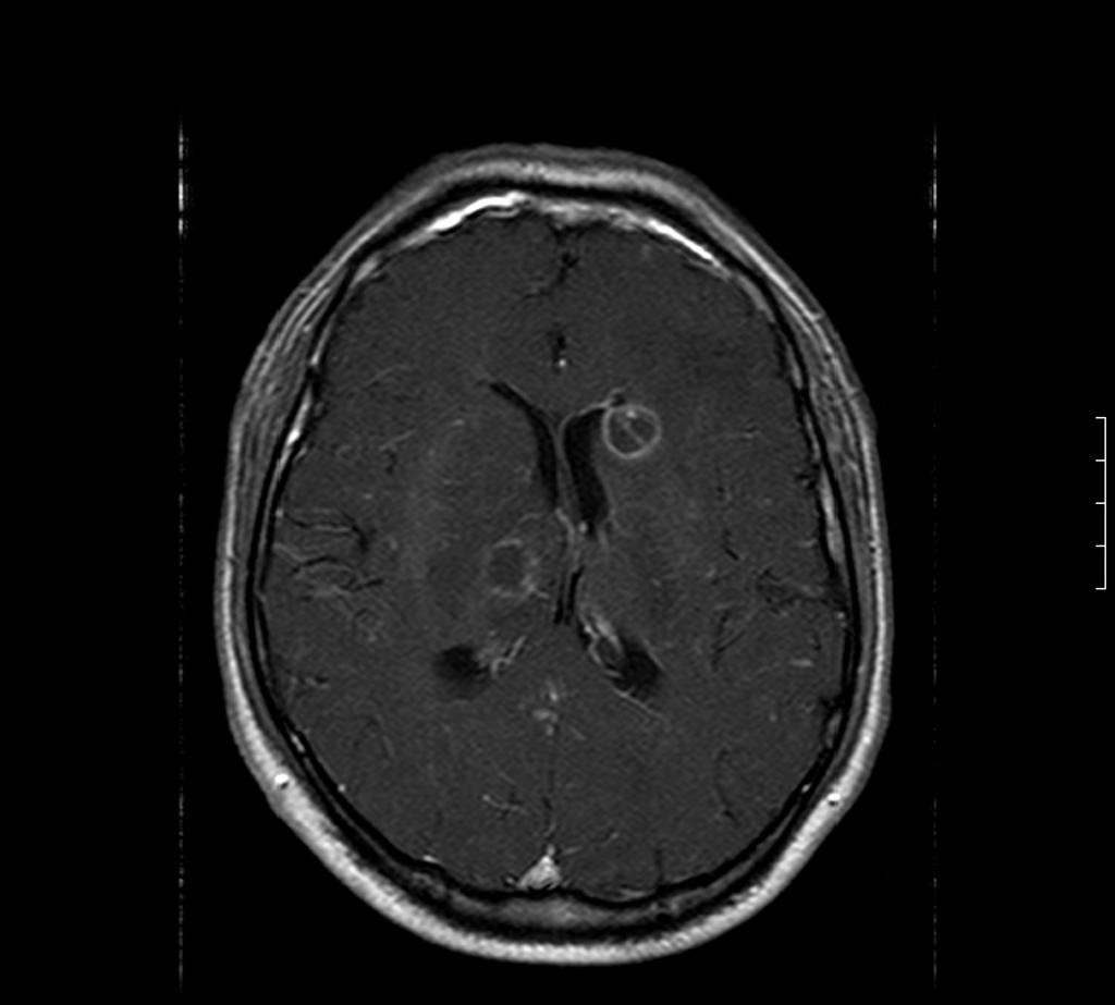
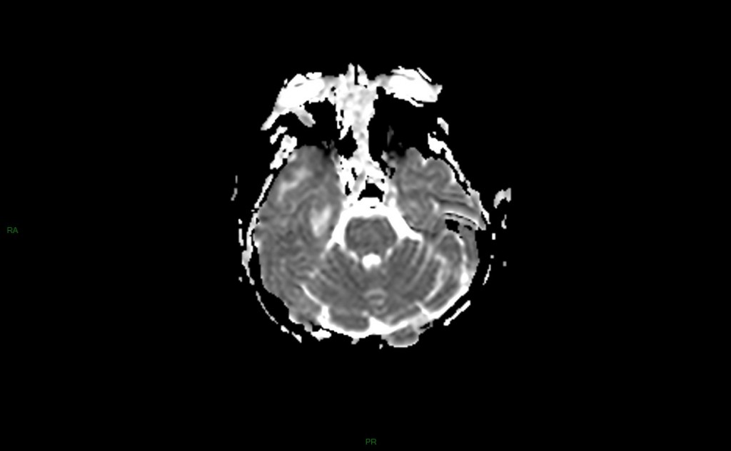
Abcès cérébral

