Site icon PinkyBone

Tumeurs neuro – Neurocytome central

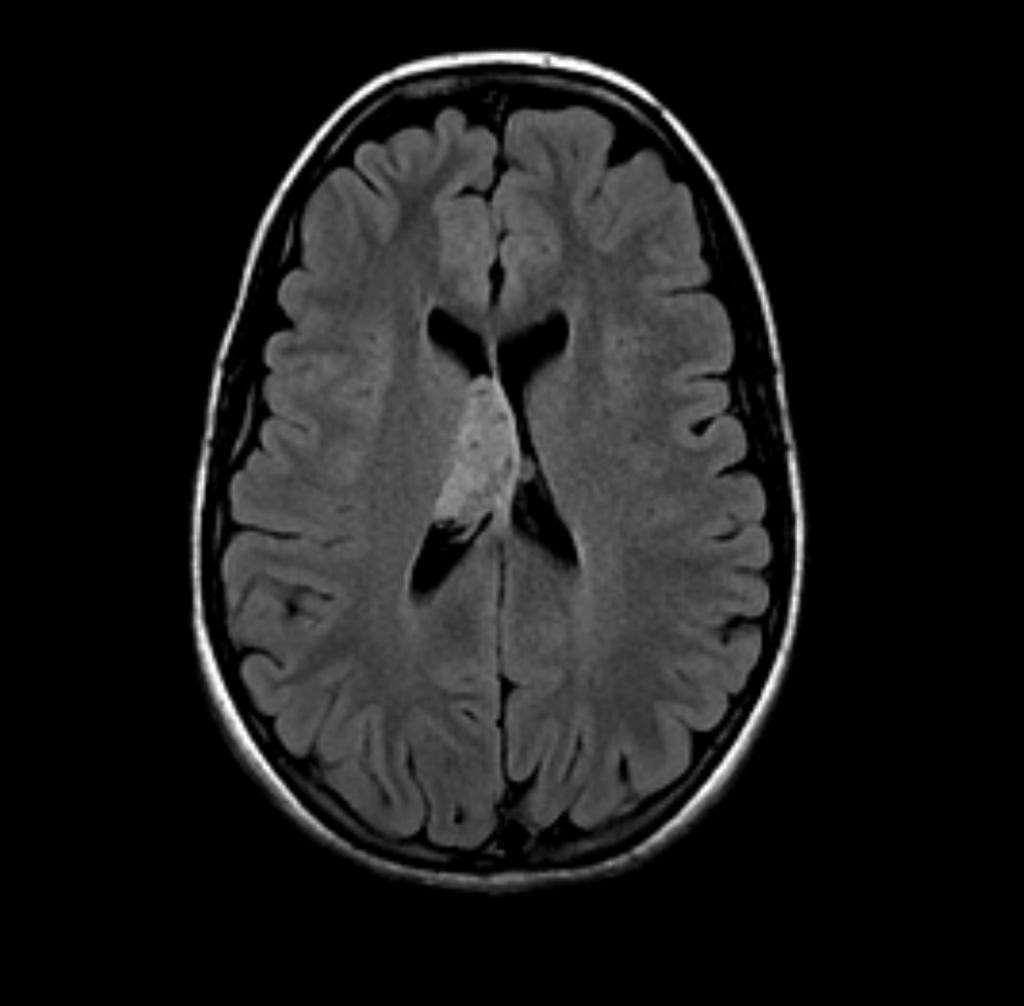
Neurocytome central

  • Tumeur de l’adulte jeune : 20 à 40 ans F=H
  • Tumeur neuro épithéliale avec différenciation neuronale
  • Localisation:
    • Corne frontale ou corps des VL inséré sur le septum pellucidum
  • Masse polylobée, kystique, calcifiée 50 à 70%
  • IRM
    • T1 hétérogène, masse iso et kyste hypo
    • T2 hétérogène en « bulles de savon« 
    • Flow void possible
    • Perfusion : hyperperfusion possible
    • Rehaussement modéré à fort
    • SRM : pice de choline et pic à 3,55 ppm
  • TTT
    • Chirurgie si résidu, radioTTT ou gamma knife
  • Pronostic
    • Bon : 81% de survie à 5 ans
    • Rechute peu commune
Neurocytome central
Quitter la version mobile