Site icon PinkyBone

Fistules artério-veineuses méningées

Généralités

  • Définition : ce sont des shunts artério-veineux développés dans la dure-mère intra-crânienne
  • Siège variable :
    • Convexité : sinus longitudinal
    • Faux du cerveau
    • Tente du cervelet : sinus latéral
    • Méninge de la base ethmoïde : +++ sinus caverneux ++
  • Localisation :
    • Dure-mère
    • Arachnoïde
    • Pie-mère
  • A différencier des Malformations AV cortico-piales :
    • Suppléance méningée des MAV cérébrales.
    • MAV superficielles du cuir chevelu
  • Etiologie
    • Otites sinusites
    • Intervention neurochirurgicale
    • Traumatisme cranien
    • Thrombophlébite cérébrale
    • Phlébite périphérique ou pelvienne
  • Signes fonctionnels : souffle ,acouphènes
  • Signes neurologiques : Hémorragie, déficit
  • Signes cliniques : Exophtalmie, Comitialité, Déficit clinique progressif, Troubles des fonctions supérieures, Hémorragie, Myélopatie progressive

 

Classification de Djindjian

  • Type I : drainage dans un sinus
  • Type II : drainage dans un sinus avec reflux dans les veines corticales.
  • Type III : drainage direct dans les veines corticales
  • Type IV : drainage direct dans les veines corticales avec effet de masse

 

Classification fonction du drainage veineux

  • Type I :
    • Signes fonctionnels
    • Acouphènes,céphalés, vertiges
    • Absence de risque neurologique
  • Type IIa :
    • Même signes mais Hypertension intracranienne dans 30% des cas
    • Cephalée, baisse d’acuité visuelle, diplopie (VI), oedeme papillaire bilatéral, voire atrophie optique
    • Absence de risque neurologique.
  • Type IIb, III, IV, V: drainage veineux cortical
    • Risque hémorragique
    • Type IIb :10%
    • Type III : 40%
    • Type IV : 80%
  • Type V :
    • Drainage dans les veines perimedullaires
    • Hypertension Veineuse du cone medullaire
    • Myelopathie Progressive

 

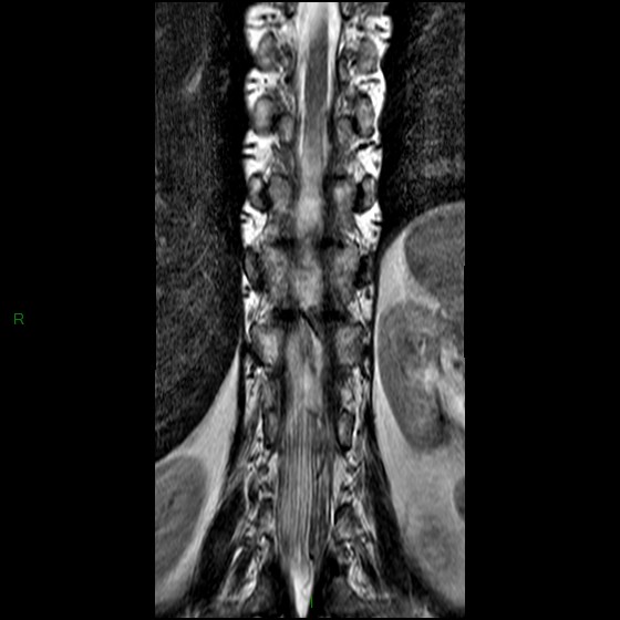
Exemples

  • Fistule durale lombaire

Quitter la version mobile