  • Coque
    • HyperT1
    • HypoT2, feuilletée
    • Fine après injection
    • Perfusion
      • Baisse du VSC
      • Augmentation du K2
  • Centre de l’abcès
    • Diffusion
      • Hyper signal très intense
      • ADC très diminué
    • Spectro
      • Multiplet d’acides aminés (0,9 ppm) générés par la dégradation des PNN
      • Succinate (2,4 ppm) et acétate (1,9 ppm) générés par le métabolisme bactérien
      • Pas de choline

 

Méningite tuberculeuse

  • Épaississement méningé de la base du crane
  • Nécessité d’une injection
  • Aspect granulomateux en grappe de raisin
  • Feutrage des espaces sous arachnoïdiens
  • Hypertension intracrânienne
  • Tuberculomes
    • Confluence de granulomes giganto cellulaires
    • Zone centrale de nécrose caséeuse
    • Capsule de collagène
    • Lésion nodulaire prenant massivement le contraste
    • Parfois calcifiée, entourée d’œdème
    • Taille variable
    • Signal variable en T2 selon le contenu
  • Cérébrite
    • Micro granulomes corticaux confluents
    • Zone hypo T1, hyperT2
    • Prise de contraste gyriforme
    • Limites floues
  • Abcès
    • Souvent multiloculé
    • Contenant du caséum en son centre

 

 

 

Cysticercose

  • Calcifications de petite taille, multiples, jonction SB-SG
  • Lésions vésiculaires ou kystiques : lésions kystiques prenant le contraste selon le stade
  • Localisation intraventriculaire

 

 

Cytomégalovirus

  • Atteinte en début de grossesse :
    • Lissencéphalie
    • Polymicrogyrie
    • Ventriculomégalie
    • Hypoplasie cérébelleuse
    • Calcifications périventriculaires
  • Atteinte tardive :
    • Atteinte de la SB prédominant aux poles temporaux
    • Calcifications limitées

 

 

Toxoplasmose

  • Toxoplasma gondii
  • Bénigne chez l’immuno compétent
  • Gravissime chez l’immuno déprimé
  • Forme encéphalitique (fièvre, céphalées, confusion)
  • Forme focale : déficit, comitialité
  • Possibilité d’atteinte médullaire
  • PL : lymphocytose modérée

IRM

  • Forme pseudo-encéphalitique (rare)
  • Forme nodulaire pseudo tumorale (fréquente)
  • Lésion élémentaire
  • Nodule hypoT1
  • HyperT2
  • Réhaussé en périphérie par le PDC
  • Entouré d’œdème
  • Lésions multiples disséminées sus et sous tentorielle
  • Forme hémorragique classique notamment après traitement

 

 

Listériose

  • Atteinte du tronc : rhombencéphalite
  • Contamination par voie digestive (fromage, charcuteries)
  • Phase pseudo-grippale
  • Phase d’état neurologique : nerfs crâniens+++
  • PL : lymphocytaire
  • IRM
    • Atteinte rhombencéphalique (bulbe, protubérence, cervelet)
    • Micro-abcès : prise de contraste nodulaire ou annulaire
    • Œdème péri-lésionel

 

Cryptococcose

  • Cryptococcus neoformans
  • Inhalation de forme larvaire
  • Dissémination hématogène au SNC
  • Associé au VIH, hémopathies et maladies de système
  • Céphalées, fièvre, troubles de conscience, épilepsie
  • IRM
    • Aspect de méningite non spécifique
    • Dilatation kystique des espaces de Virchov-Robin
    • Atteinte des régions putamino-caudées
    • Symétrique
    • Lésions kystiques
    • HypoT1
    • HyperT2
    • Pas de PDC

 

 

méningo Encéphalite herpétique

  • Virus herpex simplex (HSV1)
  • 10 à 20 % des encéphalites virales
  • Réactivation d’un virus latent du gg trigéminal (de Gasser)
  • Syndrome confusionnel fébrile
  • Atteinte temporo-limbique
  • Ponction lombaire : type lymphocytaire, hyper-protéïnorachie modérée, PCR (ADN viral)
  • EEG : focalisation temporale+++
  • Mortelle dans 70% des cas si pas traitée
  • IRM
    • Localisation temporale, temporo-lymbique (cingulum)
    • SB et/ou SG
    • Epaissisement des gyri, peu d’effet de masse
    • Pas de systématisation artérielle
    • HypoT1, hyperT2-FLAIR, hyperDiff, ADC variable
    • Réhaussement gyriforme après IV
    • +++ Respect du putamen +++ (DD avec tumeur)
    • Risque : bilatéralisation
  • Traitement : anti-viral spécifique précoce
  • DD : oligodendrogliome, post critique, encéphalite lymbique, autre encéphalite virale, MCJ
  • Évolution : nécrose laminaire

 

Quitter la version mobile