Site icon PinkyBone

Accident ischémique constitué [ AVC ]

Protocole IRM d’exploration des AVC

 

Critères sémiologiques : signes précoces d’AVC au scanner

  • Trop belle artère sylvienne
  • Perte du ruban cortical
  • Effacement des sillons corticaux
  • Effacement du noyau lenticulaire
  • Dedifférenciation gris-blanc

 

CRITÈRES SÉMIOLOGIQUES : SIGNES PRÉCOCES D’AVC EN IRM

  • Hypersignal de diffusion systématisé à un territoire vasculaire
  • Restriction du coefficient apparent de diffusion (ADC)
  • Signes de ralentissement sur la séquence FLAIR
  • Hypersignal FLAIR
  • Hyposignal T2* correspondant au thrombus artériel

 

 

 

TERRITOIRES VASCULAIRES (SCHÉMATIQUE)


Pour en savoir plus : fmritools (en anglais)

 

évolution temporelle du signal dans l’ischémie cérébrale

T1 FLAIR b0 b1000 ADC
< 6 heures Iso Iso Iso Hyper Diminué
[6 – 48] heures Iso Hyper Hyper Hyper Diminué
48 heures – 10 jours Hypo Hyper Hyper Hyper / Iso Variable
> 10 jours Hypo Hyper Hyper Hyper / Iso Augmenté

 

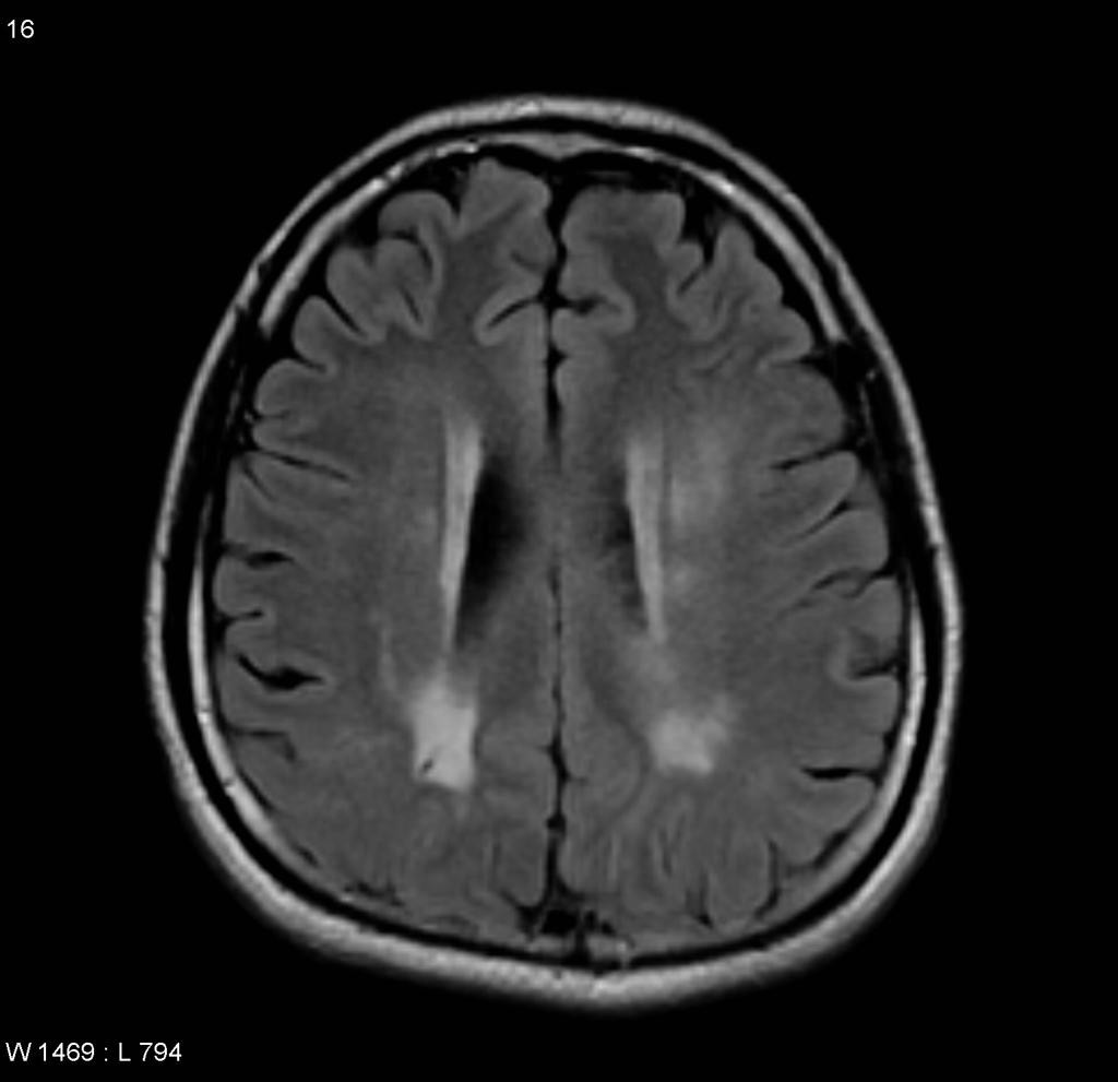
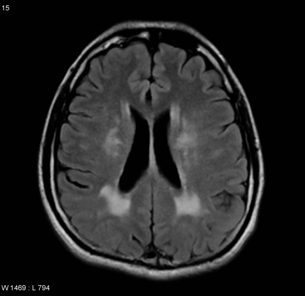
SYNDROME DE SUZAC

Microangiopathie cochléo-encéphalo-rétinienne

  • Hypersignal T2 et FLAIR du corps calleux
  • Petite taille
  • Bien délimités
  • De localisation centrale, non callosofuges
  • Pas d’atrophie calleuse
  • Prises de contraste rares
  • Diffusion restreinte
  • Orpha.net

 

 

 

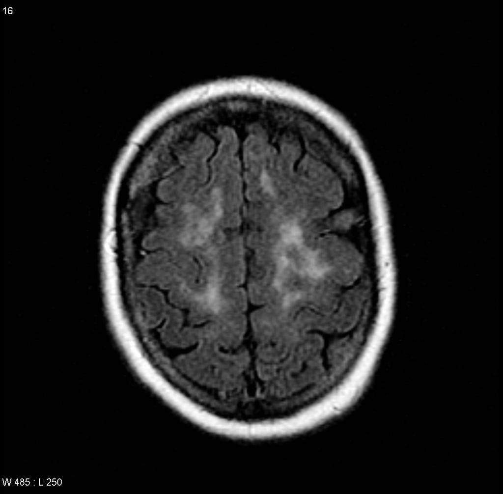
CADASIL

  • Cerebral Autosomal Dominant Arteriopathy with Subcortical Infarcts and Leukoencephalopathy
  • Artériopathie cérébrale autosomique dominante avec infarctus sous-corticaux et leucoencéphalopathie
  • Démence vasculaire héréditaire
  • Atteinte de la substance blanche des lobes temporaux et des capsules externes en plus du reste de la SB déjà atteinte dans la leucoaraiose

 

 

 

Accident ischémique médullaire

  • Infarctus du territoire spinal antérieur
    • Myélopathie aiguë transverse
      • survenue rapide (<72h)
      • para- ou quadriparésie
      • troubles sphinctériens
      • niveau sensitif
      • dissociation sensitive sous-lésionnelle inconstante: déficit sensitif global dans 15/25 cas d’infarctus centraux
  • Infarctus du territoire périphérique
  • Association infarctus médullaire / infarctus vertébral
  • Artère spinale antérieure : 3 territoires :
    • cervical (C0-T3) : artères vertébrales
    • thoracique (T4-T9) : artères intercostales
    • thoraco-lombaire : art. d’Adamkiewicz
  • IRM
    • Normale 24-48 h, IRM de diffusion +++
    • Hypersignal intramédullaire : 2/3 ant. (Œil de chouette) ou 1/3 post à contours flous
    • Cône > cervical > thoracique
    • +/- PDC
    • +/- atteinte vertébrale et/ou musculaire ischémique

 

[IRM] AVC

 

Quitter la version mobile